Tóm tắt nội dung [Ẩn]
- Sai Khớp Cắn Là Gì? Tổng Quan Về Tình Trạng Sai Khớp Cắn
- 1. Định Nghĩa Và Ảnh Hưởng Của Sai Khớp Cắn
- 2. Các Loại Sai Khớp Cắn Thường Gặp
- 3. Nguyên Nhân Gây Sai Khớp Cắn
- 4. Hậu Quả Của Sai Khớp Cắn Nếu Không Điều Trị
- 5. Khi Nào Nên Thăm Khám Nha Sĩ Để Kiểm Tra Khớp Cắn?
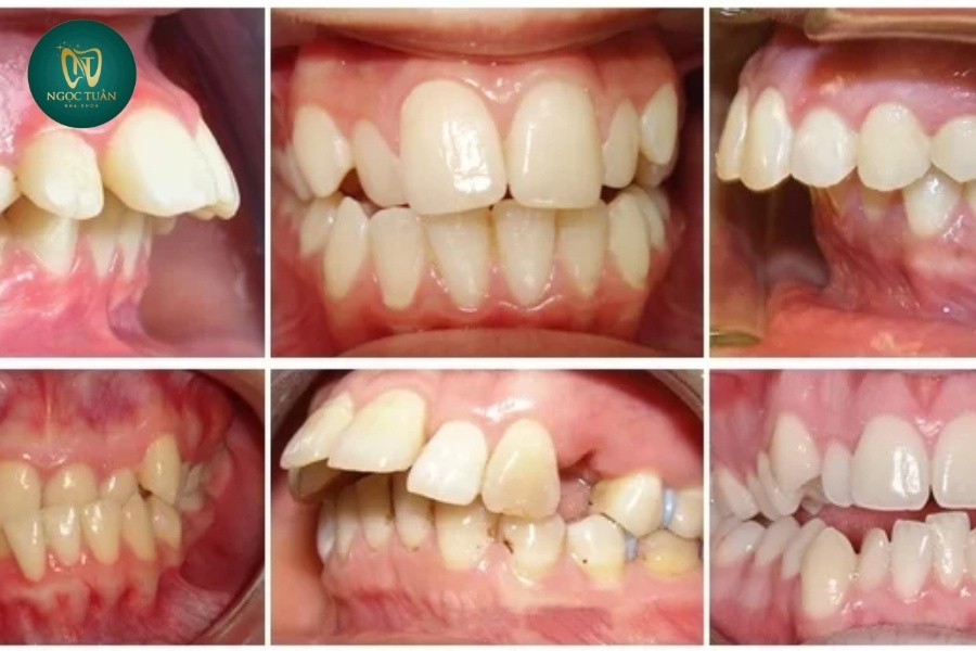
- Sai khớp cắn xảy ra khi răng trên và răng dưới không ăn khớp đúng vị trí, dẫn đến việc nhai và phát âm bị ảnh hưởng
- Nguyên Nhân Gây Sai Khớp Cắn – Những Yếu Tố Ảnh Hưởng Đến Cấu Trúc Răng Hàm
- Khi Nào Nên Điều Trị Sai Khớp Cắn?
- Một trong những nguyên nhân phổ biến nhất của sai khớp cắn là yếu tố di truyền
- Sai Khớp Cắn Có Nguy Hiểm Không? Những Hậu Quả Cần Lưu Ý
- 1. Gây Khó Khăn Trong Ăn Nhai, Ảnh Hưởng Đến Tiêu Hóa
- 2. Tăng Nguy Cơ Sâu Răng, Viêm Nướu Do Khó Vệ Sinh Răng Miệng
- 3. Khiến Khuôn Mặt Mất Cân Đối, Ảnh Hưởng Đến Thẩm Mỹ
- 4. Đau Hàm, Đau Đầu Do Áp Lực Lên Khớp Thái Dương Hàm
- 5. Có Thể Gây Mất Răng Sớm Nếu Không Điều Trị Kịp Thời
- Sai khớp cắn không chỉ ảnh hưởng đến chức năng ăn nhai mà còn làm thay đổi cấu trúc khuôn mặt
- Cách Chẩn Đoán Sai Khớp Cắn Tại Nha Khoa
- Sai khớp cắn không chỉ ảnh hưởng đến chức năng ăn nhai mà còn có thể gây ra nhiều vấn đề sức khỏe răng miệng
- Các Phương Pháp Điều Trị Sai Khớp Cắn Hiệu Quả Hiện Nay
- 1. Niềng Răng Chỉnh Nha – Giải Pháp Hiệu Quả Cho Hầu Hết Các Trường Hợp
- 2. Bọc Răng Sứ – Giải Pháp Nhanh Cho Sai Lệch Nhẹ
- 3. Phẫu Thuật Chỉnh Hàm – Giả Các trường hợp cần phẫu thuật chỉnh hàm:
- Dùng Khí Cụ Chỉnh Nha Sớm Cho Trẻ Em – Ngăn Ngừa Sai Khớp Cắn Từ Nhỏ
- Tập Vật Lý Trị Liệu Hàm – Hỗ Trợ Cải Thiện Khớp Cắn
- Niềng Răng Chỉnh Nha – Giải Pháp Hiệu Quả Cho Sai Khớp Cắn
- Phẫu Thuật Chỉnh Hàm Trong Trường Hợp Sai Khớp Cắn Nặng
- Khi Nào Cần Phẫu Thuật Chỉnh Hàm Thay Vì Niềng Răng?
- Quy Trình Phẫu Thuật Chỉnh Hàm Diễn Ra Như Thế Nào?
- Thời Gian Phục Hồi Sau Phẫu Thuật Và Những Lưu Ý Quan Trọng
- Phối Hợp Niềng Răng Trước Và Sau Phẫu Thuật Để Tối Ưu Hiệu Quả
- Rủi Ro Và Biến Chứng Có Thể Gặp Khi Phẫu Thuật Chỉnh Hàm
- Niềng răng là giải pháp phổ biến nhất để điều chỉnh khớp cắn
- Dịch Vụ Điều Trị Sai Khớp Cắn Tại Nha Khoa Ngọc Tuấn – Thái Bình
Sai Khớp Cắn Là Gì? Tổng Quan Về Tình Trạng Sai Khớp Cắn
Sai khớp cắn là tình trạng hai hàm răng không khớp nhau khi đóng miệng, gây ảnh hưởng đến chức năng nhai, phát âm và thẩm mỹ khuôn mặt. Đây là một trong những vấn đề răng miệng phổ biến, có thể gặp ở cả trẻ em và người lớn.
1. Định Nghĩa Và Ảnh Hưởng Của Sai Khớp Cắn
Sai khớp cắn xảy ra khi răng trên và răng dưới không ăn khớp đúng vị trí, dẫn đến việc nhai và phát âm bị ảnh hưởng. Tình trạng này có thể nhẹ hoặc nghiêm trọng, tùy vào mức độ sai lệch của răng và xương hàm. Nếu không được điều trị kịp thời, sai khớp cắn có thể gây ra nhiều hậu quả lâu dài như đau hàm, mòn răng, thậm chí ảnh hưởng đến thẩm mỹ khuôn mặt.
2. Các Loại Sai Khớp Cắn Thường Gặp
Sai khớp cắn có nhiều dạng khác nhau, mỗi loại có đặc điểm riêng và cần phương pháp điều trị phù hợp:
- Khớp cắn hô (Overbite): Răng hàm trên chìa ra quá nhiều so với răng hàm dưới.
- Khớp cắn móm (Underbite): Răng hàm dưới đưa ra phía trước quá mức so với hàm trên.
- Cắn chéo (Crossbite): Một số răng hàm trên cắn vào bên trong răng hàm dưới thay vì bên ngoài.
- Cắn hở (Open Bite): Hai hàm không chạm vào nhau khi ngậm miệng, tạo khoảng hở lớn.
- Cắn sâu (Deep Bite): Răng cửa hàm trên che phủ quá nhiều răng cửa hàm dưới.
3. Nguyên Nhân Gây Sai Khớp Cắn
Sai khớp cắn có thể do nhiều nguyên nhân khác nhau, trong đó phổ biến nhất là:
- Yếu tố di truyền: Nếu cha mẹ có cấu trúc xương hàm lệch, trẻ có thể thừa hưởng đặc điểm này.
- Thói quen xấu từ nhỏ: Mút tay, đẩy lưỡi, thở miệng có thể làm răng mọc sai vị trí.
- Mất răng sớm: Nếu trẻ mất răng sữa quá sớm mà không có biện pháp giữ chỗ, răng vĩnh viễn có thể mọc lệch.
- Tác động từ chấn thương: Tai nạn hoặc chấn thương vùng hàm có thể ảnh hưởng đến sự phát triển của xương hàm.
4. Hậu Quả Của Sai Khớp Cắn Nếu Không Điều Trị
Sai khớp cắn không chỉ ảnh hưởng đến thẩm mỹ mà còn gây ra nhiều vấn đề sức khỏe răng miệng như:
- Khó khăn trong ăn nhai: Răng không khớp đúng vị trí có thể làm giảm hiệu suất nhai, gây ảnh hưởng đến hệ tiêu hóa.
- Mòn răng nhanh chóng: Lực nhai không đều có thể làm răng bị mài mòn hoặc nứt vỡ.
- Đau hàm và đau đầu: Áp lực lên khớp thái dương hàm có thể gây đau nhức kéo dài.
- Ảnh hưởng đến phát âm: Một số trường hợp sai khớp cắn nặng có thể làm giọng nói không rõ ràng.
- Tăng nguy cơ mắc bệnh răng miệng: Răng lệch lạc khó vệ sinh, tạo điều kiện cho vi khuẩn gây viêm nướu và sâu răng.
5. Khi Nào Nên Thăm Khám Nha Sĩ Để Kiểm Tra Khớp Cắn?
Nếu nhận thấy các dấu hiệu như khó nhai, đau hàm, răng mọc lệch hoặc khuôn mặt mất cân đối, bạn nên đến nha khoa để được kiểm tra. Việc phát hiện sớm và điều trị kịp thời sẽ giúp bạn cải thiện chức năng ăn nhai, bảo vệ sức khỏe răng miệng và lấy lại sự tự tin trong giao tiếp.
Sai khớp cắn xảy ra khi răng trên và răng dưới không ăn khớp đúng vị trí, dẫn đến việc nhai và phát âm bị ảnh hưởng
Nguyên Nhân Gây Sai Khớp Cắn – Những Yếu Tố Ảnh Hưởng Đến Cấu Trúc Răng Hàm
Sai khớp cắn không chỉ ảnh hưởng đến thẩm mỹ mà còn gây ra nhiều vấn đề liên quan đến chức năng ăn nhai và sức khỏe răng miệng. Nguyên nhân dẫn đến tình trạng này có thể do bẩm sinh hoặc tác động từ thói quen sinh hoạt hằng ngày. Việc xác định đúng nguyên nhân giúp bác sĩ đưa ra phương pháp điều trị hiệu quả, giúp cải thiện khớp cắn và bảo vệ răng miệng lâu dài.
1. Yếu Tố Di Truyền – Cấu Trúc Xương Hàm Ảnh Hưởng Đến Vị Trí Răng
Một trong những nguyên nhân phổ biến nhất của sai khớp cắn là yếu tố di truyền. Nếu cha mẹ có hàm răng lệch, hô, móm hoặc xương hàm phát triển không cân đối, trẻ cũng có nguy cơ cao gặp phải tình trạng này. Các bất thường về cấu trúc xương hàm có thể làm cho răng không mọc đúng vị trí, dẫn đến sai khớp cắn ngay từ nhỏ. Trong những trường hợp này, điều trị chỉnh nha sớm là cách tốt nhất để điều chỉnh và kiểm soát sự phát triển của răng.
2. Thói Quen Xấu Từ Nhỏ – Tác Nhân Gây Lệch Khớp Cắn
Nhiều thói quen trong thời thơ ấu có thể ảnh hưởng đến sự phát triển của răng và xương hàm, điển hình như:
- Mút tay: Áp lực từ ngón tay lên răng cửa có thể làm răng chìa ra ngoài, dẫn đến hô hàm trên.
- Đẩy lưỡi: Khi trẻ có thói quen đẩy lưỡi vào răng trước, răng sẽ bị đẩy ra ngoài theo thời gian, gây cắn hở hoặc hô.
-
Thở miệng: Khi trẻ có thói quen thở bằng miệng thay vì mũi, cấu trúc xương hàm trên có thể bị ảnh hưởng, dẫn đến khớp cắn không cân đối.
Những thói quen này nếu không được phát hiện và điều chỉnh sớm có thể làm sai khớp cắn nặng hơn khi trẻ trưởng thành.
3. Mất Răng Sữa Sớm – Nguy Cơ Răng Vĩnh Viễn Mọc Lệch
Răng sữa đóng vai trò quan trọng trong việc giữ chỗ cho răng vĩnh viễn mọc đúng vị trí. Nếu trẻ mất răng sữa quá sớm do sâu răng hoặc chấn thương, các răng bên cạnh có thể bị xô lệch vào khoảng trống đó, khiến răng vĩnh viễn không có đủ chỗ để mọc đúng hướng. Kết quả là răng có thể mọc chen chúc, lệch lạc hoặc sai khớp cắn.
4. Chấn Thương, Tai Nạn Ảnh Hưởng Đến Sự Phát Triển Của Xương Hàm
Tai nạn hoặc chấn thương vùng mặt có thể làm ảnh hưởng đến sự phát triển của xương hàm, đặc biệt là ở trẻ nhỏ. Nếu xương hàm bị lệch hoặc phát triển không đồng đều, răng có thể không còn ăn khớp với nhau, dẫn đến sai khớp cắn. Một số trường hợp nặng có thể cần can thiệp phẫu thuật hàm để điều chỉnh cấu trúc xương.
5. Điều Trị Chỉnh Nha Không Đúng Cách Gây Lệch Khớp Cắn
Chỉnh nha (niềng răng) là phương pháp phổ biến giúp điều chỉnh khớp cắn, nhưng nếu thực hiện sai cách hoặc không theo dõi đúng quy trình, có thể dẫn đến sai lệch khớp cắn. Một số nguyên nhân bao gồm:
- Sử dụng mắc cài hoặc khay niềng không phù hợp.
- Không đeo hàm duy trì sau khi niềng răng, khiến răng di chuyển sai vị trí.
- Điều chỉnh lực kéo không đúng gây mất cân đối giữa hai hàm.
Khi Nào Nên Điều Trị Sai Khớp Cắn?
Sai khớp cắn nếu không được điều trị sớm có thể ảnh hưởng nghiêm trọng đến chức năng nhai và thẩm mỹ khuôn mặt. Nếu bạn hoặc con bạn có dấu hiệu răng mọc lệch, khó nhai hoặc đau hàm, hãy đến nha khoa để được kiểm tra và tư vấn phương pháp chỉnh nha phù hợp. Điều trị sớm giúp giảm thiểu các biến chứng và đảm bảo sức khỏe răng miệng lâu dài.

Một trong những nguyên nhân phổ biến nhất của sai khớp cắn là yếu tố di truyền
Sai Khớp Cắn Có Nguy Hiểm Không? Những Hậu Quả Cần Lưu Ý
Sai khớp cắn không chỉ ảnh hưởng đến thẩm mỹ mà còn gây ra nhiều vấn đề nghiêm trọng về sức khỏe răng miệng và toàn thân. Nếu không điều trị kịp thời, tình trạng này có thể để lại hậu quả lâu dài, ảnh hưởng đến chức năng ăn nhai, sức khỏe nướu và cấu trúc khuôn mặt. Dưới đây là những tác hại của sai khớp cắn mà bạn cần lưu ý.
1. Gây Khó Khăn Trong Ăn Nhai, Ảnh Hưởng Đến Tiêu Hóa
Khi răng không cắn khớp đúng vị trí, thức ăn không được nghiền nhỏ hiệu quả trước khi đi vào hệ tiêu hóa. Điều này làm tăng áp lực lên dạ dày và ruột, dễ gây ra các vấn đề như:
- Khó tiêu, đầy hơi: Do thức ăn chưa được nhai kỹ, dạ dày phải làm việc nhiều hơn.
- Rối loạn tiêu hóa: Hệ tiêu hóa phải xử lý thức ăn chưa được nghiền nhỏ, gây khó hấp thụ chất dinh dưỡng.
- Tăng nguy cơ đau dạ dày: Do hệ tiêu hóa phải hoạt động quá mức để xử lý thức ăn không được nhai kỹ.
Những người bị sai khớp cắn nghiêm trọng thường gặp khó khăn khi ăn các loại thực phẩm cứng hoặc dai, ảnh hưởng đến chế độ ăn uống và sức khỏe tổng thể.
2. Tăng Nguy Cơ Sâu Răng, Viêm Nướu Do Khó Vệ Sinh Răng Miệng
Khi răng mọc lệch, chen chúc hoặc không đều, việc vệ sinh răng miệng trở nên khó khăn hơn. Những vị trí khó tiếp cận có thể tích tụ mảng bám và vi khuẩn, làm tăng nguy cơ mắc các bệnh răng miệng như:
- Sâu răng: Vi khuẩn dễ dàng xâm nhập vào những kẽ răng không thể làm sạch bằng bàn chải hoặc chỉ nha khoa.
- Viêm nướu: Mảng bám tích tụ quanh chân răng gây viêm nhiễm, làm nướu sưng đỏ và chảy máu khi đánh răng.
- Viêm nha chu: Nếu không được điều trị, viêm nướu có thể tiến triển thành viêm nha chu, gây tổn thương xương ổ răng và khiến răng lung lay.
Việc niềng răng hoặc điều chỉnh khớp cắn sớm giúp cải thiện khả năng vệ sinh răng miệng, giảm nguy cơ mắc các bệnh lý trên.
3. Khiến Khuôn Mặt Mất Cân Đối, Ảnh Hưởng Đến Thẩm Mỹ
Sai khớp cắn không chỉ ảnh hưởng đến chức năng ăn nhai mà còn làm thay đổi cấu trúc khuôn mặt. Một số hậu quả thường gặp bao gồm:
- Hô hàm trên: Khi xương hàm trên phát triển quá mức, khuôn mặt có xu hướng nhô ra trước, ảnh hưởng đến sự hài hòa tổng thể.
- Móm (khớp cắn ngược): Hàm dưới phát triển mạnh hơn hàm trên, làm cằm nhô ra, gây mất cân đối khuôn mặt.
- Lệch mặt: Cắn chéo hoặc lệch khớp cắn có thể khiến khuôn mặt phát triển bất cân xứng.
- Ảnh hưởng đến nụ cười: Khi răng không thẳng hàng hoặc cắn không đều, nụ cười có thể bị lệch, làm giảm sự tự tin khi giao tiếp.
Điều chỉnh khớp cắn bằng niềng răng hoặc phương pháp nha khoa phù hợp không chỉ giúp cải thiện chức năng răng miệng mà còn giúp gương mặt hài hòa hơn.
4. Đau Hàm, Đau Đầu Do Áp Lực Lên Khớp Thái Dương Hàm
Sai khớp cắn có thể gây áp lực không đều lên hệ thống cơ và khớp thái dương hàm, dẫn đến các triệu chứng như:
- Đau nhức cơ hàm: Cơ hàm phải làm việc nhiều hơn để cân bằng lực nhai, gây căng cơ và đau mỏi.
- Đau đầu mãn tính: Căng cơ vùng thái dương và hàm có thể gây đau đầu kéo dài, ảnh hưởng đến sinh hoạt hàng ngày.
- Căng thẳng khớp thái dương hàm: Sai khớp cắn có thể gây ra hội chứng rối loạn khớp thái dương hàm (TMJ), khiến hàm phát ra tiếng kêu khi nhai và gây đau khi mở miệng.
Nếu bạn thường xuyên bị đau hàm hoặc đau đầu không rõ nguyên nhân, có thể sai khớp cắn là một trong những nguyên nhân tiềm ẩn.
5. Có Thể Gây Mất Răng Sớm Nếu Không Điều Trị Kịp Thời
Lực nhai không đều do sai khớp cắn có thể khiến một số răng chịu áp lực lớn hơn mức bình thường, làm tăng nguy cơ:
- Mòn răng: Các răng bị mài mòn nhanh hơn, đặc biệt là răng cửa và răng hàm.
- Gãy hoặc nứt răng: Áp lực quá lớn có thể làm răng bị nứt, vỡ, cần phải trám hoặc bọc răng sứ.
- Mất răng sớm: Nếu sai khớp cắn gây viêm nha chu nặng, răng có thể bị lung lay và rụng trước tuổi.
Việc điều chỉnh khớp cắn kịp thời giúp bảo vệ răng khỏi những tổn thương không mong muốn, kéo dài tuổi thọ răng tự nhiên.

Sai khớp cắn không chỉ ảnh hưởng đến chức năng ăn nhai mà còn làm thay đổi cấu trúc khuôn mặt
Cách Chẩn Đoán Sai Khớp Cắn Tại Nha Khoa
Sai khớp cắn không chỉ ảnh hưởng đến chức năng ăn nhai mà còn có thể gây ra nhiều vấn đề sức khỏe răng miệng. Để xác định mức độ sai lệch và lựa chọn phương pháp điều trị phù hợp, việc chẩn đoán tại nha khoa đóng vai trò quan trọng. Dưới đây là các bước quan trọng trong quá trình chẩn đoán sai khớp cắn mà bác sĩ nha khoa thường thực hiện.
1. Khám Lâm Sàng Để Đánh Giá Tình Trạng Răng Và Khớp Cắn
Trong buổi thăm khám ban đầu, bác sĩ sẽ kiểm tra trực tiếp tình trạng răng miệng của bệnh nhân, bao gồm:
- Xác định xem hai hàm có khớp đúng vị trí hay không.
- Kiểm tra độ lệch của hàm trên và hàm dưới khi cắn lại.
- Đánh giá sự phát triển của xương hàm và khả năng nhai của bệnh nhân.
- Xác định các dấu hiệu như cắn hở, cắn chéo, cắn sâu, cắn ngược hoặc chen chúc răng.
Dựa trên kết quả khám lâm sàng, bác sĩ sẽ đưa ra các chỉ định tiếp theo để phân tích chính xác hơn về tình trạng sai khớp cắn.
2. Chụp X-Quang Để Xác Định Cấu Trúc Xương Hàm, Mức Độ Sai Lệch
Chụp X-quang là bước quan trọng giúp bác sĩ đánh giá chi tiết hơn về tình trạng xương hàm và vị trí răng. Một số loại X-quang thường được sử dụng trong chẩn đoán sai khớp cắn bao gồm:
- X-quang toàn cảnh (Panorama): Giúp bác sĩ nhìn thấy toàn bộ cấu trúc xương hàm, răng và khớp thái dương hàm.
- X-quang sọ nghiêng (Cephalometric): Đánh giá mối tương quan giữa hàm trên, hàm dưới và hộp sọ.
- X-quang cận chóp: Kiểm tra cụ thể từng chiếc răng để phát hiện lệch lạc hoặc tổn thương.
Những hình ảnh này giúp bác sĩ xác định nguyên nhân gây sai khớp cắn và lập kế hoạch điều trị chính xác hơn.
3. Sử Dụng Dấu Hàm Để Đo Lường Chính Xác Vị Trí Các Răng
Sau khi có kết quả X-quang, bác sĩ có thể thực hiện lấy dấu hàm để có cái nhìn trực quan hơn về vị trí của từng răng trên cung hàm. Dấu hàm được thực hiện bằng cách sử dụng vật liệu lấy dấu chuyên dụng để tạo mô hình 3D của hàm răng.
Việc lấy dấu hàm giúp:
- Đánh giá mức độ lệch lạc giữa hai hàm răng.
- Phát hiện các điểm tiếp xúc không cân đối giữa răng trên và răng dưới.
- Lập kế hoạch chỉnh nha hoặc điều trị khớp cắn một cách chính xác.
4. Phân Tích Hình Ảnh 3D Để Lên Kế Hoạch Điều Trị Tối Ưu
Với sự phát triển của công nghệ nha khoa, nhiều phòng khám hiện nay sử dụng công nghệ quét 3D thay vì lấy dấu hàm truyền thống. Hình ảnh 3D giúp bác sĩ quan sát chi tiết cấu trúc răng và xương hàm từ nhiều góc độ khác nhau.
Lợi ích của công nghệ này bao gồm:
- Xác định chính xác mức độ sai khớp cắn.
- Mô phỏng kết quả điều trị để bệnh nhân có thể hình dung trước.
- Lên kế hoạch niềng răng hoặc phẫu thuật chỉnh hàm phù hợp với từng trường hợp.
5. Đánh Giá Các Tác Động Lên Khớp Thái Dương Hàm
Sai khớp cắn không chỉ ảnh hưởng đến răng mà còn có thể tác động đến khớp thái dương hàm, gây ra các triệu chứng như:
- Đau hàm, đau đầu do áp lực không cân đối giữa hai hàm.
- Căng cơ hàm, khó mở miệng hoặc nghe tiếng kêu khi nhai.
- Rối loạn khớp thái dương hàm nếu sai khớp cắn nghiêm trọng.
Bác sĩ có thể thực hiện một số kiểm tra chức năng hàm để đánh giá xem bệnh nhân có bị ảnh hưởng đến khớp thái dương hàm hay không, từ đó đề xuất phương pháp điều trị thích hợp.

Sai khớp cắn không chỉ ảnh hưởng đến chức năng ăn nhai mà còn có thể gây ra nhiều vấn đề sức khỏe răng miệng
Các Phương Pháp Điều Trị Sai Khớp Cắn Hiệu Quả Hiện Nay
Sai khớp cắn không chỉ ảnh hưởng đến thẩm mỹ mà còn gây ra nhiều vấn đề về chức năng ăn nhai và sức khỏe răng miệng. Tùy vào mức độ lệch lạc của khớp cắn, bác sĩ sẽ chỉ định phương pháp điều trị phù hợp. Dưới đây là các phương pháp phổ biến giúp khắc phục tình trạng sai khớp cắn một cách hiệu quả.
1. Niềng Răng Chỉnh Nha – Giải Pháp Hiệu Quả Cho Hầu Hết Các Trường Hợp
Niềng răng là phương pháp phổ biến nhất để điều chỉnh sai khớp cắn từ nhẹ đến nặng. Phương pháp này sử dụng mắc cài hoặc khay trong suốt để dịch chuyển răng về vị trí đúng trên cung hàm.
Ưu điểm:
- Giải quyết triệt để tình trạng răng hô, móm, cắn chéo, cắn hở.
- Cải thiện thẩm mỹ khuôn mặt và giúp răng đều đẹp hơn.
- Hỗ trợ chức năng ăn nhai tốt hơn, giảm nguy cơ mòn răng và đau hàm.
Các loại niềng răng phổ biến:
- Niềng răng mắc cài kim loại: Hiệu quả cao, chi phí hợp lý.
- Niềng răng mắc cài sứ: Thẩm mỹ hơn, ít lộ mắc cài.
- Niềng răng trong suốt (Invisalign): Tiện lợi, tháo lắp dễ dàng nhưng chi phí cao.
2. Bọc Răng Sứ – Giải Pháp Nhanh Cho Sai Lệch Nhẹ
Bọc răng sứ là phương pháp phù hợp cho những trường hợp sai khớp cắn nhẹ như răng hơi lệch, thưa, mòn men hoặc không đều. Bác sĩ sẽ mài một phần nhỏ răng và gắn mão sứ để điều chỉnh hình dáng răng và khớp cắn.
Ưu điểm:
- Thời gian điều trị nhanh, chỉ mất từ 3-5 ngày.
- Cải thiện thẩm mỹ ngay lập tức, giúp răng trắng sáng, đều đẹp.
- Hỗ trợ bảo vệ răng thật khỏi các tác động bên ngoài.
Nhược điểm:
- Không phù hợp với sai khớp cắn nặng do không điều chỉnh được vị trí răng.
- Cần mài răng, có thể ảnh hưởng đến răng thật.
3. Phẫu Thuật Chỉnh Hàm – Giả Các trường hợp cần phẫu thuật chỉnh hàm:
- Hàm trên hoặc hàm dưới phát triển quá mức, gây lệch khớp cắn nghiêm trọng.
- Không thể khắc phục bằng niềng răng do nguyên nhân là xương chứ không phải răng.
- Ảnh hưởng lớn đến thẩm mỹ khuôn mặt và chức năng nhai.
Quy trình phẫu thuật:
- Chụp X-quang để đánh giá cấu trúc xương hàm.
- Bác sĩ lên kế hoạch phẫu thuật phù hợp.
- Tiến hành cắt chỉnh hàm dưới gây móm hoặc hàm trên gây hô.
- Kết hợp niềng răng sau phẫu thuật để đạt kết quả tối ưu.
Dùng Khí Cụ Chỉnh Nha Sớm Cho Trẻ Em – Ngăn Ngừa Sai Khớp Cắn Từ Nhỏ
Đối với trẻ em, việc sử dụng khí cụ chỉnh nha sớm có thể giúp ngăn ngừa hoặc điều chỉnh sai khớp cắn trước khi răng vĩnh viễn mọc đầy đủ.
Các loại khí cụ chỉnh nha cho trẻ:
- Hàm tháo lắp: Giúp nới rộng cung hàm, tạo khoảng trống cho răng mọc đúng vị trí.
- Hàm Trainer: Giúp sửa thói quen xấu như đẩy lưỡi, mút tay gây lệch khớp cắn.
- Hàm chức năng: Điều chỉnh sự phát triển của xương hàm khi trẻ còn nhỏ.
Lợi ích của chỉnh nha sớm:
- Hạn chế việc phải nhổ răng khi niềng răng sau này.
- Giúp trẻ có hàm răng đều đẹp, giảm nguy cơ sai khớp cắn nghiêm trọng.
- Hỗ trợ phát triển khuôn mặt cân đối hơn.
Tập Vật Lý Trị Liệu Hàm – Hỗ Trợ Cải Thiện Khớp Cắn
Vật lý trị liệu hàm thường được áp dụng kết hợp với niềng răng hoặc phẫu thuật chỉnh hàm để hỗ trợ điều chỉnh khớp cắn hiệu quả.
Các bài tập phổ biến:
- Bài tập mở miệng đúng cách: Giúp giảm áp lực lên khớp hàm.
- Xoa bóp cơ hàm: Giảm căng cơ, hỗ trợ điều chỉnh khớp cắn.
- Tập điều chỉnh vị trí lưỡi: Ngăn chặn thói quen đẩy lưỡi gây lệch răng.
Phương pháp này đặc biệt hữu ích cho những người bị sai khớp cắn kèm theo rối loạn khớp thái dương hàm.
Niềng Răng Chỉnh Nha – Giải Pháp Hiệu Quả Cho Sai Khớp Cắn
Sai khớp cắn không chỉ ảnh hưởng đến thẩm mỹ mà còn gây ra nhiều vấn đề liên quan đến chức năng ăn nhai, phát âm và sức khỏe răng miệng. Một trong những phương pháp hiệu quả nhất để điều chỉnh tình trạng này chính là niềng răng chỉnh nha. Vậy niềng răng có thể cải thiện sai khớp cắn như thế nào? Những loại niềng răng phổ biến hiện nay là gì? Cùng tìm hiểu chi tiết ngay sau đây.
Lợi Ích Của Niềng Răng Trong Việc Điều Chỉnh Khớp Cắn
Niềng răng sử dụng hệ thống mắc cài hoặc khay trong suốt để dịch chuyển răng về đúng vị trí trên cung hàm. Quá trình này giúp:
- Cải thiện khớp cắn, giúp hai hàm ăn khớp với nhau, giảm nguy cơ lệch hàm.
- Tăng cường chức năng ăn nhai, hạn chế tình trạng đau hàm, đau đầu do sai khớp cắn gây ra.
- Định hình lại khuôn mặt, giúp hàm cân đối, mang lại nụ cười đẹp và tự tin hơn.
- Hạn chế nguy cơ mòn răng do lực nhai không đều hoặc sai lệch.
Các Loại Niềng Răng Phổ Biến Hiện Nay
Hiện nay, có nhiều phương pháp niềng răng được áp dụng tùy theo tình trạng răng của từng người:
-
Niềng răng mắc cài kim loại
- Là phương pháp phổ biến, hiệu quả cao.
- Chi phí thấp hơn so với các loại niềng răng khác.
- Có thể gây mất thẩm mỹ do mắc cài lộ rõ.
-
Niềng răng mắc cài sứ
- Tương tự mắc cài kim loại nhưng có màu trong suốt, thẩm mỹ hơn.
- Ít lộ mắc cài nhưng chi phí cao hơn mắc cài kim loại.
- Độ bền kém hơn, dễ vỡ hơn so với mắc cài kim loại.
-
Niềng răng trong suốt Invisalign
- Dùng khay trong suốt, dễ tháo lắp, tiện lợi khi ăn uống và vệ sinh.
- Mang lại tính thẩm mỹ cao, khó nhận ra đang niềng răng.
- Chi phí cao và thời gian điều trị có thể kéo dài hơn.
Thời Gian Niềng Răng Phụ Thuộc Vào Mức Độ Sai Lệch Khớp Cắn
Thời gian niềng răng dao động từ 12 – 36 tháng, tùy theo mức độ sai lệch và phương pháp niềng răng được lựa chọn. Những trường hợp sai khớp cắn nhẹ có thể hoàn thành trong 12 – 18 tháng, nhưng nếu sai lệch nhiều hoặc cần kết hợp chỉnh nha và phẫu thuật, thời gian có thể kéo dài hơn.
Quy Trình Niềng Răng Tại Nha Khoa
Tại các nha khoa uy tín, quy trình niềng răng thường trải qua các bước sau:
- Bước 1: Khám tổng quát, chụp X-quang đánh giá mức độ sai khớp cắn.
- Bước 2: Lên phác đồ điều trị chi tiết, tư vấn loại niềng răng phù hợp.
- Bước 3: Gắn mắc cài hoặc thiết kế khay niềng trong suốt (đối với Invisalign).
- Bước 4: Theo dõi và điều chỉnh lực siết định kỳ để răng dịch chuyển đúng hướng.
- Bước 5: Tháo niềng và đeo hàm duy trì để ổn định kết quả sau niềng.
Lưu Ý Khi Niềng Răng Để Đạt Hiệu Quả Tốt Nhất
Để quá trình niềng răng diễn ra suôn sẻ và đạt kết quả tối ưu, bạn cần lưu ý:
- Vệ sinh răng miệng đúng cách bằng bàn chải chuyên dụng và chỉ nha khoa.
- Hạn chế đồ ăn cứng, dai, dính vì có thể làm bung mắc cài.
- Tái khám định kỳ theo hướng dẫn của bác sĩ để điều chỉnh lực siết kịp thời.
- Đeo hàm duy trì sau khi tháo niềng để tránh răng chạy lại.

Sai khớp cắn không chỉ ảnh hưởng đến thẩm mỹ mà còn gây ra nhiều vấn đề liên quan đến chức năng ăn nhai, phát âm và sức khỏe răng miệng
Phẫu Thuật Chỉnh Hàm Trong Trường Hợp Sai Khớp Cắn Nặng
Sai khớp cắn nặng không chỉ ảnh hưởng đến thẩm mỹ khuôn mặt mà còn gây ra nhiều vấn đề về chức năng ăn nhai, phát âm và sức khỏe răng miệng. Khi tình trạng lệch khớp cắn xuất phát từ xương hàm, phương pháp niềng răng đơn thuần thường không mang lại hiệu quả tối ưu. Lúc này, phẫu thuật chỉnh hàm sẽ là giải pháp cần thiết để giúp hàm cân đối, cải thiện chức năng nhai và nâng cao thẩm mỹ.
Khi Nào Cần Phẫu Thuật Chỉnh Hàm Thay Vì Niềng Răng?
Không phải tất cả các trường hợp sai khớp cắn đều cần phẫu thuật chỉnh hàm. Phương pháp này thường được chỉ định trong các tình huống sau: Xương hàm trên hoặc hàm dưới phát triển quá mức, gây hô hoặc móm nặng. Sai khớp cắn nghiêm trọng như cắn chéo, cắn hở hoặc lệch mặt do cấu trúc xương. Khó khăn trong việc nhai, nuốt thức ăn, dễ bị đau hàm, mỏi cơ mặt. Sai khớp cắn ảnh hưởng đến phát âm, khiến giọng nói bị méo hoặc nói ngọng. Xuất hiện tình trạng đau khớp thái dương hàm kéo dài. Nếu không chắc chắn tình trạng của mình có cần phẫu thuật chỉnh hàm hay không, bạn nên đến nha khoa để được thăm khám và tư vấn phương pháp điều trị phù hợp.
Quy Trình Phẫu Thuật Chỉnh Hàm Diễn Ra Như Thế Nào?
Phẫu thuật chỉnh hàm là một quy trình phức tạp, cần được thực hiện bởi các bác sĩ chuyên sâu về phẫu thuật hàm mặt. Dưới đây là các bước cơ bản trong quá trình điều trị:
Bước 1: Thăm khám và lập kế hoạch điều trị
Bác sĩ kiểm tra tình trạng xương hàm, khớp cắn và đánh giá mức độ sai lệch. Chụp X-quang, CT scan để phân tích cấu trúc hàm. Lập kế hoạch phẫu thuật kết hợp với niềng răng trước hoặc sau mổ (nếu cần).
Bước 2: Niềng răng trước phẫu thuật (nếu có chỉ định)
Một số trường hợp cần niềng răng trước từ 6 – 12 tháng để đưa răng về vị trí tối ưu trước khi phẫu thuật. Giai đoạn này giúp tạo khoảng trống cho việc điều chỉnh xương hàm chính xác hơn.
Bước 3: Tiến hành phẫu thuật chỉnh hàm
Bác sĩ sẽ cắt chỉnh xương hàm trên, hàm dưới hoặc cả hai để điều chỉnh khớp cắn. Xương hàm được cố định bằng nẹp vít titan để đảm bảo sự ổn định. Quá trình phẫu thuật thường kéo dài từ 2 – 4 giờ, tùy vào mức độ phức tạp.
Bước 4: Hậu phẫu và chăm sóc sau mổ
Bệnh nhân cần theo dõi tại bệnh viện 24 – 48 giờ trước khi xuất viện. Trong thời gian đầu, chỉ nên ăn thức ăn lỏng, mềm để tránh tác động lên xương hàm. Tái khám định kỳ để kiểm tra tình trạng hồi phục và điều chỉnh nếu cần thiết.
Thời Gian Phục Hồi Sau Phẫu Thuật Và Những Lưu Ý Quan Trọng
Sau phẫu thuật chỉnh hàm, bệnh nhân sẽ trải qua các giai đoạn hồi phục khác nhau. Tuần 1 – 2: Sưng nhiều, cần chườm lạnh và uống thuốc giảm đau theo chỉ định. Tuần 3 – 4: Sưng giảm dần, có thể ăn thực phẩm mềm nhưng tránh nhai mạnh. Tháng 2 – 3: Xương hàm dần ổn định, bắt đầu làm quen với hoạt động nhai bình thường. Sau 6 tháng – 1 năm: Nếu cần, bệnh nhân có thể tiếp tục niềng răng để tinh chỉnh khớp cắn.
Những điều cần lưu ý: Tuân thủ chế độ ăn uống phù hợp, tránh ăn thực phẩm quá cứng hoặc dai. Giữ vệ sinh răng miệng tốt để tránh nhiễm trùng vết mổ. Hạn chế hoạt động mạnh có thể ảnh hưởng đến vùng hàm. Tái khám định kỳ để theo dõi quá trình hồi phục.
Phối Hợp Niềng Răng Trước Và Sau Phẫu Thuật Để Tối Ưu Hiệu Quả
Hầu hết các trường hợp phẫu thuật chỉnh hàm đều cần kết hợp với niềng răng để đảm bảo kết quả tốt nhất. Niềng răng trước phẫu thuật giúp dịch chuyển răng về vị trí chuẩn bị, tạo điều kiện thuận lợi cho phẫu thuật. Niềng răng sau phẫu thuật giúp ổn định khớp cắn, đảm bảo răng và hàm khớp với nhau chính xác.
Phối hợp niềng răng và phẫu thuật mang lại nhiều lợi ích như rút ngắn thời gian điều trị tổng thể, đảm bảo sự ổn định lâu dài của xương hàm và khớp cắn, cải thiện cả chức năng ăn nhai và thẩm mỹ khuôn mặt.
Rủi Ro Và Biến Chứng Có Thể Gặp Khi Phẫu Thuật Chỉnh Hàm
Mặc dù là phương pháp mang lại hiệu quả cao, phẫu thuật chỉnh hàm cũng có thể gặp một số rủi ro, bao gồm:
Sưng tấy kéo dài, có thể mất từ 3 – 6 tháng để hoàn toàn hồi phục. Tê bì vùng hàm, môi, cằm do ảnh hưởng đến dây thần kinh. Chảy máu hoặc nhiễm trùng nếu không chăm sóc hậu phẫu đúng cách. Không đạt kết quả như mong muốn, có thể cần phẫu thuật lần hai để điều chỉnh thêm.
Cách giảm thiểu rủi ro: Lựa chọn bác sĩ và trung tâm nha khoa uy tín có chuyên môn cao về phẫu thuật chỉnh hàm. Thực hiện đầy đủ các xét nghiệm, kiểm tra trước khi quyết định phẫu thuật. Tuân thủ chế độ chăm sóc hậu phẫu và tái khám định kỳ để theo dõi tiến trình hồi phục.
Niềng răng là giải pháp phổ biến nhất để điều chỉnh khớp cắn
Dịch Vụ Điều Trị Sai Khớp Cắn Tại Nha Khoa Ngọc Tuấn – Thái Bình
Sai khớp cắn không chỉ ảnh hưởng đến thẩm mỹ mà còn gây ra nhiều vấn đề về chức năng nhai, phát âm và sức khỏe răng miệng. Hiểu được tầm quan trọng của việc điều chỉnh khớp cắn, Nha Khoa Ngọc Tuấn – Thái Bình cung cấp dịch vụ điều trị chuyên sâu, giúp khách hàng sở hữu hàm răng đều đẹp, ăn nhai tốt và khuôn mặt cân đối hơn.
Khám Và Tư Vấn Miễn Phí Cùng Bác Sĩ Chuyên Khoa Chỉnh Nha
Khi đến Nha Khoa Ngọc Tuấn, khách hàng sẽ được thăm khám miễn phí với bác sĩ chuyên khoa chỉnh nha. Bác sĩ sẽ đánh giá tình trạng răng miệng, mức độ sai khớp cắn và đưa ra phác đồ điều trị phù hợp. Chụp X-quang răng để phân tích cấu trúc xương hàm, xác định nguyên nhân gây lệch khớp cắn. Tư vấn các phương pháp điều trị hiệu quả như niềng răng, bọc sứ hoặc phẫu thuật chỉnh hàm tùy theo tình trạng cụ thể của khách hàng.
Ứng Dụng Công Nghệ Niềng Răng Tiên Tiến – Không Đau, Hiệu Quả Cao
Niềng răng là giải pháp phổ biến nhất để điều chỉnh khớp cắn. Nha Khoa Ngọc Tuấn sử dụng các phương pháp niềng răng hiện đại giúp khách hàng có trải nghiệm thoải mái trong suốt quá trình điều trị. Các loại niềng răng được áp dụng bao gồm:
- Niềng răng mắc cài kim loại: Phù hợp với nhiều trường hợp sai khớp cắn, chi phí hợp lý, hiệu quả cao.
- Niềng răng mắc cài sứ: Thẩm mỹ hơn so với mắc cài kim loại, ít lộ mắc cài khi giao tiếp.
- Niềng răng trong suốt Invisalign: Công nghệ tiên tiến, không cần dùng mắc cài, dễ tháo lắp và mang lại sự thoải mái tối đa.
Nha Khoa Ngọc Tuấn cam kết sử dụng khí cụ chỉnh nha chất lượng cao, đảm bảo an toàn và hiệu quả trong suốt quá trình điều trị.
Dịch Vụ Phẫu Thuật Chỉnh Hàm – An Toàn, Đạt Hiệu Quả Tối Ưu
Trong những trường hợp sai khớp cắn do xương hàm phát triển bất thường (hô, móm nặng), niềng răng không thể khắc phục hoàn toàn. Khi đó, bác sĩ sẽ chỉ định phẫu thuật chỉnh hàm để cân đối khuôn mặt và khớp cắn.
Quy trình phẫu thuật chỉnh hàm tại Nha Khoa Ngọc Tuấn được thực hiện bởi đội ngũ bác sĩ phẫu thuật chuyên sâu, giàu kinh nghiệm. Sử dụng công nghệ hiện đại để giảm thiểu đau đớn, rút ngắn thời gian hồi phục. Phẫu thuật kết hợp với niềng răng để đạt kết quả tối ưu, đảm bảo sự cân đối giữa răng và xương hàm.
Lộ Trình Điều Trị Rõ Ràng – Đảm Bảo Kết Quả Tối Ưu
Mỗi khách hàng sẽ có một lộ trình điều trị riêng biệt, phù hợp với tình trạng sai khớp cắn của mình. Nha Khoa Ngọc Tuấn cam kết đưa ra kế hoạch điều trị rõ ràng, giúp khách hàng yên tâm theo dõi tiến trình cải thiện từng giai đoạn.
- Đánh giá tình trạng ban đầu và lập kế hoạch điều trị.
- Thực hiện niềng răng hoặc phẫu thuật chỉnh hàm theo phác đồ đã tư vấn.
- Theo dõi định kỳ, điều chỉnh lực siết niềng răng để đạt kết quả tốt nhất.
- Duy trì kết quả sau điều trị bằng cách đeo hàm duy trì và chăm sóc răng miệng đúng cách.
Cam Kết Mang Lại Khớp Cắn Chuẩn, Hàm Răng Đều Đẹp
Với kinh nghiệm lâu năm trong lĩnh vực chỉnh nha và phẫu thuật hàm mặt, Nha Khoa Ngọc Tuấn cam kết mang đến kết quả tối ưu cho khách hàng. Giúp răng đều đẹp, khuôn mặt cân đối, cải thiện chức năng ăn nhai và phát âm. Hỗ trợ khách hàng trong suốt quá trình điều trị, từ tư vấn ban đầu đến theo dõi sau điều trị. Cung cấp chính sách trả góp linh hoạt, giúp khách hàng dễ dàng tiếp cận dịch vụ chất lượng cao.
Nếu bạn đang gặp tình trạng sai khớp cắn và muốn cải thiện nụ cười của mình, hãy liên hệ ngay với Nha Khoa Ngọc Tuấn để được tư vấn miễn phí và trải nghiệm dịch vụ điều trị chuyên sâu, an toàn và hiệu quả.
Địa chỉ: 662 Lý Bôn, TP. Thái Bình
Hotline: 093 352 83 38
Website: https://nhakhoangoctuan.vn


