Tóm tắt nội dung [Ẩn]
- Dịch Vụ Cạo Vôi Răng Ở Vũ Thư
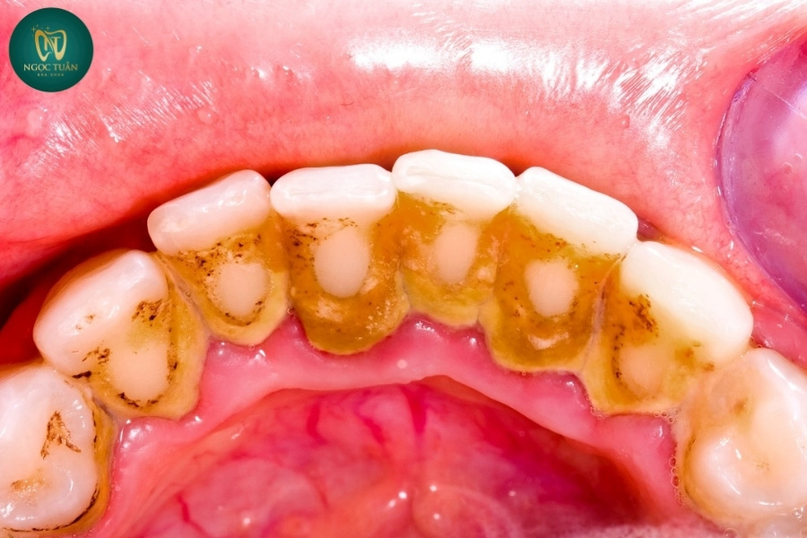
- Khi các mảng bám này không được làm sạch thường xuyên, chúng sẽ bị khoáng hóa và cứng lại, tạo thành các lớp vôi răng bám chặt vào nướu và kẽ răng.
- Vôi Răng Là Gì? Nguyên Nhân Hình Thành Vôi Răng
- Tác Động Tiêu Cực Của Mảng Bám Và Vôi Răng Đến Sức Khỏe Răng Miệng
- Nhu Cầu Làm Sạch Cao Răng Ngày Càng Tăng Tại Vũ Thư
- Nha Khoa Ngọc Tuấn – Địa Chỉ Cạo Vôi Răng Uy Tín Tại Vũ Thư
- Nếu bạn đang tìm kiếm một địa chỉ cạo vôi răng uy tín tại Vũ Thư, Nha Khoa Ngọc Tuấn là lựa chọn lý tưởng dành cho bạn
- Vôi Răng Là Gì? Tác Hại Khi Không Cạo Vôi Răng Định Kỳ
- Quá Trình Hình Thành Của Vôi Răng Và Mảng Bám
- Vôi Răng Là Nguyên Nhân Gây Viêm Nướu, Sâu Răng Và Nha Chu
- Vôi Răng Có Thể Dẫn Đến Hôi Miệng Kéo Dài
- Tác Động Của Vôi Răng Đến Thẩm Mỹ Và Chức Năng Ăn Nhai
- Sự Cần Thiết Của Việc Cạo Vôi Định Kỳ Để Duy Trì Sức Khỏe Răng Miệng
- Để ngăn ngừa các vấn đề sức khỏe răng miệng do vôi răng gây ra, việc cạo vôi định kỳ là điều vô cùng cần thiết
- Lợi Ích Của Việc Cạo Vôi Răng Định Kỳ
- Quy Trình Cạo Vôi Răng Chuyên Nghiệp Tại Nha Khoa Ngọc Tuấn
- Bước 1: Khám Tổng Quát Và Đánh Giá Tình Trạng Mảng Bám
- Bước 2: Làm Sạch Và Sát Khuẩn Khoang Miệng
- Bước 3: Sử Dụng Máy Siêu Âm Để Loại Bỏ Vôi Răng
- Bước 4: Đánh Bóng Răng Giúp Làm Mịn Bề Mặt Và Hạn Chế Tái Bám
- Bước 5: Tư Vấn Chăm Sóc Răng Miệng Sau Khi Cạo Vôi
- Việc cạo vôi răng định kỳ không chỉ đơn giản là một liệu pháp thẩm mỹ mà còn là bước quan trọng trong việc bảo vệ sức khỏe răng miệng
- Khi Nào Nên Cạo Vôi Răng?
- Tác Hại Của Việc Không Cạo Vôi Răng Định Kỳ
- Tăng Nguy Cơ Sâu Răng Và Viêm Nướu
- Gây Viêm Nha Chu, Tụt Lợi Và Tiêu Xương Ổ Răng
- Tạo Môi Trường Lý Tưởng Cho Vi Khuẩn Gây Bệnh Phát Triển
- Ảnh Hưởng Đến Tính Thẩm Mỹ Của Răng Và Hơi Thở
- Nguy Cơ Mất Răng Sớm Nếu Không Điều Trị Kịp Thời
- Vôi răng không chỉ là mối đe dọa cho sức khỏe mà còn ảnh hưởng nghiêm trọng đến thẩm mỹ và sự tự tin trong giao tiếp
- Lý Do Nên Chọn Dịch Vụ Cạo Vôi Răng Tại Nha Khoa Ngọc Tuấn Ở Vũ Thư
- Đội Ngũ Bác Sĩ Giàu Kinh Nghiệm Và Chuyên Môn Cao
- Trang Thiết Bị Hiện Đại, Đảm Bảo Quy Trình Vô Trùng Tuyệt Đối
- Phương Pháp Cạo Vôi Bằng Sóng Siêu Âm Không Gây Đau Đớn
- Chi Phí Hợp Lý, Công Khai Và Minh Bạch
- Chính Sách Tư Vấn Và Chăm Sóc Khách Hàng Tận Tình
- Sự hài lòng của khách hàng luôn là mục tiêu hàng đầu của Nha Khoa Ngọc Tuấn
Dịch Vụ Cạo Vôi Răng Ở Vũ Thư
Chăm sóc sức khỏe răng miệng định kỳ không chỉ là thói quen giúp bạn giữ được hàm răng trắng sáng mà còn là yếu tố quan trọng trong việc bảo vệ sức khỏe tổng thể. Theo các nghiên cứu, các bệnh lý về răng miệng có thể liên quan mật thiết đến nhiều vấn đề sức khỏe nghiêm trọng như bệnh tim mạch, tiểu đường và các bệnh về đường hô hấp. Đặc biệt, việc loại bỏ vôi răng định kỳ là biện pháp cần thiết để ngăn ngừa các bệnh lý về nướu và giúp duy trì một nụ cười tự tin, khỏe mạnh.

Khi các mảng bám này không được làm sạch thường xuyên, chúng sẽ bị khoáng hóa và cứng lại, tạo thành các lớp vôi răng bám chặt vào nướu và kẽ răng.
Vôi Răng Là Gì? Nguyên Nhân Hình Thành Vôi Răng
Vôi răng (cao răng) là sự tích tụ của các mảng bám chứa vi khuẩn, thức ăn và khoáng chất từ nước bọt bám trên bề mặt răng. Khi các mảng bám này không được làm sạch thường xuyên, chúng sẽ bị khoáng hóa và cứng lại, tạo thành các lớp vôi răng bám chặt vào nướu và kẽ răng.
Nguyên nhân hình thành vôi răng chủ yếu xuất phát từ:
- Thói quen vệ sinh răng miệng không đúng cách: Không đánh răng thường xuyên hoặc đánh răng sai kỹ thuật tạo điều kiện cho mảng bám tích tụ.
- Chế độ ăn uống thiếu lành mạnh: Thực phẩm chứa nhiều đường, tinh bột và đồ uống có ga dễ hình thành mảng bám.
- Thói quen hút thuốc lá: Nicotine và tar trong thuốc lá là những tác nhân khiến vôi răng bám dày và nhanh chóng hơn.
- Thiếu nước bọt: Khi cơ thể thiếu nước hoặc mắc các bệnh lý gây khô miệng, khả năng tự làm sạch tự nhiên của khoang miệng suy giảm, dễ tạo điều kiện cho mảng bám hình thành.
Tác Động Tiêu Cực Của Mảng Bám Và Vôi Răng Đến Sức Khỏe Răng Miệng
Việc không loại bỏ vôi răng định kỳ có thể gây ra nhiều hệ lụy nghiêm trọng cho sức khỏe răng miệng:
- Viêm nướu và nha chu: Vôi răng là nơi trú ngụ của vi khuẩn gây viêm nướu. Nếu không được điều trị kịp thời, bệnh có thể tiến triển thành viêm nha chu, gây tụt lợi và mất răng.
- Sâu răng: Mảng bám lâu ngày sẽ làm suy yếu men răng, tạo điều kiện cho vi khuẩn gây sâu răng phát triển.
- Hôi miệng: Vi khuẩn tích tụ trong các lớp vôi răng là nguyên nhân chính gây ra mùi hôi khó chịu trong khoang miệng.
- Giảm tính thẩm mỹ: Vôi răng khiến răng bị xỉn màu, mất đi vẻ trắng sáng tự nhiên và làm bạn mất tự tin khi giao tiếp.
- Ảnh hưởng đến sức khỏe toàn thân: Vi khuẩn từ khoang miệng có thể xâm nhập vào máu, làm tăng nguy cơ mắc bệnh tim mạch hoặc tiểu đường.
Nhu Cầu Làm Sạch Cao Răng Ngày Càng Tăng Tại Vũ Thư
Với sự phát triển của xã hội và nhận thức về sức khỏe ngày càng được nâng cao, người dân tại Vũ Thư đã bắt đầu chú trọng hơn đến việc chăm sóc răng miệng định kỳ. Dịch vụ cạo vôi răng không chỉ được quan tâm ở người trưởng thành mà còn được khuyến khích thực hiện ở trẻ em và người cao tuổi.
Các yếu tố thúc đẩy nhu cầu chăm sóc răng miệng tại Vũ Thư:
- Sự phát triển của các phòng khám nha khoa hiện đại, giúp người dân tiếp cận với dịch vụ chất lượng cao.
- Ý thức về thẩm mỹ răng miệng ngày càng tăng, nhất là trong môi trường làm việc chuyên nghiệp.
- Các chương trình tuyên truyền về sức khỏe răng miệng từ các tổ chức y tế địa phương.
- Môi trường sống và chế độ ăn uống hiện đại dễ dẫn đến các vấn đề về mảng bám và vôi răng.
Nha Khoa Ngọc Tuấn – Địa Chỉ Cạo Vôi Răng Uy Tín Tại Vũ Thư
Nếu bạn đang tìm kiếm một địa chỉ cạo vôi răng uy tín tại Vũ Thư, Nha Khoa Ngọc Tuấn là lựa chọn lý tưởng dành cho bạn. Phòng khám không chỉ nổi bật với đội ngũ bác sĩ chuyên môn cao mà còn sở hữu hệ thống trang thiết bị hiện đại, đảm bảo quá trình điều trị diễn ra an toàn và hiệu quả nhất.
Lý do nên chọn Nha Khoa Ngọc Tuấn:
- Đội ngũ bác sĩ giàu kinh nghiệm, tận tâm với khách hàng.
- Sử dụng công nghệ sóng siêu âm hiện đại giúp loại bỏ vôi răng hiệu quả mà không gây đau đớn.
- Dịch vụ tư vấn miễn phí và phác đồ điều trị cá nhân hóa theo từng tình trạng răng miệng.
- Không gian phòng khám sạch sẽ, thoáng mát, đảm bảo vô trùng tuyệt đối.
- Chính sách chi phí minh bạch, hỗ trợ thanh toán linh hoạt.
Chăm sóc răng miệng không chỉ đơn giản là giữ cho hàm răng luôn trắng sáng mà còn là cách tốt nhất để bảo vệ sức khỏe tổng thể của bạn. Đừng để những mảng bám nhỏ bé ảnh hưởng đến chất lượng cuộc sống của bạn – hãy đến với Nha Khoa Ngọc Tuấn để trải nghiệm dịch vụ cạo vôi răng chuyên nghiệp và an toàn nhất tại Vũ Thư!

Nếu bạn đang tìm kiếm một địa chỉ cạo vôi răng uy tín tại Vũ Thư, Nha Khoa Ngọc Tuấn là lựa chọn lý tưởng dành cho bạn
Vôi Răng Là Gì? Tác Hại Khi Không Cạo Vôi Răng Định Kỳ
Vôi răng là một trong những nguyên nhân chính dẫn đến các bệnh lý răng miệng phổ biến như viêm nướu, sâu răng hay viêm nha chu. Tuy nhiên, không phải ai cũng hiểu rõ về quá trình hình thành của vôi răng và tác động tiêu cực của nó đến sức khỏe răng miệng. Việc cạo vôi răng định kỳ là bước quan trọng giúp duy trì hàm răng chắc khỏe và nụ cười tươi sáng lâu dài.
Quá Trình Hình Thành Của Vôi Răng Và Mảng Bám
Vôi răng (cao răng) là những mảng bám chứa vi khuẩn, thức ăn thừa và khoáng chất từ nước bọt tích tụ trên bề mặt răng, đặc biệt là ở vùng viền nướu và kẽ răng. Khi không được làm sạch thường xuyên, những mảng bám này sẽ dần bị khoáng hóa, trở nên cứng và bám chặt vào bề mặt răng, tạo thành lớp vôi răng dày.
Quá trình hình thành vôi răng diễn ra qua các giai đoạn sau:
- Giai đoạn 1: Sau khi ăn uống, thức ăn và vi khuẩn sẽ tạo thành lớp màng mỏng gọi là mảng bám trên bề mặt răng.
- Giai đoạn 2: Nếu không được làm sạch đúng cách, mảng bám sẽ bắt đầu khoáng hóa do các khoáng chất có trong nước bọt.
- Giai đoạn 3: Sau khoảng 1-2 ngày, mảng bám bắt đầu chuyển hóa thành vôi răng và bám chặt vào chân răng, đặc biệt là ở những vùng khó vệ sinh như kẽ răng hoặc mặt trong của răng cửa dưới.
- Giai đoạn 4: Vôi răng phát triển dày hơn theo thời gian, tạo điều kiện thuận lợi cho vi khuẩn sinh sôi và phát triển, gây ra các vấn đề nghiêm trọng cho sức khỏe răng miệng.
Vôi Răng Là Nguyên Nhân Gây Viêm Nướu, Sâu Răng Và Nha Chu
Một trong những mối nguy hiểm lớn nhất của vôi răng chính là khả năng gây viêm nướu và sâu răng. Khi vôi răng tích tụ lâu ngày, vi khuẩn sẽ tấn công các mô mềm quanh răng, gây ra tình trạng sưng đỏ, đau nhức và chảy máu khi đánh răng – dấu hiệu điển hình của viêm nướu.
Nếu không được điều trị kịp thời, viêm nướu có thể tiến triển thành viêm nha chu – một bệnh lý nguy hiểm có thể dẫn đến tụt lợi, tiêu xương hàm và thậm chí là mất răng. Ngoài ra, vi khuẩn trong vôi răng cũng sản sinh axit, làm mòn men răng và gây ra sâu răng.
Hệ quả nghiêm trọng hơn, vi khuẩn từ vôi răng có thể lan truyền qua đường máu, làm tăng nguy cơ mắc các bệnh lý toàn thân như:
- Bệnh tim mạch
- Đột quỵ
- Tiểu đường
- Viêm phổi
Vôi Răng Có Thể Dẫn Đến Hôi Miệng Kéo Dài
Một trong những hậu quả phiền toái mà vôi răng gây ra chính là hôi miệng. Khi vôi răng tích tụ quá lâu, vi khuẩn phân hủy thức ăn thừa trong khoang miệng, tạo ra các hợp chất lưu huỳnh dễ bay hơi – nguyên nhân chính gây mùi hôi khó chịu.
Hôi miệng không chỉ ảnh hưởng đến sự tự tin khi giao tiếp mà còn là dấu hiệu cảnh báo các vấn đề răng miệng nghiêm trọng đang hình thành. Dù bạn có sử dụng nước súc miệng hay kẹo thơm, tình trạng hôi miệng sẽ không thuyên giảm nếu không được loại bỏ tận gốc bằng cách cạo vôi răng định kỳ.
Tác Động Của Vôi Răng Đến Thẩm Mỹ Và Chức Năng Ăn Nhai
Không chỉ ảnh hưởng đến sức khỏe, vôi răng còn gây mất thẩm mỹ cho hàm răng của bạn. Lớp vôi bám dày khiến răng bị ố vàng, xỉn màu, thậm chí xuất hiện các mảng nâu hoặc đen trên bề mặt răng. Điều này khiến nụ cười của bạn trở nên kém duyên và làm mất đi sự tự tin trong giao tiếp hàng ngày.
Ngoài ra, nếu vôi răng phát triển dày, nó có thể làm suy giảm chức năng ăn nhai, gây đau nhức khi ăn uống và ảnh hưởng đến khả năng tiêu hóa. Khi tình trạng viêm nha chu diễn ra lâu dài, nướu bị tụt sâu, dẫn đến lộ chân răng và khiến răng trở nên nhạy cảm, dễ lung lay và rụng sớm.
Sự Cần Thiết Của Việc Cạo Vôi Định Kỳ Để Duy Trì Sức Khỏe Răng Miệng
Để ngăn ngừa các vấn đề sức khỏe răng miệng do vôi răng gây ra, việc cạo vôi định kỳ là điều vô cùng cần thiết. Các chuyên gia nha khoa khuyến cáo nên cạo vôi răng ít nhất 2 lần/năm hoặc theo chỉ định của bác sĩ, đặc biệt là đối với những người có nguy cơ cao như:
- Người hút thuốc lá thường xuyên
- Người có chế độ ăn uống nhiều tinh bột và đường
- Người mắc bệnh tiểu đường hoặc có tiền sử viêm nướu
- Người gặp khó khăn trong việc vệ sinh răng miệng
Lợi ích khi cạo vôi răng định kỳ:
- Loại bỏ hoàn toàn mảng bám và vi khuẩn tích tụ trên bề mặt răng
- Ngăn ngừa viêm nướu và các bệnh lý về lợi
- Duy trì hơi thở thơm mát, hạn chế hôi miệng
- Giúp hàm răng luôn trắng sáng, nâng cao tính thẩm mỹ
- Giữ cho răng chắc khỏe và kéo dài tuổi thọ của răng
Nếu bạn đang tìm kiếm một địa chỉ uy tín để thực hiện dịch vụ cạo vôi răng ở Vũ Thư, hãy đến ngay Nha Khoa Ngọc Tuấn – nơi mang đến cho bạn sự chăm sóc tận tâm và hiệu quả tối ưu.

Để ngăn ngừa các vấn đề sức khỏe răng miệng do vôi răng gây ra, việc cạo vôi định kỳ là điều vô cùng cần thiết
Lợi Ích Của Việc Cạo Vôi Răng Định Kỳ
Cạo vôi răng định kỳ không chỉ là biện pháp giúp làm sạch bề mặt răng mà còn đóng vai trò quan trọng trong việc phòng ngừa các vấn đề sức khỏe răng miệng. Dù bạn có chăm sóc răng miệng tại nhà tốt đến đâu, việc loại bỏ hoàn toàn mảng bám cứng đầu vẫn đòi hỏi sự can thiệp của các thiết bị nha khoa chuyên dụng. Dưới đây là những lợi ích nổi bật của việc cạo vôi răng định kỳ mà bạn không nên bỏ qua.
Giúp Loại Bỏ Mảng Bám Cứng Đầu Và Vi Khuẩn Có Hại
Dù bạn có đánh răng đều đặn và sử dụng chỉ nha khoa hằng ngày, vẫn sẽ có những khu vực khó làm sạch hoàn toàn – đặc biệt là kẽ răng, chân răng và mặt sau của răng cửa dưới. Tại những vị trí này, mảng bám rất dễ tích tụ và nhanh chóng bị khoáng hóa, trở thành vôi răng.
Khi mảng bám chuyển hóa thành vôi răng, việc làm sạch bằng bàn chải hoặc chỉ nha khoa sẽ không còn hiệu quả. Vôi răng cứng đầu là môi trường lý tưởng cho vi khuẩn phát triển, làm tăng nguy cơ gây viêm nướu và sâu răng.
Cạo vôi răng định kỳ là cách duy nhất để loại bỏ hoàn toàn những mảng bám cứng đầu này. Nhờ vào các thiết bị chuyên dụng như máy siêu âm, bác sĩ có thể làm sạch triệt để mà không làm tổn thương men răng hay nướu, đồng thời giúp khoang miệng trở nên sạch sẽ và khỏe mạnh hơn.
Ngăn Ngừa Các Bệnh Lý Nha Khoa Như Viêm Nha Chu, Sâu Răng
Một trong những lợi ích lớn nhất của việc cạo vôi răng định kỳ là ngăn ngừa các bệnh lý nha khoa. Vôi răng chứa hàng triệu vi khuẩn có hại, là nguyên nhân chính gây ra các bệnh như:
- Viêm nướu: Khi mảng bám và vôi răng tích tụ quanh chân răng, vi khuẩn sẽ tấn công mô mềm, gây viêm, sưng đỏ và chảy máu nướu.
- Viêm nha chu: Nếu không được điều trị kịp thời, viêm nướu có thể tiến triển thành viêm nha chu – một bệnh lý nguy hiểm làm tiêu xương ổ răng, tụt nướu và có thể dẫn đến mất răng.
- Sâu răng: Vi khuẩn trong vôi răng sản sinh axit, ăn mòn men răng và tạo ra các lỗ sâu trên bề mặt răng, gây đau nhức và khó chịu.
Việc lấy cao răng định kỳ sẽ giúp loại bỏ nguồn gốc của các bệnh lý trên, duy trì sức khỏe răng miệng và hạn chế nguy cơ phải điều trị phức tạp trong tương lai.
Giúp Răng Trắng Sáng Hơn, Cải Thiện Thẩm Mỹ
Răng bị ố vàng hoặc xỉn màu không chỉ do thực phẩm như cà phê, trà hay thuốc lá, mà còn do sự tích tụ lâu ngày của vôi răng. Khi mảng bám và cao răng bám dày trên bề mặt, răng sẽ mất đi độ bóng tự nhiên, trở nên xỉn màu và kém sắc.
Cạo vôi răng định kỳ giúp loại bỏ lớp mảng bám bề mặt, trả lại cho bạn hàm răng trắng sáng và khỏe mạnh. Điều này không chỉ giúp cải thiện tính thẩm mỹ mà còn tăng sự tự tin khi giao tiếp. Một hàm răng sáng bóng luôn là yếu tố quan trọng tạo nên ấn tượng tốt đẹp trong mắt người đối diện.
Tăng Cường Sức Khỏe Răng Nướu Và Duy Trì Hơi Thở Thơm Mát
Mảng bám và vôi răng là “kẻ thù” của sức khỏe răng nướu. Nếu để lâu, vôi răng có thể gây tụt lợi và tiêu xương, khiến răng trở nên yếu đi và dễ lung lay. Cạo vôi răng định kỳ giúp loại bỏ vi khuẩn, bảo vệ mô nướu và duy trì sức khỏe răng miệng tổng thể.
Bên cạnh đó, một trong những dấu hiệu rõ ràng nhất của việc tích tụ mảng bám lâu ngày là hơi thở có mùi hôi. Các hợp chất lưu huỳnh dễ bay hơi được sinh ra khi vi khuẩn phân hủy thức ăn còn sót lại trong khoang miệng là nguyên nhân chính gây hôi miệng.
Cạo vôi răng định kỳ giúp bạn:
- Duy trì hơi thở thơm mát lâu dài
- Giảm thiểu nguy cơ mắc các bệnh lý về nướu
- Giữ cho nướu luôn hồng hào, khỏe mạnh
Giúp Phát Hiện Và Điều Trị Sớm Các Vấn Đề Răng Miệng Tiềm Ẩn
Việc cạo vôi răng không chỉ giúp làm sạch bề mặt răng mà còn là dịp để bác sĩ kiểm tra tổng quát sức khỏe răng miệng. Trong quá trình làm sạch, bác sĩ có thể phát hiện các vấn đề tiềm ẩn như:
- Sâu răng ở giai đoạn đầu
- Tụt nướu hoặc tiêu xương hàm
- Các dấu hiệu ban đầu của viêm nha chu
- Tình trạng răng nứt, mẻ hoặc lỏng lẻo
Phát hiện sớm sẽ giúp bạn có phương án điều trị kịp thời, tránh những biến chứng nguy hiểm và tiết kiệm chi phí điều trị về sau. Đồng thời, việc thường xuyên theo dõi tình trạng răng miệng cũng giúp duy trì sức khỏe lâu dài và giảm nguy cơ mắc các bệnh lý phức tạp.
Việc cạo vôi răng định kỳ không chỉ đơn giản là một liệu pháp thẩm mỹ mà còn là bước quan trọng trong việc bảo vệ sức khỏe răng miệng. Nếu bạn đang sinh sống tại Vũ Thư và muốn tìm kiếm một địa chỉ nha khoa uy tín để làm sạch cao răng, Nha Khoa Ngọc Tuấn sẽ là lựa chọn lý tưởng với dịch vụ chuyên nghiệp và chi phí hợp lý.
Quy Trình Cạo Vôi Răng Chuyên Nghiệp Tại Nha Khoa Ngọc Tuấn
Tại Nha Khoa Ngọc Tuấn ở Vũ Thư, quy trình cạo vôi răng được thực hiện theo tiêu chuẩn y khoa hiện đại, đảm bảo an toàn và hiệu quả tối đa cho khách hàng. Từng bước trong quy trình đều được thực hiện cẩn thận bởi đội ngũ bác sĩ giàu kinh nghiệm, cùng với sự hỗ trợ của trang thiết bị công nghệ tiên tiến. Dưới đây là các bước trong quy trình cạo vôi răng chuyên nghiệp tại phòng khám.
Bước 1: Khám Tổng Quát Và Đánh Giá Tình Trạng Mảng Bám
Trước khi bắt đầu quy trình làm sạch cao răng, bác sĩ sẽ tiến hành kiểm tra tổng quát tình trạng răng miệng của bạn. Việc thăm khám ban đầu này rất quan trọng để đánh giá mức độ tích tụ vôi răng và phát hiện các vấn đề tiềm ẩn khác như sâu răng, viêm nướu, hay viêm nha chu.
Trong bước này, bác sĩ sẽ thực hiện:
- Đánh giá sức khỏe tổng quát của răng, nướu và mô mềm trong khoang miệng.
- Chụp X-quang (nếu cần) để kiểm tra tình trạng xương hàm và mức độ tích tụ vôi dưới nướu.
- Trao đổi với khách hàng về các triệu chứng như đau, chảy máu chân răng hay hôi miệng để đưa ra phác đồ điều trị phù hợp.
Việc khám tổng quát giúp bác sĩ xác định rõ mức độ nghiêm trọng của tình trạng cao răng và lựa chọn phương pháp xử lý hiệu quả nhất, đảm bảo quá trình cạo vôi diễn ra an toàn và không gây tổn thương cho răng, nướu.
Bước 2: Làm Sạch Và Sát Khuẩn Khoang Miệng
Trước khi tiến hành cạo vôi, bác sĩ sẽ làm sạch khoang miệng của bạn để loại bỏ các mảnh thức ăn thừa và vi khuẩn bám trên bề mặt răng. Điều này giúp giảm thiểu nguy cơ nhiễm trùng và tạo điều kiện thuận lợi cho việc loại bỏ vôi răng.
Các bước thực hiện bao gồm:
- Súc miệng bằng nước sát khuẩn chuyên dụng để làm sạch khoang miệng.
- Đánh răng sơ bộ nhằm loại bỏ mảng bám mềm trên bề mặt răng.
- Sử dụng chỉ nha khoa để lấy sạch thức ăn thừa ở các kẽ răng.
Việc sát khuẩn khoang miệng trước khi cạo vôi là bước quan trọng, giúp đảm bảo vệ sinh và hạn chế tối đa nguy cơ nhiễm trùng trong suốt quá trình điều trị.
Bước 3: Sử Dụng Máy Siêu Âm Để Loại Bỏ Vôi Răng
Tại Nha Khoa Ngọc Tuấn, việc cạo vôi răng được thực hiện bằng máy siêu âm hiện đại, mang lại hiệu quả vượt trội so với phương pháp thủ công truyền thống.
Cách hoạt động của máy siêu âm:
- Sử dụng sóng siêu âm với tần số cao để làm vỡ các mảng bám cứng đầu trên răng.
- Đầu máy siêu âm rung nhẹ, phá vỡ cấu trúc của mảng bám mà không gây tổn thương cho men răng hay nướu.
- Tích hợp hệ thống phun nước giúp làm mát vùng điều trị và rửa sạch các mảng vụn.
Ưu điểm của phương pháp cạo vôi bằng máy siêu âm:
- Hiệu quả nhanh chóng, loại bỏ mảng bám cứng đầu mà không gây đau đớn.
- Hạn chế tối đa cảm giác ê buốt so với phương pháp truyền thống.
- An toàn tuyệt đối, không gây tổn thương đến mô mềm hoặc men răng.
Bước 4: Đánh Bóng Răng Giúp Làm Mịn Bề Mặt Và Hạn Chế Tái Bám
Sau khi hoàn thành quá trình cạo vôi, bác sĩ sẽ tiến hành đánh bóng răng để làm mịn bề mặt răng. Đây là bước quan trọng giúp loại bỏ các mảng bám nhỏ còn sót lại và tạo bề mặt nhẵn mịn, hạn chế khả năng tích tụ mảng bám trở lại.
Quy trình đánh bóng răng bao gồm:
- Sử dụng bột đánh bóng chuyên dụng kết hợp với máy đánh bóng nha khoa.
- Làm sạch bề mặt răng nhẹ nhàng, giúp răng trở nên sáng bóng hơn.
- Đánh bóng không chỉ mang tính thẩm mỹ mà còn hỗ trợ bảo vệ men răng, giảm thiểu nguy cơ hình thành mảng bám mới.
Lợi ích của việc đánh bóng sau khi cạo vôi:
- Mang lại hàm răng trắng sáng tự nhiên.
- Giảm khả năng bám dính của mảng bám và vi khuẩn.
- Tăng tính thẩm mỹ và giúp hàm răng trở nên đều màu, bóng đẹp.
Bước 5: Tư Vấn Chăm Sóc Răng Miệng Sau Khi Cạo Vôi
Sau khi hoàn tất quy trình cạo vôi và đánh bóng răng, bác sĩ sẽ hướng dẫn bạn cách chăm sóc răng miệng tại nhà để duy trì kết quả lâu dài.
Các hướng dẫn chăm sóc bao gồm:
- Chế độ ăn uống: Tránh sử dụng các thực phẩm sẫm màu như cà phê, trà, rượu vang trong vòng 48 giờ sau khi cạo vôi để hạn chế tình trạng tái bám mảng màu.
- Vệ sinh răng miệng: Đánh răng ít nhất 2 lần/ngày bằng kem đánh răng có chứa fluoride và dùng chỉ nha khoa để làm sạch kẽ răng.
- Tái khám định kỳ: Nên đến nha khoa kiểm tra sức khỏe răng miệng ít nhất 6 tháng/lần hoặc theo lịch hẹn của bác sĩ để đảm bảo răng luôn sạch và khỏe mạnh.
- Tránh hút thuốc lá: Nicotine và các chất có trong thuốc lá làm tăng nguy cơ hình thành mảng bám và gây hại cho nướu.
Ngoài ra, bác sĩ cũng sẽ đưa ra các lời khuyên cá nhân hóa dựa trên tình trạng răng miệng của từng khách hàng, giúp bạn duy trì kết quả lâu dài và hạn chế tái phát các vấn đề nha khoa.

Việc cạo vôi răng định kỳ không chỉ đơn giản là một liệu pháp thẩm mỹ mà còn là bước quan trọng trong việc bảo vệ sức khỏe răng miệng
Khi Nào Nên Cạo Vôi Răng?
Cạo vôi răng là một trong những phương pháp quan trọng giúp duy trì sức khỏe răng miệng và ngăn ngừa các bệnh lý nha khoa. Tuy nhiên, không phải ai cũng biết khi nào nên thực hiện cạo vôi răng để mang lại hiệu quả tốt nhất. Dưới đây là những thời điểm quan trọng mà bạn nên cân nhắc đến nha khoa để loại bỏ mảng bám và bảo vệ hàm răng của mình.
Định Kỳ 6 Tháng/Lần Để Duy Trì Sức Khỏe Răng Miệng
Theo khuyến cáo của các chuyên gia nha khoa, bạn nên cạo vôi răng định kỳ 6 tháng một lần để duy trì sức khỏe răng miệng tốt nhất. Việc làm sạch mảng bám thường xuyên giúp loại bỏ vi khuẩn gây hại, đồng thời ngăn ngừa các bệnh lý răng miệng như sâu răng, viêm nha chu và viêm nướu.
Tại sao nên cạo vôi định kỳ?
- Ngăn chặn sự tích tụ của mảng bám – nguyên nhân chính gây ra nhiều vấn đề về sức khỏe răng miệng.
- Giúp giữ cho răng luôn trắng sáng và hơi thở thơm mát.
- Duy trì hàm răng chắc khỏe, bảo vệ nướu và xương hàm khỏi tổn thương.
Việc cạo vôi răng định kỳ không chỉ mang lại lợi ích thẩm mỹ mà còn giúp phát hiện sớm các vấn đề tiềm ẩn về răng miệng, từ đó có phương án điều trị kịp thời và hiệu quả.
Khi Xuất Hiện Triệu Chứng Hôi Miệng, Viêm Nướu
Nếu bạn thường xuyên gặp phải tình trạng hôi miệng dai dẳng hoặc nướu bị sưng đỏ, chảy máu khi đánh răng, đây có thể là dấu hiệu cho thấy răng miệng của bạn đang gặp vấn đề và cần được làm sạch chuyên sâu.
Dấu hiệu nhận biết cần cạo vôi răng:
- Nướu bị sưng, đỏ hoặc chảy máu khi đánh răng hoặc dùng chỉ nha khoa.
- Miệng có mùi khó chịu dù đã vệ sinh thường xuyên.
- Răng trở nên nhạy cảm, đau nhức khi ăn uống đồ nóng, lạnh.
Nguyên nhân chính dẫn đến các triệu chứng trên là do mảng bám và vôi răng tích tụ lâu ngày, tạo môi trường thuận lợi cho vi khuẩn phát triển và gây viêm nhiễm. Cạo vôi răng sẽ giúp loại bỏ ổ vi khuẩn này, từ đó cải thiện tình trạng hôi miệng và viêm nướu hiệu quả.
Trước Khi Thực Hiện Các Thủ Thuật Nha Khoa
Nếu bạn có kế hoạch thực hiện các thủ thuật nha khoa như niềng răng, trám răng, tẩy trắng hoặc trồng Implant, bác sĩ sẽ yêu cầu làm sạch cao răng trước khi bắt đầu điều trị. Điều này nhằm đảm bảo rằng môi trường trong khoang miệng hoàn toàn sạch sẽ, tránh nguy cơ nhiễm trùng và tăng hiệu quả của quá trình điều trị.
Lý do cần cạo vôi trước khi thực hiện thủ thuật nha khoa:
- Đảm bảo môi trường miệng sạch khuẩn, giúp quá trình điều trị diễn ra thuận lợi.
- Ngăn ngừa tình trạng viêm nhiễm trong quá trình phẫu thuật hoặc điều trị chỉnh nha.
- Tăng khả năng bám dính và độ ổn định của các khí cụ niềng răng hoặc vật liệu trám.
Việc làm sạch cao răng trước khi thực hiện các thủ thuật nha khoa là một bước quan trọng giúp hạn chế biến chứng và tăng hiệu quả điều trị lâu dài.
Sau Thời Gian Dài Không Làm Sạch Răng Chuyên Sâu
Nếu bạn đã lâu không thực hiện vệ sinh răng miệng chuyên sâu tại nha khoa, rất có thể mảng bám đã tích tụ và hình thành lớp vôi cứng khó loại bỏ bằng việc đánh răng thông thường.
Dấu hiệu nhận biết khi cần làm sạch chuyên sâu:
- Cảm giác cộm cứng hoặc bề mặt răng không còn trơn láng như trước.
- Xuất hiện các mảng vàng nâu hoặc xám trên bề mặt răng, đặc biệt là gần chân răng.
- Thường xuyên bị đau hoặc ê buốt khi ăn uống.
Việc trì hoãn cạo vôi răng trong thời gian dài có thể làm gia tăng nguy cơ mắc các bệnh lý răng miệng nghiêm trọng như viêm nha chu, tiêu xương hàm hoặc mất răng vĩnh viễn. Vì vậy, việc duy trì thói quen kiểm tra và làm sạch cao răng định kỳ là cách tốt nhất để bảo vệ sức khỏe răng miệng.
Khi Phát Hiện Các Mảng Bám Cứng, Vàng Trên Bề Mặt Răng
Nếu bạn quan sát thấy trên bề mặt răng xuất hiện các mảng bám cứng, có màu vàng, nâu hoặc đen ở gần chân răng hoặc giữa các kẽ răng, đây là dấu hiệu rõ rệt của việc vôi răng đã hình thành và cần được loại bỏ ngay lập tức.
Vôi răng không chỉ ảnh hưởng đến thẩm mỹ mà còn là nguyên nhân chính gây ra nhiều bệnh lý nha khoa như sâu răng, viêm lợi và mất răng. Cạo vôi răng kịp thời giúp:
- Làm sạch bề mặt răng, giúp răng trắng sáng và đều màu hơn.
- Ngăn chặn sự phát triển của vi khuẩn gây viêm nướu và sâu răng.
- Giảm nguy cơ tiêu xương hàm do viêm nha chu kéo dài.
Việc phát hiện và xử lý kịp thời các mảng bám cứng trên răng là bước quan trọng giúp bạn duy trì hàm răng khỏe mạnh và hơi thở thơm mát.
Tác Hại Của Việc Không Cạo Vôi Răng Định Kỳ
Việc cạo vôi răng định kỳ không chỉ đơn giản là một bước chăm sóc răng miệng thông thường mà còn đóng vai trò quan trọng trong việc ngăn ngừa các bệnh lý nguy hiểm liên quan đến nướu và răng. Nếu không thực hiện đều đặn, mảng bám và cao răng tích tụ lâu ngày sẽ trở thành mối đe dọa trực tiếp đến sức khỏe răng miệng của bạn. Dưới đây là những tác hại nghiêm trọng khi bỏ qua việc cạo vôi răng định kỳ.
Tăng Nguy Cơ Sâu Răng Và Viêm Nướu
Mảng bám và cao răng là môi trường lý tưởng cho vi khuẩn phát triển. Khi không được làm sạch đúng cách, chúng sẽ tấn công men răng, gây tổn thương và dẫn đến sâu răng. Ban đầu, sâu răng chỉ gây ê buốt nhẹ, nhưng nếu không điều trị kịp thời, vi khuẩn sẽ xâm nhập sâu vào tủy răng, dẫn đến đau nhức dữ dội và có thể phải điều trị tủy hoặc nhổ bỏ răng.
Viêm nướu là một trong những hệ quả phổ biến nhất của việc không cạo vôi răng định kỳ. Các dấu hiệu bao gồm:
- Nướu sưng đỏ, dễ chảy máu khi đánh răng.
- Cảm giác đau và ê buốt khi ăn uống.
- Tăng nguy cơ nhiễm trùng nếu không được điều trị kịp thời.
Gây Viêm Nha Chu, Tụt Lợi Và Tiêu Xương Ổ Răng
Khi viêm nướu không được điều trị đúng cách, bệnh sẽ tiến triển thành viêm nha chu – một trong những bệnh lý nghiêm trọng nhất về răng miệng. Viêm nha chu không chỉ ảnh hưởng đến mô nướu mà còn phá hủy các cấu trúc nâng đỡ răng như dây chằng và xương ổ răng.
Các hậu quả nghiêm trọng của viêm nha chu bao gồm:
- Lợi bị tụt xuống, làm lộ chân răng, gây ê buốt khi ăn uống.
- Xương ổ răng bị tiêu dần, làm răng trở nên lỏng lẻo.
- Tăng nguy cơ mất răng sớm do không còn mô và xương hỗ trợ răng.
Việc không cạo vôi răng định kỳ tạo điều kiện cho mảng bám cứng hình thành và bám sâu dưới nướu, làm trầm trọng thêm các triệu chứng của viêm nha chu và khiến quá trình điều trị trở nên phức tạp hơn.
Tạo Môi Trường Lý Tưởng Cho Vi Khuẩn Gây Bệnh Phát Triển
Mảng bám và cao răng là nơi cư trú lý tưởng cho vi khuẩn, đặc biệt là các loại vi khuẩn gây hại như Porphyromonas gingivalis – tác nhân chính gây bệnh nha chu. Những vi khuẩn này không chỉ ảnh hưởng đến sức khỏe răng miệng mà còn có thể gây hại cho sức khỏe toàn thân.
Một số nghiên cứu đã chỉ ra mối liên hệ giữa bệnh nha chu và các bệnh lý toàn thân như:
- Tăng nguy cơ mắc bệnh tim mạch do vi khuẩn từ nha chu xâm nhập vào máu.
- Tăng khả năng bị đột quỵ và các biến chứng liên quan đến huyết áp.
- Làm trầm trọng thêm các bệnh lý mãn tính như tiểu đường hoặc bệnh phổi.
Ảnh Hưởng Đến Tính Thẩm Mỹ Của Răng Và Hơi Thở
Vôi răng không chỉ là mối đe dọa cho sức khỏe mà còn ảnh hưởng nghiêm trọng đến thẩm mỹ và sự tự tin trong giao tiếp. Khi mảng bám và cao răng tích tụ, chúng thường có màu vàng, nâu hoặc thậm chí đen, gây mất thẩm mỹ nghiêm trọng cho hàm răng của bạn.
Hệ quả thẩm mỹ của việc không cạo vôi răng bao gồm:
- Răng xỉn màu, kém sáng bóng, làm mất đi vẻ ngoài khỏe mạnh.
- Hơi thở có mùi khó chịu do vi khuẩn phát triển trong các mảng bám.
- Gây mất tự tin trong giao tiếp, ảnh hưởng đến công việc và cuộc sống hằng ngày.
Việc cạo vôi răng định kỳ không chỉ giúp cải thiện sức khỏe răng miệng mà còn mang lại cho bạn nụ cười tự tin và hơi thở thơm mát.
Nguy Cơ Mất Răng Sớm Nếu Không Điều Trị Kịp Thời
Một trong những hậu quả nghiêm trọng nhất của việc không cạo vôi răng định kỳ là nguy cơ mất răng sớm. Khi mảng bám và cao răng tích tụ lâu ngày, chúng sẽ ăn mòn men răng, gây tổn thương sâu vào mô và xương nâng đỡ răng.
Dấu hiệu cảnh báo sớm của tình trạng răng sắp mất:
- Răng trở nên lỏng lẻo và di chuyển khi ăn nhai.
- Xuất hiện mủ ở chân răng hoặc viêm nhiễm quanh răng.
- Đau nhức liên tục, đặc biệt khi ăn uống hoặc chạm vào vùng nướu.
Nếu không điều trị kịp thời, bạn có thể phải nhổ bỏ răng, điều này không chỉ ảnh hưởng đến thẩm mỹ mà còn tác động đến khả năng ăn nhai và sức khỏe toàn thân.

Vôi răng không chỉ là mối đe dọa cho sức khỏe mà còn ảnh hưởng nghiêm trọng đến thẩm mỹ và sự tự tin trong giao tiếp
Lý Do Nên Chọn Dịch Vụ Cạo Vôi Răng Tại Nha Khoa Ngọc Tuấn Ở Vũ Thư
Việc lựa chọn một địa chỉ nha khoa uy tín không chỉ giúp bạn an tâm trong quá trình điều trị mà còn đảm bảo hiệu quả lâu dài cho sức khỏe răng miệng. Tại Nha Khoa Ngọc Tuấn – Vũ Thư, khách hàng không chỉ nhận được chất lượng dịch vụ vượt trội mà còn được trải nghiệm không gian điều trị chuyên nghiệp, thoải mái. Dưới đây là những lý do khiến Nha Khoa Ngọc Tuấn trở thành lựa chọn hàng đầu cho dịch vụ cạo vôi răng tại khu vực Vũ Thư.
Đội Ngũ Bác Sĩ Giàu Kinh Nghiệm Và Chuyên Môn Cao
Một trong những yếu tố quan trọng quyết định đến chất lượng dịch vụ tại Nha Khoa Ngọc Tuấn chính là đội ngũ bác sĩ chuyên nghiệp. Tất cả các bác sĩ tại đây đều có trình độ chuyên môn cao, được đào tạo bài bản từ các trường đại học y khoa danh tiếng trong nước và quốc tế.
Bên cạnh đó, các bác sĩ tại Nha Khoa Ngọc Tuấn luôn:
- Cập nhật kiến thức mới: Thường xuyên tham gia các khóa đào tạo chuyên sâu, hội thảo và nghiên cứu trong lĩnh vực nha khoa.
- Tư vấn tận tình: Luôn lắng nghe và giải đáp mọi thắc mắc của khách hàng, giúp đưa ra phương án điều trị phù hợp với từng trường hợp.
- Chuyên môn đa dạng: Từ các vấn đề nha khoa tổng quát như cạo vôi răng, điều trị viêm nha chu đến các dịch vụ chuyên sâu như niềng răng, trồng răng Implant.
Với sự tận tâm và chuyên nghiệp, các bác sĩ tại Nha Khoa Ngọc Tuấn luôn đặt sức khỏe và sự hài lòng của khách hàng lên hàng đầu.
Trang Thiết Bị Hiện Đại, Đảm Bảo Quy Trình Vô Trùng Tuyệt Đối
Cơ sở vật chất và trang thiết bị đóng vai trò quan trọng trong việc đảm bảo an toàn và hiệu quả điều trị. Hiểu được điều đó, Nha Khoa Ngọc Tuấn đã đầu tư hệ thống máy móc hiện đại, đạt tiêu chuẩn quốc tế nhằm phục vụ tốt nhất cho quá trình chăm sóc và điều trị răng miệng.
Một số thiết bị hiện đại tại phòng khám bao gồm:
- Máy siêu âm cạo vôi răng: Giúp loại bỏ mảng bám một cách nhẹ nhàng và hiệu quả, hạn chế ê buốt cho bệnh nhân.
- Máy chụp X-quang kỹ thuật số: Giúp phát hiện chính xác các vấn đề sâu bên trong răng và nướu.
- Hệ thống vô trùng tự động: Đảm bảo dụng cụ luôn trong tình trạng sạch sẽ và an toàn, hạn chế tối đa nguy cơ lây nhiễm chéo.
Với trang thiết bị hiện đại, khách hàng hoàn toàn yên tâm về độ an toàn và hiệu quả trong quá trình điều trị.
Phương Pháp Cạo Vôi Bằng Sóng Siêu Âm Không Gây Đau Đớn
Một trong những lý do khiến khách hàng e ngại khi cạo vôi răng là cảm giác đau buốt, khó chịu. Hiểu được tâm lý này, Nha Khoa Ngọc Tuấn đã ứng dụng công nghệ cạo vôi bằng sóng siêu âm – phương pháp hiện đại, an toàn và hiệu quả vượt trội.
Ưu điểm nổi bật của phương pháp này bao gồm:
- Không đau, không ê buốt: Sóng siêu âm nhẹ nhàng loại bỏ mảng bám mà không làm tổn thương men răng hay mô nướu.
- Hiệu quả vượt trội: Làm sạch mảng bám và cao răng cả ở những vị trí khó tiếp cận như kẽ răng và dưới nướu.
- Giảm thiểu nguy cơ tái bám: Bề mặt răng được làm mịn sau khi cạo, hạn chế sự bám dính của vi khuẩn.
- Thời gian thực hiện nhanh chóng: Chỉ mất khoảng 20 - 30 phút cho một lần làm sạch răng toàn diện.
Công nghệ cạo vôi bằng sóng siêu âm tại Nha Khoa Ngọc Tuấn giúp khách hàng cảm thấy thoải mái và an tâm trong suốt quá trình điều trị.
Chi Phí Hợp Lý, Công Khai Và Minh Bạch
Chi phí luôn là mối quan tâm lớn đối với nhiều khách hàng khi lựa chọn dịch vụ nha khoa. Hiểu rõ điều đó, Nha Khoa Ngọc Tuấn cam kết mang đến mức giá hợp lý, minh bạch và phù hợp với chất lượng dịch vụ.
- Chi phí cạo vôi răng tại Nha Khoa Ngọc Tuấn dao động từ 300.000 – 500.000 VNĐ tùy vào tình trạng mảng bám và mức độ tích tụ của cao răng.
- Không phát sinh thêm chi phí ngoài phác đồ điều trị đã được thống nhất với khách hàng.
- Chính sách hỗ trợ trả góp linh hoạt đối với các dịch vụ điều trị chuyên sâu như trồng răng Implant hay niềng răng.
Khách hàng sẽ được tư vấn rõ ràng về giá dịch vụ trước khi tiến hành điều trị, đảm bảo tính minh bạch và sự yên tâm trong quá trình sử dụng dịch vụ.
Chính Sách Tư Vấn Và Chăm Sóc Khách Hàng Tận Tình
Sự hài lòng của khách hàng luôn là mục tiêu hàng đầu của Nha Khoa Ngọc Tuấn. Vì vậy, phòng khám không chỉ tập trung vào chất lượng dịch vụ mà còn đặc biệt chú trọng đến trải nghiệm của khách hàng.
Quy trình tư vấn và chăm sóc khách hàng tại Nha Khoa Ngọc Tuấn bao gồm:
- Tư vấn chi tiết về tình trạng răng miệng và phương pháp điều trị phù hợp.
- Chăm sóc sau điều trị: Theo dõi và hướng dẫn chế độ chăm sóc tại nhà để duy trì sức khỏe răng miệng lâu dài.
- Hỗ trợ trực tuyến 24/7: Giải đáp mọi thắc mắc của khách hàng thông qua hotline và các kênh mạng xã hội.
- Chính sách bảo hành dịch vụ: Đảm bảo khách hàng được hỗ trợ kịp thời nếu gặp vấn đề sau điều trị.
Với phong cách phục vụ tận tình, Nha Khoa Ngọc Tuấn luôn là lựa chọn hàng đầu cho những ai mong muốn có một trải nghiệm chăm sóc răng miệng hoàn hảo tại Vũ Thư.
Sự hài lòng của khách hàng luôn là mục tiêu hàng đầu của Nha Khoa Ngọc Tuấn
Địa chỉ: 662 Lý Bôn, TP. Thái Bình
Hotline: 093 352 83 38
Website: nhakhoangoctuan.vn

