Tóm tắt nội dung [Ẩn]
- Sâu Răng Là Gì? Tổng Quan Về Bệnh Lý Sâu Răng
- Nguyên Nhân Gây Sâu Răng
- Vi khuẩn Trong Khoang Miệng – Tác Nhân Chính Gây Sâu Răng
- Thực Phẩm Có Đường Và Tinh Bột – Nguyên Nhân Kích Thích Vi Khuẩn Gây Sâu Răng
- Vệ Sinh Răng Miệng Kém – Yếu Tố Làm Tăng Nguy Cơ Sâu Răng
- Thiếu Fluoride – Nguy Cơ Làm Giảm Khả Năng Chống Lại Sâu Răng
- Khô Miệng Và Thiếu Nước Bọt – Điều Kiện Lý Tưởng Cho Vi Khuẩn Phát Triển
- Chế độ ăn uống có ảnh hưởng rất lớn đến nguy cơ sâu răng
- Các Triệu Chứng Của Sâu Răng
- Sâu Răng Có Nguy Hiểm Không? Những Biến Chứng Cần Lưu Ý
- Cách Chẩn Đoán Sâu Răng Tại Nha Khoa
- Khám Lâm Sàng Với Bác Sĩ Nha Khoa
- Sử Dụng Đèn Soi Và Dụng Cụ Nha Khoa Để Kiểm Tra Men Răng
- Chụp X-Quang Để Phát Hiện Sâu Răng Ẩn Dưới Bề Mặt
- Đánh Giá Mức Độ Tổn Thương Của Răng Để Đưa Ra Phương Pháp Điều Trị Phù Hợp
- Sâu răng nếu không được điều trị có thể tạo điều kiện cho vi khuẩn lan rộng đến nướu và xương ổ răng, gây ra viêm lợi hoặc viêm nha chu
- Các Phương Pháp Điều Trị Sâu Răng Hiệu Quả
- Cách Phòng Ngừa Sâu Răng Hiệu Quả
- Đánh Răng Đúng Cách Với Kem Đánh Răng Chứa Fluoride
- Dùng Chỉ Nha Khoa Và Súc Miệng Hàng Ngày Để Loại Bỏ Mảng Bám
- Hạn Chế Đồ Ăn Ngọt, Nước Có Gas Và Thực Phẩm Có Tính Axit Cao
- Khám Nha Khoa Định Kỳ 6 Tháng/Lần Để Kiểm Tra Và Làm Sạch Răng
- Sử Dụng Sealant Nha Khoa (Chất Bảo Vệ Răng) Cho Trẻ Em Để Ngăn Ngừa Sâu Răng Sớm
- Việc duy trì thói quen đi khám nha khoa định kỳ không chỉ giúp răng miệng khỏe mạnh mà còn tiết kiệm chi phí điều trị so với khi bệnh đã tiến triển nghiêm trọng
- Những Quan Niệm Sai Lầm Về Sâu Răng
- Thực Phẩm Giúp Ngăn Ngừa Sâu Răng Tự Nhiên
- Thực Phẩm Giàu Canxi – Tăng Cường Men Răng, Giúp Răng Chắc Khỏe
- Trà Xanh Và Nước Lọc – Làm Sạch Khoang Miệng, Trung Hòa Axit
- Rau Củ Giòn – Giúp Làm Sạch Mảng Bám, Ngăn Ngừa Sâu Răng
- Các Thực Phẩm Khác Giúp Ngăn Ngừa Sâu Răng
- Chế độ ăn uống không chỉ ảnh hưởng đến sức khỏe tổng thể mà còn đóng vai trò quan trọng trong việc bảo vệ răng miệng
- Dịch Vụ Điều Trị Sâu Răng Tại Nha Khoa Ngọc Tuấn – Thái Bình
Sâu Răng Là Gì? Tổng Quan Về Bệnh Lý Sâu Răng
Sâu răng là một trong những bệnh lý răng miệng phổ biến nhất và có thể gặp ở mọi lứa tuổi. Đây là tình trạng men răng bị tổn thương do vi khuẩn trong khoang miệng, dẫn đến hình thành lỗ sâu trên bề mặt răng. Khi vi khuẩn phát triển mạnh, chúng sẽ tạo ra axit làm mất khoáng men răng và gây ra những tổn thương nghiêm trọng hơn nếu không được điều trị kịp thời.
Tình trạng sâu răng bắt đầu từ những đốm trắng nhỏ trên bề mặt răng, sau đó phát triển thành các lỗ sâu lớn hơn, gây đau nhức và nhạy cảm khi ăn uống. Nếu không kiểm soát sớm, vi khuẩn có thể xâm nhập vào tủy răng, gây viêm nhiễm và có nguy cơ mất răng vĩnh viễn. Sâu răng không chỉ ảnh hưởng đến thẩm mỹ mà còn gây ra nhiều vấn đề về sức khỏe răng miệng, ảnh hưởng đến chức năng ăn nhai và cả sức khỏe toàn thân.

Sâu răng là một trong những bệnh lý răng miệng phổ biến nhất và có thể gặp ở mọi lứa tuổi
Quá Trình Hình Thành Sâu Răng
Sâu răng không xảy ra ngay lập tức mà trải qua nhiều giai đoạn khác nhau. Ban đầu, vi khuẩn trong khoang miệng kết hợp với thức ăn thừa tạo thành mảng bám trên bề mặt răng. Khi ăn nhiều thực phẩm chứa đường hoặc tinh bột, vi khuẩn sẽ lên men và sản sinh ra axit, làm mòn men răng theo thời gian. Nếu không vệ sinh răng miệng đúng cách, axit này sẽ tiếp tục tấn công lớp men răng, tạo ra những lỗ nhỏ trên bề mặt.
Ở giai đoạn sớm, sâu răng chỉ gây mất khoáng nhẹ, có thể xuất hiện dưới dạng các đốm trắng. Tuy nhiên, khi men răng bị phá hủy nhiều hơn, lỗ sâu sẽ mở rộng và vi khuẩn có thể xâm nhập vào lớp ngà răng bên trong. Điều này dẫn đến cảm giác ê buốt khi ăn uống, đặc biệt là khi tiếp xúc với đồ ăn nóng, lạnh hoặc ngọt. Nếu tình trạng này không được kiểm soát, vi khuẩn sẽ tiếp tục tiến sâu vào tủy răng, gây viêm nhiễm, áp xe và có thể dẫn đến mất răng.
Sâu Răng Phổ Biến Ở Độ Tuổi Nào?
Sâu răng có thể xảy ra ở cả trẻ em và người lớn, nhưng mức độ ảnh hưởng và nguyên nhân có thể khác nhau. Trẻ em là đối tượng dễ bị sâu răng nhất do thường xuyên tiêu thụ đồ ngọt, nước ngọt có gas và chưa có thói quen vệ sinh răng miệng đúng cách. Răng sữa của trẻ có lớp men mỏng hơn so với răng vĩnh viễn, khiến chúng dễ bị tổn thương hơn. Nếu không được chăm sóc tốt, sâu răng có thể lan rộng và ảnh hưởng đến răng vĩnh viễn sau này.
Ở người lớn, sâu răng có thể phát triển do nhiều nguyên nhân khác nhau, bao gồm thói quen ăn uống, vệ sinh răng miệng kém hoặc do các bệnh lý như trào ngược dạ dày, gây bào mòn men răng. Người cao tuổi cũng có nguy cơ bị sâu răng cao hơn do tình trạng tụt nướu, làm lộ chân răng và tạo điều kiện thuận lợi cho vi khuẩn tấn công. Việc sử dụng thuốc điều trị bệnh mãn tính cũng có thể làm giảm tiết nước bọt, dẫn đến khô miệng và tăng nguy cơ sâu răng.
Theo thống kê của các tổ chức y tế, hơn 90% dân số thế giới đã từng bị sâu răng ít nhất một lần trong đời. Điều này cho thấy mức độ phổ biến và tầm quan trọng của việc phòng ngừa bệnh lý này ngay từ sớm.
Ảnh Hưởng Của Sâu Răng Đến Sức Khỏe Răng Miệng Và Cơ Thể
Sâu răng không chỉ gây đau nhức, khó chịu mà còn ảnh hưởng đến toàn bộ sức khỏe răng miệng. Khi bị sâu răng, việc ăn uống có thể trở nên khó khăn do cảm giác ê buốt và đau khi nhai. Điều này dẫn đến việc hạn chế các loại thực phẩm giàu dinh dưỡng, ảnh hưởng đến sức khỏe tổng thể. Nếu sâu răng lan rộng và không được điều trị kịp thời, nó có thể gây ra viêm tủy răng, áp xe và thậm chí làm mất răng vĩnh viễn.
Ngoài ra, sâu răng còn có thể gây ra hôi miệng kéo dài do vi khuẩn phân hủy thức ăn mắc kẹt trong lỗ sâu. Việc này không chỉ gây mất tự tin trong giao tiếp mà còn ảnh hưởng đến chất lượng cuộc sống. Ở những trường hợp nặng hơn, vi khuẩn từ sâu răng có thể xâm nhập vào máu, làm tăng nguy cơ nhiễm trùng toàn thân. Nhiều nghiên cứu cũng chỉ ra rằng những người mắc bệnh lý răng miệng như sâu răng hoặc viêm nha chu có nguy cơ cao mắc các bệnh tim mạch và tiểu đường.
Phụ nữ mang thai nếu bị sâu răng nặng có thể đối mặt với nguy cơ sinh non hoặc sinh con nhẹ cân. Do đó, việc chăm sóc sức khỏe răng miệng không chỉ quan trọng đối với cá nhân mà còn ảnh hưởng đến sức khỏe của thai nhi. Điều này cho thấy rằng một hàm răng khỏe mạnh không chỉ giúp ăn uống thoải mái mà còn giúp bảo vệ sức khỏe toàn thân.
Nguyên Nhân Gây Sâu Răng
Sâu răng là một bệnh lý răng miệng phổ biến, hình thành do sự tác động của nhiều yếu tố khác nhau. Mặc dù nguyên nhân trực tiếp gây sâu răng là vi khuẩn trong khoang miệng, nhưng các yếu tố như chế độ ăn uống, thói quen vệ sinh răng miệng và tình trạng sức khỏe răng miệng cũng đóng vai trò quan trọng trong quá trình hình thành và phát triển của bệnh. Việc hiểu rõ những nguyên nhân gây sâu răng sẽ giúp chúng ta có biện pháp phòng tránh và bảo vệ răng miệng tốt hơn.
Vi khuẩn Trong Khoang Miệng – Tác Nhân Chính Gây Sâu Răng
Trong khoang miệng của mỗi người luôn tồn tại hàng triệu vi khuẩn, bao gồm cả vi khuẩn có lợi và có hại. Một trong những loại vi khuẩn gây sâu răng phổ biến nhất là Streptococcus mutans. Đây là vi khuẩn có khả năng lên men đường và sản sinh ra axit, làm mất khoáng men răng. Khi vi khuẩn bám vào bề mặt răng, chúng sẽ hình thành mảng bám dày đặc, tạo điều kiện để axit ăn mòn men răng, gây ra các lỗ sâu nhỏ trên bề mặt.
Khi vi khuẩn phát triển mạnh mẽ, chúng không chỉ gây tổn thương men răng mà còn có thể lan xuống lớp ngà răng và tủy răng. Nếu không có biện pháp ngăn chặn kịp thời, vi khuẩn sẽ tiếp tục phá hủy cấu trúc răng, gây viêm nhiễm và làm tăng nguy cơ mất răng vĩnh viễn.
Thực Phẩm Có Đường Và Tinh Bột – Nguyên Nhân Kích Thích Vi Khuẩn Gây Sâu Răng
Chế độ ăn uống có ảnh hưởng rất lớn đến nguy cơ sâu răng. Đường và tinh bột là hai thành phần chính trong thực phẩm mà vi khuẩn gây sâu răng rất ưa thích. Khi ăn những thực phẩm chứa đường như bánh kẹo, nước ngọt, nước có gas hoặc những loại thực phẩm chứa tinh bột như cơm, bánh mì, khoai tây chiên, vi khuẩn trong khoang miệng sẽ nhanh chóng lên men đường và tạo ra axit.
Axit này sẽ làm mòn men răng, khiến răng dễ bị tổn thương hơn. Nếu lượng đường và tinh bột tiêu thụ hàng ngày quá cao mà không có biện pháp vệ sinh răng miệng hợp lý, quá trình này sẽ diễn ra liên tục và làm tăng tốc độ hình thành sâu răng. Điều này giải thích vì sao những người có thói quen ăn vặt thường xuyên hoặc uống nước ngọt có gas có nguy cơ sâu răng cao hơn so với những người khác.
Vệ Sinh Răng Miệng Kém – Yếu Tố Làm Tăng Nguy Cơ Sâu Răng
Việc vệ sinh răng miệng không đúng cách hoặc không đầy đủ là một trong những nguyên nhân phổ biến khiến vi khuẩn có cơ hội phát triển mạnh và gây sâu răng. Nếu không đánh răng thường xuyên, mảng bám sẽ tích tụ trên bề mặt răng và tạo ra môi trường lý tưởng cho vi khuẩn sinh sôi.
Ngoài ra, nếu không sử dụng chỉ nha khoa hoặc không súc miệng sau khi ăn, thức ăn thừa có thể bị mắc kẹt trong các kẽ răng, tạo điều kiện cho vi khuẩn tấn công men răng. Đánh răng quá nhanh, sử dụng bàn chải có lông cứng hoặc chải răng không đúng cách cũng có thể làm tổn thương men răng, tạo ra các vết nứt nhỏ trên răng, khiến vi khuẩn dễ dàng xâm nhập hơn.
Thiếu Fluoride – Nguy Cơ Làm Giảm Khả Năng Chống Lại Sâu Răng
Fluoride là một khoáng chất tự nhiên có vai trò quan trọng trong việc bảo vệ men răng và giúp răng chống lại axit từ vi khuẩn. Fluoride giúp tái khoáng men răng, làm cho răng chắc khỏe hơn và ít bị tổn thương trước tác động của vi khuẩn gây sâu răng.
Tuy nhiên, nếu cơ thể không được cung cấp đủ fluoride, răng sẽ dễ bị mòn men và trở nên nhạy cảm hơn trước các tác động của axit. Thiếu fluoride thường xảy ra ở những người không sử dụng kem đánh răng chứa fluoride, không uống nước có fluoride hoặc không được bôi fluoride định kỳ tại nha khoa.
Khô Miệng Và Thiếu Nước Bọt – Điều Kiện Lý Tưởng Cho Vi Khuẩn Phát Triển
Nước bọt đóng vai trò rất quan trọng trong việc bảo vệ răng miệng khỏi vi khuẩn gây sâu răng. Nó giúp trung hòa axit trong miệng, rửa trôi vi khuẩn và thức ăn thừa, đồng thời cung cấp các khoáng chất giúp tái tạo men răng.
Khi miệng bị khô do thiếu nước bọt, vi khuẩn có điều kiện thuận lợi để phát triển mạnh hơn. Khô miệng có thể xảy ra do nhiều nguyên nhân khác nhau, bao gồm tác dụng phụ của một số loại thuốc, bệnh lý tuyến nước bọt hoặc do thói quen thở bằng miệng. Những người thường xuyên bị khô miệng có nguy cơ sâu răng cao hơn và cần có biện pháp phòng ngừa, chẳng hạn như uống đủ nước, nhai kẹo cao su không đường để kích thích tiết nước bọt hoặc sử dụng nước súc miệng giúp giữ ẩm khoang miệng.

Chế độ ăn uống có ảnh hưởng rất lớn đến nguy cơ sâu răng
Các Triệu Chứng Của Sâu Răng
Sâu răng là một trong những bệnh lý răng miệng phổ biến nhưng thường không có triệu chứng rõ ràng ở giai đoạn đầu. Nhiều người chỉ phát hiện khi răng đã bị tổn thương nghiêm trọng, gây đau nhức hoặc ảnh hưởng đến chức năng ăn nhai. Việc nhận biết các dấu hiệu sớm của sâu răng là rất quan trọng để có thể điều trị kịp thời, tránh biến chứng nguy hiểm như viêm tủy, áp xe răng hoặc mất răng vĩnh viễn.
Xuất Hiện Đốm Trắng Hoặc Nâu Trên Bề Mặt Răng
Dấu hiệu đầu tiên của sâu răng thường là những đốm trắng nhỏ xuất hiện trên bề mặt răng, đặc biệt là ở các kẽ răng hoặc mặt nhai – nơi dễ tích tụ mảng bám. Đây là giai đoạn mất khoáng của men răng do vi khuẩn tạo axit làm bào mòn lớp bảo vệ bên ngoài. Nếu không có biện pháp điều trị hoặc tái khoáng bằng fluoride, những đốm trắng này có thể chuyển thành màu vàng hoặc nâu, báo hiệu rằng sâu răng đang tiến triển.
Ở giai đoạn này, người bệnh thường chưa có cảm giác đau hoặc khó chịu, nhưng nếu quan sát kỹ, có thể thấy sự thay đổi màu sắc trên bề mặt răng. Đây là thời điểm lý tưởng để can thiệp bằng các phương pháp phòng ngừa như sử dụng kem đánh răng chứa fluoride, giảm tiêu thụ thực phẩm có đường và đến nha khoa để kiểm tra.
Đau Răng Nhẹ Đến Dữ Dội Khi Ăn Đồ Ngọt, Nóng Hoặc Lạnh
Một trong những triệu chứng phổ biến nhất của sâu răng là cảm giác đau nhức, đặc biệt khi ăn hoặc uống những thực phẩm có nhiệt độ hoặc độ ngọt cao. Ban đầu, cơn đau có thể chỉ thoáng qua, xuất hiện khi ăn đồ nóng, lạnh hoặc ngọt nhưng sau đó biến mất nhanh chóng. Tuy nhiên, khi sâu răng tiến triển sâu hơn vào lớp ngà, mức độ đau sẽ tăng lên, kéo dài lâu hơn và xuất hiện ngay cả khi không có tác động kích thích.
Khi lỗ sâu đã lan đến tủy răng, người bệnh có thể cảm thấy cơn đau dữ dội, đặc biệt vào ban đêm hoặc khi nhai thức ăn. Đau răng do sâu răng thường có tính chất dai dẳng và có thể ảnh hưởng đến sinh hoạt hàng ngày, gây mất ngủ hoặc giảm khả năng tập trung. Nếu răng bị đau nhức liên tục, đặc biệt là khi không có kích thích từ thực phẩm, đây có thể là dấu hiệu viêm tủy – một tình trạng nguy hiểm cần được điều trị ngay lập tức.
Hôi Miệng Dai Dẳng Do Vi Khuẩn Phát Triển Trong Lỗ Sâu
Hôi miệng là một triệu chứng thường gặp ở những người bị sâu răng, đặc biệt là khi lỗ sâu đã lan rộng. Khi vi khuẩn phát triển mạnh trong các lỗ sâu, chúng sẽ phân hủy thức ăn mắc kẹt và tạo ra hợp chất lưu huỳnh có mùi khó chịu. Điều này khiến hơi thở có mùi hôi dai dẳng, ngay cả khi đã vệ sinh răng miệng thường xuyên.
Ngoài ra, lỗ sâu có thể trở thành nơi tích tụ thức ăn và vi khuẩn, khiến tình trạng hôi miệng ngày càng nghiêm trọng hơn. Nếu không được điều trị, vi khuẩn có thể tiếp tục phát triển và lan sang các vùng khác trong khoang miệng, làm tăng nguy cơ viêm nướu và viêm nha chu. Khi nhận thấy hơi thở có mùi hôi kéo dài dù đã vệ sinh răng miệng đúng cách, người bệnh nên đến nha khoa kiểm tra để xác định nguyên nhân và có hướng điều trị phù hợp.
Răng Nhạy Cảm Khi Tiếp Xúc Với Thực Phẩm Hoặc Đồ Uống Có Nhiệt Độ Khác Nhau
Nhạy cảm răng là một trong những triệu chứng đặc trưng của sâu răng, đặc biệt là khi lỗ sâu đã ảnh hưởng đến lớp ngà răng bên dưới men răng. Ngà răng chứa nhiều ống dẫn nhỏ liên kết trực tiếp với tủy răng, khi bị lộ ra, chúng sẽ phản ứng mạnh mẽ với các kích thích từ môi trường bên ngoài như nhiệt độ, độ chua hoặc độ ngọt của thực phẩm.
Người bị sâu răng thường cảm thấy ê buốt hoặc đau nhói khi ăn uống, đặc biệt là khi tiếp xúc với đồ nóng, lạnh hoặc có tính axit như cam, chanh. Cảm giác này có thể thoáng qua hoặc kéo dài tùy vào mức độ tổn thương của răng. Nếu tình trạng răng nhạy cảm không được kiểm soát, nó có thể dẫn đến viêm tủy hoặc mất răng vĩnh viễn trong trường hợp nghiêm trọng.
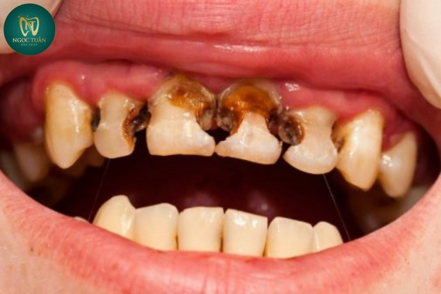
Lỗ Sâu Rõ Ràng Trên Răng Nếu Tình Trạng Nặng
Ở giai đoạn muộn của sâu răng, bề mặt răng có thể xuất hiện những lỗ sâu rõ ràng, dễ dàng nhìn thấy bằng mắt thường hoặc cảm nhận bằng lưỡi. Những lỗ sâu này có thể có màu nâu, đen hoặc thậm chí gây sứt mẻ răng nếu răng bị phá hủy quá nhiều. Khi lỗ sâu đã lớn, vi khuẩn sẽ tiếp tục xâm nhập vào lớp ngà và tủy răng, làm tăng nguy cơ viêm nhiễm và áp xe răng.
Trong trường hợp này, người bệnh thường cảm thấy đau nhức nghiêm trọng, đặc biệt là khi nhai thức ăn hoặc khi thức ăn mắc kẹt trong lỗ sâu. Việc tự vệ sinh tại nhà bằng bàn chải hoặc chỉ nha khoa có thể không còn hiệu quả, vì vi khuẩn đã ăn sâu vào cấu trúc răng. Lúc này, cần đến nha khoa để được kiểm tra và điều trị kịp thời bằng các phương pháp như trám răng, điều trị tủy hoặc bọc răng sứ nếu cần thiết.
Sâu Răng Có Nguy Hiểm Không? Những Biến Chứng Cần Lưu Ý
Sâu răng là một bệnh lý răng miệng phổ biến, nhưng nhiều người chủ quan và không điều trị kịp thời. Thực tế, nếu không được kiểm soát, sâu răng có thể gây ra những biến chứng nghiêm trọng, ảnh hưởng đến sức khỏe răng miệng và toàn thân. Sâu răng không chỉ dừng lại ở việc gây đau nhức mà còn có thể dẫn đến viêm nhiễm, mất răng, rối loạn chức năng ăn nhai và làm tăng nguy cơ mắc các bệnh lý khác.
Viêm Tủy Răng – Nguyên Nhân Gây Đau Nhức Dữ Dội
Khi sâu răng tiến triển, vi khuẩn có thể xâm nhập vào lớp ngà răng và lan xuống tủy răng – nơi chứa các dây thần kinh và mạch máu. Đây là giai đoạn sâu răng nghiêm trọng nhất, gây ra đau nhức dữ dội, dai dẳng và có thể lan lên đầu hoặc tai.
Viêm tủy răng có thể diễn ra theo hai giai đoạn chính:
- Viêm tủy có hồi phục: Răng chỉ đau thoáng qua khi tiếp xúc với đồ nóng, lạnh hoặc ngọt, nhưng cơn đau biến mất nhanh. Ở giai đoạn này, việc điều trị kịp thời có thể giúp bảo tồn tủy răng.
- Viêm tủy không hồi phục: Cơn đau trở nên liên tục, dữ dội và kéo dài ngay cả khi không có kích thích từ bên ngoài. Nếu không được chữa trị, vi khuẩn sẽ tiếp tục phá hủy mô tủy, dẫn đến hoại tử tủy và gây ra những biến chứng nguy hiểm hơn.
Áp Xe Răng – Nhiễm Trùng Nguy Hiểm Trong Khoang Miệng
Khi vi khuẩn từ sâu răng lan rộng, cơ thể sẽ phản ứng bằng cách tạo ra một túi mủ xung quanh vùng nhiễm trùng, được gọi là áp xe răng. Đây là một tình trạng nhiễm trùng nghiêm trọng có thể gây sưng đau nướu, sốt cao, hôi miệng nặng và mủ chảy ra từ nướu răng.
Áp xe răng không chỉ ảnh hưởng đến vùng răng bị sâu mà còn có thể lan sang các mô mềm xung quanh, thậm chí ảnh hưởng đến xương hàm. Nếu không được điều trị kịp thời, vi khuẩn từ ổ áp xe có thể đi vào máu, dẫn đến nhiễm trùng huyết – một biến chứng nguy hiểm đe dọa tính mạng.
Mất Răng Vĩnh Viễn Nếu Không Điều Trị Kịp Thời
Khi sâu răng phá hủy toàn bộ cấu trúc của răng, răng có thể bị vỡ lớn hoặc lung lay, không thể giữ lại được nữa. Trong những trường hợp này, bác sĩ có thể phải chỉ định nhổ răng để ngăn ngừa viêm nhiễm lan rộng.
Mất răng không chỉ ảnh hưởng đến thẩm mỹ mà còn làm suy giảm chức năng ăn nhai. Khi một chiếc răng bị mất, răng đối diện và các răng bên cạnh có thể dịch chuyển vào khoảng trống, gây sai lệch khớp cắn. Nếu không có biện pháp phục hình răng (như trồng răng implant hoặc làm cầu răng sứ), lâu dài có thể dẫn đến tiêu xương hàm, biến dạng khuôn mặt và làm suy yếu toàn bộ hệ thống răng miệng.
Ảnh Hưởng Đến Chức Năng Ăn Nhai Và Tiêu Hóa
Sâu răng có thể khiến người bệnh gặp khó khăn trong việc nhai và nghiền nát thức ăn. Khi răng bị tổn thương, việc ăn uống trở nên đau đớn và khó chịu, dẫn đến việc lựa chọn thức ăn mềm, dễ nhai và tránh các thực phẩm giàu chất xơ hoặc protein.
Việc ăn nhai không kỹ có thể ảnh hưởng đến quá trình tiêu hóa, làm tăng nguy cơ mắc các bệnh lý như đầy hơi, khó tiêu và rối loạn tiêu hóa. Đặc biệt, ở trẻ em, sâu răng có thể làm giảm khả năng hấp thu dinh dưỡng, ảnh hưởng đến sự phát triển thể chất và trí tuệ.
Tăng Nguy Cơ Viêm Nha Chu, Viêm Lợi Nếu Vi Khuẩn Lây Lan
Sâu răng nếu không được điều trị có thể tạo điều kiện cho vi khuẩn lan rộng đến nướu và xương ổ răng, gây ra viêm lợi hoặc viêm nha chu. Viêm lợi là giai đoạn nhẹ hơn, biểu hiện bằng tình trạng nướu sưng đỏ, dễ chảy máu khi đánh răng. Nếu không kiểm soát, viêm lợi có thể tiến triển thành viêm nha chu – một bệnh lý nghiêm trọng làm tiêu xương ổ răng, khiến răng lung lay và có nguy cơ rụng răng hàng loạt.
Viêm nha chu không chỉ ảnh hưởng đến răng miệng mà còn có liên quan đến các bệnh lý toàn thân. Nhiều nghiên cứu chỉ ra rằng vi khuẩn gây viêm nha chu có thể đi vào máu và làm tăng nguy cơ mắc các bệnh tim mạch, tiểu đường và đột quỵ.
Cách Chẩn Đoán Sâu Răng Tại Nha Khoa
Chẩn đoán sâu răng chính xác là bước quan trọng để xác định tình trạng tổn thương của răng và đưa ra phương pháp điều trị phù hợp. Nhiều trường hợp sâu răng giai đoạn đầu không gây đau nhức hay có dấu hiệu rõ ràng, khiến người bệnh chủ quan và chỉ phát hiện khi bệnh đã tiến triển nặng. Việc thăm khám nha khoa định kỳ giúp phát hiện sớm sâu răng, từ đó ngăn ngừa những biến chứng nguy hiểm như viêm tủy, áp xe răng hay mất răng vĩnh viễn.
Khám Lâm Sàng Với Bác Sĩ Nha Khoa
Khám lâm sàng là bước đầu tiên trong quá trình chẩn đoán sâu răng. Bác sĩ sẽ trao đổi với bệnh nhân về triệu chứng gặp phải, thói quen ăn uống, cách vệ sinh răng miệng hàng ngày và tiền sử bệnh lý răng miệng. Những câu hỏi thường gặp trong quá trình này có thể bao gồm:
- Bạn có cảm thấy ê buốt hoặc đau răng khi ăn đồ nóng, lạnh hoặc ngọt không?
- Bạn có bị hôi miệng kéo dài không?
- Có nhận thấy lỗ sâu hoặc răng đổi màu bất thường không?
- Lần gần nhất bạn đi khám răng là khi nào?
Sau khi nắm được tình trạng tổng quan, bác sĩ sẽ tiến hành kiểm tra trực tiếp để xác định mức độ tổn thương của răng.
Sử Dụng Đèn Soi Và Dụng Cụ Nha Khoa Để Kiểm Tra Men Răng
Bác sĩ sẽ sử dụng gương nha khoa, que thăm dò và đèn soi chuyên dụng để kiểm tra bề mặt răng. Khi chiếu đèn, những vùng men răng bị mất khoáng hoặc có lỗ sâu sẽ phản chiếu ánh sáng khác biệt so với men răng bình thường.
Dụng cụ thăm dò sẽ được dùng để kiểm tra độ cứng của răng. Nếu bề mặt răng mềm hoặc có dấu hiệu bị bào mòn khi ấn nhẹ, đó có thể là dấu hiệu sâu răng. Đồng thời, bác sĩ cũng kiểm tra các kẽ răng và khu vực tiếp giáp giữa răng và nướu – những nơi vi khuẩn dễ tích tụ và gây sâu răng nhất.
Một số trường hợp sâu răng sớm không thể phát hiện bằng mắt thường hoặc dụng cụ thăm dò, đặc biệt là khi lỗ sâu nằm ở mặt trong của răng hoặc dưới lớp men răng. Khi đó, chụp X-quang sẽ được chỉ định để có kết quả chính xác hơn.
Chụp X-Quang Để Phát Hiện Sâu Răng Ẩn Dưới Bề Mặt
X-quang nha khoa là phương pháp giúp phát hiện sâu răng ngay cả khi nó chưa biểu hiện rõ ràng ra bên ngoài. Đây là kỹ thuật quan trọng giúp bác sĩ đánh giá mức độ tổn thương của răng và phát hiện sâu răng ở những vị trí khó quan sát như:
- Sâu răng giữa các kẽ răng.
- Sâu răng dưới miếng trám cũ.
- Sâu răng nằm bên dưới men răng mà mắt thường không thấy được.
- Mức độ viêm nhiễm và ảnh hưởng đến tủy răng.
Có nhiều loại X-quang nha khoa khác nhau, tùy vào mục đích chẩn đoán:
- X-quang cận chóp: Chụp chi tiết một hoặc vài chiếc răng để kiểm tra tổn thương men răng, tủy răng và xương quanh răng.
- X-quang cánh cắn: Thường được sử dụng để phát hiện sâu răng giữa các kẽ răng.
- X-quang toàn cảnh (Panorama): Chụp toàn bộ hàm răng, giúp bác sĩ có cái nhìn tổng thể về cấu trúc răng, xương hàm và vị trí của các răng ngầm.
Việc chụp X-quang giúp bác sĩ xác định chính xác mức độ sâu răng, từ đó lên kế hoạch điều trị phù hợp.
Đánh Giá Mức Độ Tổn Thương Của Răng Để Đưa Ra Phương Pháp Điều Trị Phù Hợp
Sau khi có kết quả kiểm tra lâm sàng và hình ảnh X-quang, bác sĩ sẽ đánh giá tình trạng răng và đưa ra phương án điều trị phù hợp với từng mức độ sâu răng:
- Giai đoạn sớm (mất khoáng men răng): Chưa có lỗ sâu, chỉ xuất hiện các đốm trắng trên răng. Lúc này, có thể phục hồi bằng cách bôi fluoride hoặc sử dụng kem đánh răng chứa fluoride để tái khoáng men răng.
- Sâu răng mức độ nhẹ: Hình thành lỗ sâu nhỏ trên bề mặt răng nhưng chưa lan đến ngà răng. Giải pháp phổ biến là trám răng bằng vật liệu composite hoặc amalgam để ngăn sâu răng tiếp tục phát triển.
- Sâu răng mức độ trung bình: Vi khuẩn đã xâm nhập vào ngà răng, gây đau nhẹ hoặc ê buốt khi ăn uống. Phương án điều trị thường là trám răng hoặc bọc răng sứ để bảo vệ răng tốt hơn.
- Sâu răng nặng (viêm tủy, áp xe răng): Vi khuẩn đã lan đến tủy răng, gây đau nhức dữ dội. Bác sĩ có thể phải điều trị tủy răng (lấy tủy) và bọc răng sứ để bảo tồn răng. Nếu răng bị hư tổn quá nặng, không thể giữ lại, có thể cần nhổ răng và trồng răng implant hoặc làm cầu răng.
Chẩn đoán chính xác giúp bác sĩ đưa ra phương pháp điều trị hiệu quả nhất, giúp bảo vệ răng và ngăn ngừa những biến chứng nguy hiểm.

Sâu răng nếu không được điều trị có thể tạo điều kiện cho vi khuẩn lan rộng đến nướu và xương ổ răng, gây ra viêm lợi hoặc viêm nha chu
Các Phương Pháp Điều Trị Sâu Răng Hiệu Quả
Sâu răng là một bệnh lý phổ biến nhưng có thể được điều trị hiệu quả bằng nhiều phương pháp khác nhau, tùy thuộc vào mức độ tổn thương của răng. Khi sâu răng mới hình thành, có thể điều trị bằng các biện pháp tái khoáng để phục hồi men răng. Tuy nhiên, nếu lỗ sâu đã lan rộng, việc trám răng, điều trị tủy hay thậm chí nhổ răng có thể là cần thiết. Việc lựa chọn phương pháp điều trị phù hợp không chỉ giúp loại bỏ vi khuẩn gây sâu răng mà còn bảo vệ răng lâu dài, duy trì chức năng ăn nhai và tính thẩm mỹ.
Sử Dụng Fluoride Cho Giai Đoạn Sâu Răng Sớm
Fluoride là một khoáng chất quan trọng giúp răng chắc khỏe và có khả năng phục hồi các tổn thương nhỏ trên men răng. Khi sâu răng mới bắt đầu, men răng chỉ bị mất khoáng nhưng chưa hình thành lỗ sâu, việc bôi fluoride có thể giúp tái khoáng men răng, ngăn chặn sự phát triển của vi khuẩn và giúp răng tự phục hồi.
Phương pháp này thường được áp dụng cho trẻ em và người lớn có dấu hiệu sâu răng nhẹ. Bác sĩ có thể sử dụng fluoride dưới dạng gel, kem đánh răng, nước súc miệng hoặc bôi trực tiếp fluoride nồng độ cao lên bề mặt răng để thúc đẩy quá trình tái khoáng. Tuy nhiên, nếu lỗ sâu đã hình thành, fluoride sẽ không thể chữa khỏi và cần các biện pháp khác như trám răng hoặc bọc răng sứ.
Trám Răng Thẩm Mỹ Để Lấp Đầy Lỗ Sâu Nhỏ
Trám răng là phương pháp phổ biến nhất để điều trị sâu răng ở mức độ nhẹ đến trung bình. Khi lỗ sâu mới hình thành nhưng chưa lan vào tủy răng, bác sĩ sẽ loại bỏ phần mô răng bị sâu, sau đó sử dụng vật liệu trám để lấp đầy lỗ hổng, giúp răng phục hồi hình dạng và chức năng.
Có nhiều loại vật liệu trám răng khác nhau, bao gồm:
- Trám răng composite (màu trắng tự nhiên): Thẩm mỹ cao, phù hợp với răng cửa hoặc răng dễ thấy.
- Trám răng amalgam (màu bạc): Độ bền cao, thường được dùng cho răng hàm nhưng không có tính thẩm mỹ tốt.
- Trám răng bằng sứ hoặc vàng: Bền hơn composite nhưng chi phí cao hơn.
Trám răng không chỉ giúp ngăn chặn sâu răng phát triển mà còn bảo vệ răng khỏi các tác nhân gây hại như vi khuẩn và axit trong thức ăn. Tuy nhiên, nếu răng bị sâu quá lớn, phương pháp này có thể không hiệu quả và cần điều trị bằng các biện pháp khác như bọc răng sứ hoặc điều trị tủy.
Điều Trị Tủy Răng Nếu Sâu Răng Đã Ăn Vào Tủy
Khi vi khuẩn sâu răng xâm nhập vào tủy răng – nơi chứa dây thần kinh và mạch máu, răng sẽ bị viêm tủy, gây đau nhức dữ dội. Nếu không điều trị kịp thời, viêm tủy có thể dẫn đến áp xe răng và làm mất răng vĩnh viễn.
Điều trị tủy (lấy tủy răng) là phương pháp loại bỏ phần tủy răng bị viêm nhiễm, làm sạch ống tủy và hàn kín lại để ngăn ngừa vi khuẩn tiếp tục phát triển. Sau khi lấy tủy, răng sẽ trở nên yếu hơn do không còn được nuôi dưỡng bởi hệ thống mạch máu trong tủy, vì vậy bác sĩ thường khuyến nghị bọc răng sứ để bảo vệ răng khỏi các tác động bên ngoài.
Bọc Răng Sứ Hoặc Mão Răng Để Bảo Vệ Răng Hư Tổn Nặng
Nếu sâu răng đã phá hủy một phần lớn cấu trúc răng nhưng chưa đến mức phải nhổ, bọc răng sứ là giải pháp hiệu quả giúp bảo tồn răng thật. Bọc răng sứ là quá trình sử dụng một mão răng giả bằng sứ hoặc kim loại để chụp lên toàn bộ phần răng bị tổn thương, giúp răng chắc chắn hơn, khôi phục chức năng ăn nhai và đảm bảo tính thẩm mỹ.
Phương pháp này thường được áp dụng sau khi điều trị tủy hoặc khi răng bị mẻ, nứt do sâu răng lâu ngày. Có nhiều loại răng sứ khác nhau như răng sứ kim loại, răng toàn sứ hoặc răng sứ zirconia – mỗi loại có ưu điểm riêng về độ bền, thẩm mỹ và chi phí.
Nhổ Răng Trong Trường Hợp Sâu Răng Quá Nghiêm Trọng
Nhổ răng là phương án cuối cùng khi răng bị sâu quá nghiêm trọng, không thể bảo tồn được nữa. Nếu răng bị vỡ lớn, nhiễm trùng lan rộng hoặc lung lay do viêm nha chu, bác sĩ có thể chỉ định nhổ răng để tránh ảnh hưởng đến các răng lân cận.
Sau khi nhổ răng, bệnh nhân có thể lựa chọn các phương pháp phục hình răng để tránh tiêu xương hàm và đảm bảo khả năng ăn nhai, bao gồm:
- Cấy ghép implant: Phương pháp hiện đại nhất, giúp thay thế răng đã mất bằng trụ titanium và mão sứ, đảm bảo chức năng ăn nhai như răng thật.
- Cầu răng sứ: Sử dụng hai răng bên cạnh làm trụ để nâng đỡ mão răng giả, phù hợp với những trường hợp mất 1 – 2 răng liên tiếp.
- Hàm giả tháo lắp: Giải pháp tiết kiệm chi phí nhưng không đảm bảo độ bền và chức năng ăn nhai tốt như hai phương pháp trên.
Việc nhổ răng không chỉ ảnh hưởng đến thẩm mỹ mà còn tác động đến cấu trúc xương hàm và các răng xung quanh, vì vậy chỉ nên thực hiện khi không còn lựa chọn nào khác.
Cách Phòng Ngừa Sâu Răng Hiệu Quả
Sâu răng là bệnh lý răng miệng phổ biến nhưng hoàn toàn có thể phòng ngừa nếu có biện pháp chăm sóc răng miệng đúng cách. Một chế độ vệ sinh răng miệng khoa học kết hợp với thói quen ăn uống lành mạnh và khám nha khoa định kỳ sẽ giúp bảo vệ răng trước sự tấn công của vi khuẩn. Nếu thực hiện tốt các biện pháp phòng ngừa, bạn không chỉ duy trì được hàm răng khỏe mạnh mà còn giảm nguy cơ mắc các bệnh lý răng miệng khác như viêm nướu, viêm nha chu hay hôi miệng.
Đánh Răng Đúng Cách Với Kem Đánh Răng Chứa Fluoride
Chải răng đúng cách là bước quan trọng nhất trong việc ngăn ngừa sâu răng. Nhiều người có thói quen đánh răng nhưng không thực hiện đúng kỹ thuật, khiến vi khuẩn và mảng bám vẫn tồn tại trong khoang miệng. Để bảo vệ răng hiệu quả, cần:
- Đánh răng ít nhất 2 lần/ngày, vào buổi sáng sau khi thức dậy và buổi tối trước khi đi ngủ.
- Sử dụng kem đánh răng chứa fluoride, vì fluoride giúp tái khoáng men răng, bảo vệ răng khỏi sự tấn công của axit do vi khuẩn tạo ra.
- Chải răng nhẹ nhàng theo chuyển động tròn hoặc dọc, tránh chải quá mạnh vì có thể làm mòn men răng và gây tụt nướu.
- Sử dụng bàn chải lông mềm và thay bàn chải định kỳ 2 – 3 tháng/lần để đảm bảo hiệu quả làm sạch.
Việc đánh răng đúng cách giúp loại bỏ mảng bám và vi khuẩn trên bề mặt răng, ngăn chặn sự hình thành sâu răng ngay từ giai đoạn đầu.
Dùng Chỉ Nha Khoa Và Súc Miệng Hàng Ngày Để Loại Bỏ Mảng Bám
Đánh răng chỉ làm sạch được khoảng 60% bề mặt răng, trong khi vi khuẩn và mảng bám vẫn có thể tồn tại ở các kẽ răng – những vị trí bàn chải khó tiếp cận. Đó là lý do tại sao việc sử dụng chỉ nha khoa và nước súc miệng là cần thiết để loại bỏ hoàn toàn vi khuẩn trong khoang miệng.
- Dùng chỉ nha khoa ít nhất 1 lần/ngày, đặc biệt là vào buổi tối, để làm sạch kẽ răng và ngăn ngừa hình thành mảng bám.
- Sử dụng nước súc miệng diệt khuẩn giúp tiêu diệt vi khuẩn còn sót lại sau khi đánh răng, đồng thời làm hơi thở thơm mát hơn.
- Súc miệng bằng nước muối loãng cũng là một cách đơn giản giúp giảm viêm nướu và hạn chế vi khuẩn gây sâu răng.
Duy trì thói quen này không chỉ giúp ngăn ngừa sâu răng mà còn phòng tránh viêm lợi, viêm nha chu và hôi miệng hiệu quả.
Hạn Chế Đồ Ăn Ngọt, Nước Có Gas Và Thực Phẩm Có Tính Axit Cao
Chế độ ăn uống có ảnh hưởng lớn đến sức khỏe răng miệng. Những thực phẩm có nhiều đường, tinh bột và axit có thể làm tăng nguy cơ sâu răng nếu không được kiểm soát tốt.
- Hạn chế tiêu thụ bánh kẹo, nước ngọt có gas, trà sữa và các loại thực phẩm có nhiều đường, vì vi khuẩn trong khoang miệng sẽ lên men đường và tạo axit gây mòn men răng.
- Giảm thiểu đồ uống có tính axit như nước chanh, soda, giấm, vì chúng có thể làm mềm men răng và khiến răng dễ bị tổn thương.
- Không nên ăn vặt liên tục trong ngày, vì lượng axit sản sinh trong miệng sẽ tăng cao nếu răng liên tục tiếp xúc với đường và tinh bột.
- Uống nhiều nước lọc sau khi ăn để làm sạch khoang miệng, giảm sự phát triển của vi khuẩn gây sâu răng.
Thay vào đó, nên bổ sung các thực phẩm có lợi cho răng như rau xanh, trái cây giàu chất xơ, sữa và các sản phẩm từ sữa để cung cấp canxi giúp răng chắc khỏe hơn.
Khám Nha Khoa Định Kỳ 6 Tháng/Lần Để Kiểm Tra Và Làm Sạch Răng
Nhiều người chỉ đến nha khoa khi gặp vấn đề về răng miệng như đau răng, sưng nướu hay chảy máu chân răng. Tuy nhiên, khám nha khoa định kỳ là biện pháp quan trọng giúp phát hiện sớm các vấn đề răng miệng và điều trị kịp thời trước khi sâu răng phát triển nặng hơn.
- Lấy cao răng định kỳ 6 tháng/lần để loại bỏ mảng bám cứng đầu, ngăn ngừa vi khuẩn phát triển.
- Kiểm tra răng miệng thường xuyên giúp phát hiện sâu răng ngay từ giai đoạn đầu, tránh phải điều trị phức tạp như lấy tủy hay nhổ răng.
- Bác sĩ sẽ tư vấn cách chăm sóc răng miệng đúng cách, điều chỉnh thói quen ăn uống để bảo vệ răng tốt hơn.
Việc duy trì thói quen đi khám nha khoa định kỳ không chỉ giúp răng miệng khỏe mạnh mà còn tiết kiệm chi phí điều trị so với khi bệnh đã tiến triển nghiêm trọng.
Sử Dụng Sealant Nha Khoa (Chất Bảo Vệ Răng) Cho Trẻ Em Để Ngăn Ngừa Sâu Răng Sớm
Đối với trẻ em, nguy cơ sâu răng cao hơn do men răng còn yếu và thói quen ăn uống chưa được kiểm soát tốt. Một trong những phương pháp hiệu quả giúp ngăn ngừa sâu răng ở trẻ là bọc sealant nha khoa – lớp bảo vệ đặc biệt phủ lên bề mặt nhai của răng hàm để ngăn chặn vi khuẩn tấn công men răng.
- Sealant nha khoa giúp tạo một lớp màng chắn bảo vệ răng, đặc biệt là răng hàm – nơi vi khuẩn dễ tích tụ và gây sâu răng.
- Quy trình thực hiện nhanh chóng, an toàn và không gây đau, giúp trẻ em giảm đáng kể nguy cơ sâu răng.
- Sealant có thể tồn tại trên răng trong nhiều năm, tạo lớp bảo vệ răng vững chắc trong giai đoạn răng vĩnh viễn mới mọc.
Ngoài ra, trẻ em cũng nên được bôi fluoride định kỳ để tăng cường khả năng chống lại vi khuẩn gây sâu răng.

Việc duy trì thói quen đi khám nha khoa định kỳ không chỉ giúp răng miệng khỏe mạnh mà còn tiết kiệm chi phí điều trị so với khi bệnh đã tiến triển nghiêm trọng
Những Quan Niệm Sai Lầm Về Sâu Răng
Sâu răng là một trong những bệnh lý răng miệng phổ biến nhất, nhưng xung quanh nó vẫn tồn tại rất nhiều quan niệm sai lầm. Nhiều người cho rằng sâu răng chỉ xảy ra ở trẻ em, không gây đau thì không cần điều trị, hoặc đánh răng thật mạnh sẽ giúp ngăn ngừa sâu răng. Tuy nhiên, những suy nghĩ này có thể dẫn đến các hậu quả nghiêm trọng, làm tăng nguy cơ mắc bệnh lý răng miệng. Để bảo vệ răng miệng hiệu quả, cần hiểu đúng về sâu răng và cách phòng ngừa hợp lý.
Sâu Răng Chỉ Xảy Ra Ở Trẻ Em – Thực Tế, Người Lớn Vẫn Có Nguy Cơ Cao
Nhiều người nghĩ rằng sâu răng chỉ là vấn đề của trẻ nhỏ do thói quen ăn vặt và chưa biết cách vệ sinh răng miệng đúng cách. Tuy nhiên, thực tế cho thấy sâu răng có thể xảy ra ở bất kỳ độ tuổi nào, ngay cả với người lớn và người cao tuổi.
Ở trẻ em, răng sữa có lớp men mỏng hơn răng vĩnh viễn, khiến chúng dễ bị vi khuẩn tấn công. Trẻ cũng có xu hướng thích ăn đồ ngọt, uống nước có gas và chưa có ý thức chăm sóc răng miệng đầy đủ. Đây là lý do vì sao sâu răng phổ biến ở trẻ nhỏ.
Tuy nhiên, người lớn cũng có nguy cơ cao bị sâu răng do nhiều yếu tố khác nhau. Chế độ ăn uống chứa nhiều đường, thói quen hút thuốc lá, uống rượu bia, mắc các bệnh lý nền như tiểu đường hoặc trào ngược dạ dày có thể làm tăng khả năng tổn thương men răng. Ngoài ra, người cao tuổi thường bị tụt nướu, làm lộ chân răng – nơi không có men răng bảo vệ, khiến vi khuẩn dễ dàng tấn công và gây sâu răng chân răng.
Điều này cho thấy sâu răng không chỉ giới hạn ở trẻ em mà còn là mối đe dọa đối với tất cả mọi người. Vì vậy, bất kể độ tuổi nào, cũng cần duy trì thói quen chăm sóc răng miệng đúng cách để bảo vệ răng khỏi sự tấn công của vi khuẩn.
Sâu Răng Không Gây Đau Thì Không Cần Chữa – Sai Lầm Dẫn Đến Biến Chứng Nguy Hiểm
Một trong những quan niệm sai lầm phổ biến nhất là chỉ khi răng đau mới cần đi khám và điều trị. Nhiều người nghĩ rằng nếu không cảm thấy đau, nghĩa là răng vẫn khỏe mạnh. Tuy nhiên, sâu răng ở giai đoạn đầu thường không gây đau đớn, vì tổn thương chỉ mới ảnh hưởng đến lớp men răng – nơi không có dây thần kinh.
Khi sâu răng không được phát hiện và điều trị sớm, vi khuẩn sẽ tiếp tục phá hủy lớp ngà răng bên dưới, khiến răng nhạy cảm hơn. Đến khi vi khuẩn lan đến tủy răng, cơn đau sẽ trở nên dữ dội, có thể kéo dài liên tục và ảnh hưởng đến giấc ngủ, sinh hoạt hàng ngày. Nếu không được điều trị kịp thời, sâu răng có thể dẫn đến viêm tủy, áp xe răng hoặc thậm chí mất răng vĩnh viễn.
Ngoài ra, vi khuẩn từ sâu răng có thể lan sang các răng khác hoặc đi vào máu, gây viêm nhiễm toàn thân, làm tăng nguy cơ mắc bệnh tim mạch và tiểu đường. Vì vậy, ngay cả khi không có triệu chứng đau nhức, bạn vẫn nên đi khám nha khoa định kỳ để phát hiện sớm và điều trị sâu răng kịp thời.
Đánh Răng Mạnh Sẽ Ngăn Ngừa Sâu Răng – Thực Tế Có Thể Làm Mòn Men Răng
Nhiều người nghĩ rằng đánh răng thật mạnh sẽ giúp loại bỏ vi khuẩn và mảng bám hiệu quả hơn, từ đó giảm nguy cơ sâu răng. Tuy nhiên, đánh răng quá mạnh không những không ngăn ngừa sâu răng mà còn có thể gây tổn thương men răng, làm răng trở nên nhạy cảm và dễ bị tổn thương hơn.
Men răng là lớp bảo vệ tự nhiên giúp răng chống lại sự tấn công của axit và vi khuẩn. Khi đánh răng quá mạnh hoặc sử dụng bàn chải lông cứng, men răng có thể bị mài mòn theo thời gian, khiến răng yếu đi và dễ bị sâu hơn. Ngoài ra, việc chải răng sai cách cũng có thể gây tụt nướu, làm lộ chân răng và tạo điều kiện cho vi khuẩn tấn công vùng ngà răng.
Để bảo vệ răng hiệu quả, cần đánh răng đúng cách bằng bàn chải lông mềm, chải nhẹ nhàng theo chuyển động tròn hoặc dọc thay vì chà ngang mạnh. Ngoài ra, sử dụng kem đánh răng chứa fluoride sẽ giúp bảo vệ men răng và ngăn ngừa sâu răng hiệu quả hơn.
Những Quan Niệm Sai Lầm Khác Về Sâu Răng
Ngoài những sai lầm phổ biến trên, còn nhiều quan niệm không chính xác về sâu răng mà nhiều người vẫn tin tưởng:
- Sâu răng có thể tự khỏi mà không cần điều trị: Sự thật là sâu răng không thể tự lành, nếu không được can thiệp, nó sẽ tiếp tục lan rộng và gây tổn thương nghiêm trọng hơn.
- Chỉ cần nhai kẹo cao su không đường là có thể làm sạch răng: Kẹo cao su có thể giúp kích thích tiết nước bọt nhưng không thể thay thế việc đánh răng hoặc dùng chỉ nha khoa.
- Sâu răng là do di truyền: Yếu tố di truyền có thể ảnh hưởng đến cấu trúc men răng nhưng sâu răng chủ yếu là do thói quen vệ sinh răng miệng và chế độ ăn uống không hợp lý.
- Nếu răng sữa bị sâu thì không cần điều trị vì sẽ thay răng vĩnh viễn: Đây là suy nghĩ sai lầm vì sâu răng sữa có thể ảnh hưởng đến sự phát triển của răng vĩnh viễn, gây lệch lạc răng và làm tăng nguy cơ sâu răng sau này.
Thực Phẩm Giúp Ngăn Ngừa Sâu Răng Tự Nhiên
Chế độ ăn uống không chỉ ảnh hưởng đến sức khỏe tổng thể mà còn đóng vai trò quan trọng trong việc bảo vệ răng miệng. Một số loại thực phẩm có khả năng tăng cường men răng, làm sạch khoang miệng và hạn chế sự phát triển của vi khuẩn gây sâu răng. Việc bổ sung các thực phẩm này vào chế độ ăn hàng ngày sẽ giúp giảm nguy cơ sâu răng một cách tự nhiên mà không cần dùng đến hóa chất hay thuốc hỗ trợ.
Thực Phẩm Giàu Canxi – Tăng Cường Men Răng, Giúp Răng Chắc Khỏe
Canxi là thành phần quan trọng trong men răng và giúp bảo vệ răng khỏi sự tấn công của axit và vi khuẩn. Nếu cơ thể thiếu canxi, răng có thể trở nên yếu hơn, dễ bị mòn men và tăng nguy cơ sâu răng.
Những thực phẩm giàu canxi tốt cho răng miệng bao gồm:
- Sữa và các sản phẩm từ sữa như phô mai, sữa chua: Giúp bổ sung canxi và photpho, hỗ trợ tái khoáng men răng. Đặc biệt, phô mai còn giúp kích thích tiết nước bọt, cân bằng độ pH trong miệng và ngăn ngừa vi khuẩn phát triển.
- Hạnh nhân, hạt chia, hạt óc chó: Là nguồn canxi tự nhiên, đồng thời cung cấp các khoáng chất cần thiết giúp răng chắc khỏe hơn.
- Cá hồi, cá mòi, đậu nành: Không chỉ giàu canxi mà còn chứa vitamin D, giúp cơ thể hấp thụ canxi hiệu quả hơn.
Việc bổ sung các thực phẩm này không chỉ giúp răng chắc khỏe mà còn hỗ trợ xương hàm, giảm nguy cơ viêm nướu và lão hóa răng sớm.
Trà Xanh Và Nước Lọc – Làm Sạch Khoang Miệng, Trung Hòa Axit
Trà xanh là một trong những thức uống có lợi cho sức khỏe răng miệng nhờ chứa hợp chất catechin – một loại chất chống oxy hóa có khả năng tiêu diệt vi khuẩn gây sâu răng. Ngoài ra, trà xanh còn giúp giảm viêm, ngăn ngừa vi khuẩn phát triển và hỗ trợ hơi thở thơm mát hơn.
Uống trà xanh hàng ngày có thể giúp:
- Ngăn ngừa sự phát triển của vi khuẩn Streptococcus mutans – tác nhân chính gây sâu răng.
- Giảm hình thành mảng bám trên răng, nhờ vào khả năng kháng khuẩn tự nhiên.
- Cân bằng độ pH trong khoang miệng, giảm nguy cơ axit làm mòn men răng.
Bên cạnh trà xanh, nước lọc cũng đóng vai trò quan trọng trong việc làm sạch khoang miệng. Uống nước thường xuyên giúp rửa trôi vi khuẩn, mảng bám và cặn thức ăn còn sót lại trên răng, giảm nguy cơ hình thành sâu răng. Nếu không thể đánh răng ngay sau khi ăn, súc miệng bằng nước sạch cũng là một cách giúp hạn chế vi khuẩn phát triển trong miệng.
Rau Củ Giòn – Giúp Làm Sạch Mảng Bám, Ngăn Ngừa Sâu Răng
Những loại rau củ giòn như cà rốt, táo, cần tây không chỉ giàu vitamin mà còn giúp làm sạch mảng bám trên răng một cách tự nhiên. Khi nhai các loại thực phẩm này, nước bọt được kích thích tiết ra nhiều hơn, giúp trung hòa axit và hạn chế vi khuẩn phát triển.
Một số loại rau củ giòn có lợi cho răng bao gồm:
- Táo: Được mệnh danh là “bàn chải tự nhiên” cho răng, táo giúp loại bỏ vi khuẩn và kích thích nướu khỏe mạnh hơn.
- Cà rốt: Giàu vitamin A và chất xơ, giúp làm sạch răng tự nhiên và cải thiện sức khỏe nướu.
- Cần tây: Có cấu trúc xơ giúp loại bỏ mảng bám trên răng, đồng thời chứa nhiều nước giúp làm sạch khoang miệng.
Những thực phẩm này không chỉ giúp bảo vệ răng miệng mà còn hỗ trợ hệ tiêu hóa và cung cấp dinh dưỡng quan trọng cho cơ thể.
Các Thực Phẩm Khác Giúp Ngăn Ngừa Sâu Răng
Ngoài ba nhóm thực phẩm chính trên, một số thực phẩm khác cũng có tác dụng hỗ trợ bảo vệ răng miệng, bao gồm:
- Dâu tây: Chứa axit malic có tác dụng làm trắng răng tự nhiên và loại bỏ mảng bám.
- Hành tây và tỏi: Có đặc tính kháng khuẩn mạnh, giúp tiêu diệt vi khuẩn gây sâu răng và viêm nướu.
- Nghệ: Có tác dụng kháng viêm, giúp giảm nguy cơ viêm nướu và viêm nha chu.
Chế độ ăn uống không chỉ ảnh hưởng đến sức khỏe tổng thể mà còn đóng vai trò quan trọng trong việc bảo vệ răng miệng
Dịch Vụ Điều Trị Sâu Răng Tại Nha Khoa Ngọc Tuấn – Thái Bình
Sâu răng là một trong những vấn đề răng miệng phổ biến, nếu không được điều trị kịp thời có thể dẫn đến những biến chứng nghiêm trọng như viêm tủy, áp xe răng và mất răng vĩnh viễn. Việc lựa chọn một nha khoa uy tín để điều trị không chỉ giúp loại bỏ sâu răng hiệu quả mà còn bảo vệ sức khỏe răng miệng lâu dài.
Tại Nha Khoa Ngọc Tuấn – Thái Bình, chúng tôi cung cấp dịch vụ điều trị sâu răng hiện đại, an toàn và không đau, giúp khách hàng lấy lại hàm răng khỏe mạnh và nụ cười tự tin.
Khám Và Tư Vấn Miễn Phí Về Tình Trạng Sâu Răng
Mỗi khách hàng khi đến Nha Khoa Ngọc Tuấn sẽ được khám và tư vấn hoàn toàn miễn phí để đánh giá mức độ sâu răng và đề xuất phương pháp điều trị phù hợp. Quá trình thăm khám bao gồm:
- Kiểm tra lâm sàng bằng đèn soi và dụng cụ nha khoa để phát hiện các lỗ sâu răng.
- Chụp X-quang để xác định mức độ tổn thương bên trong răng, đặc biệt là những lỗ sâu ẩn dưới men răng hoặc giữa các kẽ răng.
- Tư vấn phương pháp điều trị phù hợp với từng trường hợp, đảm bảo hiệu quả lâu dài và an toàn cho sức khỏe răng miệng.
Với dịch vụ tư vấn tận tình, khách hàng sẽ hiểu rõ hơn về tình trạng răng miệng của mình và có kế hoạch chăm sóc răng miệng tốt hơn để ngăn ngừa sâu răng tái phát.
Công Nghệ Điều Trị Sâu Răng Hiện Đại, Không Đau, An Toàn
Nha Khoa Ngọc Tuấn áp dụng các công nghệ tiên tiến giúp điều trị sâu răng một cách hiệu quả, nhẹ nhàng và không gây đau đớn.
- Trám răng thẩm mỹ: Sử dụng vật liệu trám răng cao cấp như composite giúp lấp đầy lỗ sâu, khôi phục hình dạng và chức năng của răng mà vẫn đảm bảo tính thẩm mỹ.
- Điều trị tủy răng không đau: Áp dụng công nghệ lấy tủy răng bằng máy siêu âm, giúp loại bỏ phần tủy bị viêm nhiễm mà không gây đau đớn, đồng thời bảo vệ răng thật tối đa.
- Bọc răng sứ phục hồi răng sâu nặng: Đối với những trường hợp sâu răng nghiêm trọng, bác sĩ có thể chỉ định bọc răng sứ để bảo vệ răng và đảm bảo chức năng ăn nhai lâu dài.
- Nhổ răng sâu không đau: Nếu răng bị sâu quá nặng và không thể bảo tồn, nha khoa áp dụng kỹ thuật nhổ răng siêu âm Piezotome giúp loại bỏ răng nhẹ nhàng, không đau và không sưng viêm.
Tất cả các phương pháp điều trị tại đây đều được thực hiện bởi các bác sĩ có tay nghề cao, đảm bảo an toàn tuyệt đối cho khách hàng.
Đội Ngũ Bác Sĩ Nhiều Năm Kinh Nghiệm, Tận Tâm Với Bệnh Nhân
Với hơn 10 năm kinh nghiệm trong lĩnh vực nha khoa, đội ngũ bác sĩ tại Nha Khoa Ngọc Tuấn luôn đặt lợi ích của khách hàng lên hàng đầu. Mỗi ca điều trị đều được thực hiện tỉ mỉ, chính xác, giúp khách hàng có trải nghiệm thoải mái nhất.
Ngoài chuyên môn giỏi, các bác sĩ tại đây còn rất tận tâm, nhẹ nhàng trong quá trình điều trị, đặc biệt là với trẻ em và những khách hàng sợ đau khi đi nha khoa.
Đặt Lịch Ngay Để Bảo Vệ Sức Khỏe Răng Miệng
Nếu bạn đang gặp vấn đề về sâu răng, đừng chần chừ mà hãy đến ngay Nha Khoa Ngọc Tuấn – Thái Bình để được thăm khám và điều trị kịp thời.
Địa chỉ: 662 Lý Bôn, TP. Thái Bình
Hotline: 093 352 83 38
Website: https://nhakhoangoctuan.vn
Đội ngũ bác sĩ tại Nha Khoa Ngọc Tuấn luôn sẵn sàng giúp bạn loại bỏ sâu răng một cách an toàn, hiệu quả và không đau, mang lại nụ cười khỏe mạnh và tự tin!


