Tóm tắt nội dung [Ẩn]
- Tụt Lợi Là Gì? Tình Trạng Tụt Lợi Ảnh Hưởng Như Thế Nào Đến Răng Miệng?
- Nguyên Nhân Gây Tụt Lợi – Vì Sao Nướu Bị Thụt Dần?
- Dấu Hiệu Nhận Biết Tụt Lợi – Khi Nào Cần Điều Trị?
- Nướu Dần Co Rút, Răng Trông Dài Hơn Bình Thường
- Cảm Giác Ê Buốt Răng Khi Ăn Đồ Nóng, Lạnh Hoặc Chua
- Dễ Bị Chảy Máu Khi Đánh Răng Hoặc Dùng Chỉ Nha Khoa
- Xuất Hiện Khoảng Trống Giữa Răng Do Nướu Bị Tụt Xuống
- Hôi Miệng Dai Dẳng Do Vi Khuẩn Tích Tụ Trong Túi Nướu
- Khi Nào Cần Đến Nha Khoa Để Điều Trị Tụt Lợi?
- Tụt Lợi Có Nguy Hiểm Không? Những Hậu Quả Nếu Không Điều Trị Sớm
- Gây mất thẩm mỹ, răng trông dài hơn, ảnh hưởng đến nụ cười
- Dẫn đến ê buốt răng nghiêm trọng, khiến việc ăn uống khó khăn
- Tăng nguy cơ sâu chân răng do không còn lớp nướu bảo vệ
- Dễ mắc bệnh viêm nha chu, làm răng lung lay và mất răng
- Vi khuẩn từ viêm lợi có thể lây lan, làm tăng nguy cơ bệnh tim mạch, tiểu đường
- Khi nào cần điều trị tụt lợi ngay lập tức?
- Tụt lợi thường đi kèm với viêm nướu hoặc viêm nha chu – những bệnh lý răng miệng nguy hiểm
- Cách Điều Trị Tụt Lợi Hiệu Quả – Giúp Nướu Khỏe Mạnh Trở Lại
- Điều trị tại nhà với các phương pháp tự nhiên
- Súc miệng bằng nước muối ấm giúp giảm viêm và sát khuẩn nướu
- Dùng tinh dầu tràm trà, dầu dừa để massage nướu, giúp tăng cường tuần hoàn máu
- Bổ sung vitamin C, canxi giúp nướu khỏe mạnh hơn
- Điều trị chuyên sâu tại nha khoa
- Cạo vôi răng và làm sạch túi nha chu để loại bỏ vi khuẩn gây viêm nướu
- Ghép mô nướu: Áp dụng cho trường hợp tụt lợi nặng, giúp che phủ chân răng bị lộ
- Dùng máng chống nghiến răng để giảm áp lực lên nướu, ngăn chặn tình trạng tụt lợi tiến triển
- Phẫu thuật tái tạo nướu trong trường hợp mô nướu đã bị mất nghiêm trọng
- Cách Phòng Ngừa Tụt Lợi Hiệu Quả
- Đánh răng đúng cách, sử dụng bàn chải lông mềm và chải răng nhẹ nhàng
- Dùng chỉ nha khoa mỗi ngày để loại bỏ vi khuẩn ở kẽ răng
- Hạn chế hút thuốc lá và ăn thực phẩm có tính axit cao
- Khám răng định kỳ 6 tháng/lần để lấy cao răng và phát hiện sớm dấu hiệu tụt lợi
- Giữ chế độ ăn giàu canxi, vitamin C giúp nướu khỏe mạnh
- Tụt lợi là tình trạng không thể tự hồi phục, vì vậy việc phòng ngừa ngay từ sớm là cách tốt nhất để bảo vệ sức khỏe nướu răng
- Khi Nào Cần Đến Nha Khoa Để Điều Trị Tụt Lợi?
- Nướu bị tụt nhiều, chân răng lộ rõ gây ê buốt
- Chảy máu chân răng thường xuyên dù đã vệ sinh răng miệng đúng cách
- Răng lung lay hoặc có túi mủ quanh răng
- Đau nhức dai dẳng hoặc hôi miệng kéo dài
- Bạn Cần Làm Gì Khi Phát Hiện Dấu Hiệu Tụt Lợi?
- Tụt lợi không chỉ ảnh hưởng đến thẩm mỹ mà còn có thể dẫn đến nhiều biến chứng nghiêm trọng nếu không được điều trị kịp thời
- Dịch Vụ Điều Trị Tụt Lợi Tại Nha Khoa Ngọc Tuấn – Thái Bình
Tụt Lợi Là Gì? Tình Trạng Tụt Lợi Ảnh Hưởng Như Thế Nào Đến Răng Miệng?
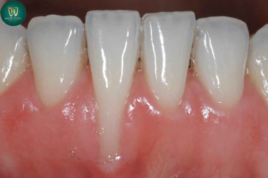
Tụt lợi là tình trạng nướu răng dần bị co rút về phía chân răng, khiến phần chân răng bị lộ ra ngoài. Đây không chỉ là một vấn đề thẩm mỹ mà còn là dấu hiệu cảnh báo các bệnh lý răng miệng nghiêm trọng. Khi lợi bị tụt, răng sẽ trông dài hơn bình thường, gây mất cân đối trong cấu trúc hàm răng.
Ngoài ảnh hưởng đến thẩm mỹ, tụt lợi còn khiến răng trở nên nhạy cảm, dễ ê buốt khi tiếp xúc với đồ ăn nóng, lạnh hoặc chua. Điều này là do lớp men bảo vệ chân răng đã bị bào mòn, làm lộ lớp ngà răng bên trong. Nếu không điều trị kịp thời, tụt lợi có thể tiến triển nghiêm trọng hơn, gây tiêu xương quanh răng, làm răng lung lay và thậm chí dẫn đến mất răng vĩnh viễn.
Tình trạng này thường phát triển âm thầm và không gây đau ngay lập tức, khiến nhiều người chủ quan. Tuy nhiên, nếu không có biện pháp can thiệp sớm, vi khuẩn có thể xâm nhập vào phần chân răng lộ ra, gây viêm nhiễm và ảnh hưởng đến toàn bộ sức khỏe răng miệng.
Việc nhận biết dấu hiệu tụt lợi sớm và tìm kiếm giải pháp điều trị kịp thời sẽ giúp bảo vệ sức khỏe răng miệng, ngăn ngừa các biến chứng nguy hiểm. Để đảm bảo nướu khỏe mạnh, việc duy trì thói quen chăm sóc răng miệng đúng cách và khám nha khoa định kỳ là điều vô cùng quan trọng.

Tụt lợi là tình trạng nướu răng dần bị co rút về phía chân răng, khiến phần chân răng bị lộ ra ngoài
Nguyên Nhân Gây Tụt Lợi – Vì Sao Nướu Bị Thụt Dần?
Tụt lợi là tình trạng nướu co rút về phía chân răng, làm lộ chân răng và có thể dẫn đến nhiều vấn đề nghiêm trọng như ê buốt, viêm nha chu, thậm chí là mất răng. Tình trạng này không chỉ ảnh hưởng đến thẩm mỹ mà còn tác động đến chức năng ăn nhai và sức khỏe răng miệng tổng thể. Có nhiều nguyên nhân khác nhau gây tụt lợi, từ thói quen chăm sóc răng miệng sai cách đến các bệnh lý nha khoa tiềm ẩn. Dưới đây là những nguyên nhân phổ biến nhất khiến nướu bị tụt dần theo thời gian.
Vệ Sinh Răng Miệng Sai Cách
Vệ sinh răng miệng không đúng cách là một trong những nguyên nhân hàng đầu gây tụt lợi. Nhiều người có thói quen đánh răng quá mạnh hoặc sử dụng bàn chải lông cứng, điều này có thể làm tổn thương men răng và nướu. Khi lực tác động lên nướu quá lớn, mô nướu sẽ bị bào mòn dần, dẫn đến tình trạng tụt lợi theo thời gian.
Ngoài ra, việc không sử dụng chỉ nha khoa để làm sạch kẽ răng cũng là một sai lầm phổ biến. Thức ăn thừa mắc kẹt giữa các kẽ răng nếu không được loại bỏ sẽ tạo môi trường lý tưởng cho vi khuẩn phát triển. Điều này có thể dẫn đến viêm nướu, làm suy yếu mô nướu và khiến lợi dần bị co rút.
Cách khắc phục:
- Sử dụng bàn chải lông mềm và đánh răng nhẹ nhàng theo chuyển động tròn để bảo vệ nướu.
- Chải răng ít nhất 2 lần/ngày với kem đánh răng chứa fluoride giúp bảo vệ men răng và nướu.
- Kết hợp dùng chỉ nha khoa và nước súc miệng kháng khuẩn để làm sạch sâu.
Bệnh Viêm Nha Chu Và Viêm Nướu Mãn Tính
Viêm nha chu và viêm nướu là những bệnh lý răng miệng nguy hiểm, có thể dẫn đến tụt lợi nếu không được điều trị kịp thời. Khi vi khuẩn tích tụ quá mức trong khoang miệng, chúng sẽ tấn công mô nướu, làm nướu bị viêm nhiễm, sưng đỏ và dễ chảy máu.
Nếu tình trạng viêm kéo dài, vi khuẩn sẽ dần phá hủy các mô liên kết giữa răng và nướu, làm nướu mất khả năng bám chặt vào chân răng. Khi nướu không còn đủ sức nâng đỡ răng, nó sẽ dần co rút xuống, khiến chân răng bị lộ ra ngoài.
Bệnh viêm nha chu cũng có thể dẫn đến tiêu xương ổ răng, làm răng lung lay và mất răng nếu không được điều trị sớm. Đây là một trong những nguyên nhân phổ biến nhất gây tụt lợi ở người lớn tuổi.
Cách khắc phục:
- Khám nha khoa định kỳ 6 tháng/lần để kiểm tra tình trạng nướu và làm sạch cao răng.
- Cạo vôi răng định kỳ để loại bỏ vi khuẩn và ngăn ngừa viêm nướu.
- Nếu có dấu hiệu viêm nha chu, cần điều trị chuyên sâu tại nha khoa để bảo vệ nướu và răng.
Nghiến Răng Và Chấn Thương Răng
Thói quen nghiến răng, đặc biệt là khi ngủ, tạo áp lực rất lớn lên răng và nướu. Khi răng chịu lực quá mạnh trong thời gian dài, mô nướu có thể bị tổn thương, dẫn đến tụt lợi. Nghiến răng cũng có thể làm mòn men răng, khiến răng trở nên nhạy cảm và dễ bị kích thích.
Ngoài ra, các chấn thương do va đập mạnh vào răng cũng có thể ảnh hưởng đến nướu. Ví dụ, tai nạn giao thông, chấn thương khi chơi thể thao hoặc nhai đồ cứng có thể gây tổn thương đến cấu trúc răng và nướu, khiến lợi bị tụt theo thời gian.
Cách khắc phục:
- Nếu có thói quen nghiến răng khi ngủ, nên đeo máng bảo vệ răng để giảm áp lực lên nướu.
- Tránh nhai đồ quá cứng như đá lạnh, kẹo cứng để bảo vệ răng và nướu khỏi tổn thương.
- Nếu gặp chấn thương răng, cần đến nha khoa kiểm tra ngay để có phương án điều trị kịp thời.
Thay Đổi Nội Tiết Tố Và Tuổi Tác
Sự thay đổi nội tiết tố trong cơ thể có thể ảnh hưởng đến sức khỏe của nướu. Đặc biệt, phụ nữ trong giai đoạn mang thai, tiền mãn kinh hoặc mãn kinh thường có nguy cơ tụt lợi cao hơn do hormone thay đổi làm nướu nhạy cảm hơn. Khi nội tiết tố thay đổi, lượng máu lưu thông đến mô nướu bị ảnh hưởng, khiến nướu dễ bị viêm nhiễm và co rút dần.
Bên cạnh đó, quá trình lão hóa tự nhiên cũng là một nguyên nhân khiến nướu bị tụt. Khi tuổi càng cao, mô nướu có xu hướng mỏng đi, làm giảm khả năng bám chắc vào chân răng. Điều này khiến nướu dễ bị tụt hơn so với người trẻ tuổi.
Cách khắc phục:
- Phụ nữ mang thai hoặc mãn kinh nên chăm sóc răng miệng kỹ hơn để ngăn ngừa viêm nướu.
- Bổ sung canxi, vitamin C và các khoáng chất cần thiết để tăng cường sức khỏe nướu.
- Duy trì thói quen khám nha khoa định kỳ để theo dõi tình trạng nướu và răng.
Hút Thuốc Lá Và Thói Quen Ăn Uống Không Lành Mạnh
Hút thuốc lá không chỉ gây hại cho phổi mà còn ảnh hưởng nghiêm trọng đến sức khỏe răng miệng. Nicotine trong thuốc lá làm giảm lưu thông máu đến nướu, khiến mô nướu yếu hơn, dễ bị tổn thương và tụt lợi. Ngoài ra, hút thuốc còn làm suy giảm khả năng phục hồi của nướu sau khi bị viêm nhiễm, khiến tình trạng tụt lợi tiến triển nhanh hơn.
Chế độ ăn uống thiếu dinh dưỡng cũng có thể làm nướu bị suy yếu. Đặc biệt, thiếu hụt vitamin C, canxi và các khoáng chất quan trọng có thể khiến nướu dễ bị viêm nhiễm, dẫn đến tụt lợi.
Cách khắc phục:
- Nếu hút thuốc lá, nên cố gắng cai thuốc để bảo vệ sức khỏe nướu.
- Bổ sung thực phẩm giàu vitamin C như cam, chanh, dâu tây để giúp nướu chắc khỏe.
- Hạn chế thực phẩm có nhiều đường và axit như nước ngọt có gas, bánh kẹo để tránh vi khuẩn phát triển trong khoang miệng.
Tụt lợi là một vấn đề răng miệng nghiêm trọng có thể ảnh hưởng đến thẩm mỹ và sức khỏe răng miệng lâu dài. Hiểu rõ nguyên nhân gây tụt lợi giúp bạn có cách phòng ngừa và điều trị hiệu quả. Nếu bạn gặp tình trạng tụt lợi, hãy đến nha khoa để được kiểm tra và tư vấn điều trị kịp thời, tránh để tình trạng tiến triển nặng hơn.

Vệ sinh răng miệng không đúng cách là một trong những nguyên nhân hàng đầu gây tụt lợi.
Dấu Hiệu Nhận Biết Tụt Lợi – Khi Nào Cần Điều Trị?
Tụt lợi là một trong những dấu hiệu cảnh báo sức khỏe răng miệng đang gặp vấn đề. Tuy nhiên, tình trạng này thường diễn ra âm thầm và khó nhận biết trong giai đoạn đầu. Nếu không điều trị kịp thời, tụt lợi có thể tiến triển nặng, dẫn đến viêm nha chu, răng lung lay và thậm chí mất răng vĩnh viễn. Dưới đây là những dấu hiệu nhận biết sớm tình trạng tụt lợi và khi nào bạn cần đến nha khoa để điều trị.
Nướu Dần Co Rút, Răng Trông Dài Hơn Bình Thường
Một trong những dấu hiệu dễ nhận biết nhất của tụt lợi là nướu dần co rút, làm lộ phần chân răng. Khi nướu tụt, răng sẽ trông dài hơn so với bình thường, gây ảnh hưởng đến thẩm mỹ.
Tình trạng này thường xuất hiện từ từ nên nhiều người không để ý cho đến khi răng đã bị lộ chân khá rõ. Nếu thấy răng mình dường như dài hơn trước hoặc có sự thay đổi về hình dáng nướu, bạn nên kiểm tra nha khoa sớm để đánh giá tình trạng tụt lợi.
Cảm Giác Ê Buốt Răng Khi Ăn Đồ Nóng, Lạnh Hoặc Chua
Tụt lợi làm lộ phần chân răng, nơi không được bảo vệ bởi men răng như phần thân răng. Chân răng chứa nhiều ống ngà răng dẫn trực tiếp đến tủy răng, nên khi tiếp xúc với nhiệt độ nóng, lạnh hoặc thực phẩm có tính axit, bạn sẽ cảm thấy ê buốt rõ rệt.
Nếu tình trạng ê buốt kéo dài và ngày càng nghiêm trọng, có thể bạn đã bị tụt lợi đáng kể. Khi đó, cần có biện pháp điều trị để tránh làm tổn thương răng lâu dài.
Cách kiểm soát tạm thời:
- Sử dụng kem đánh răng dành riêng cho răng nhạy cảm.
- Tránh thực phẩm quá nóng, lạnh hoặc có tính axit cao.
- Đánh răng nhẹ nhàng bằng bàn chải lông mềm để không làm tổn thương nướu thêm.
Dễ Bị Chảy Máu Khi Đánh Răng Hoặc Dùng Chỉ Nha Khoa
Nếu bạn nhận thấy nướu thường xuyên bị chảy máu khi đánh răng hoặc sử dụng chỉ nha khoa, đây có thể là dấu hiệu của viêm nướu – nguyên nhân phổ biến gây tụt lợi.
Nướu khỏe mạnh sẽ có màu hồng nhạt và không chảy máu khi tác động nhẹ. Tuy nhiên, khi vi khuẩn tích tụ lâu ngày, nướu trở nên nhạy cảm hơn và dễ bị viêm, dẫn đến tình trạng chảy máu thường xuyên. Nếu không kiểm soát tốt, viêm nướu có thể tiến triển thành viêm nha chu, làm tổn thương mô nướu và gây tụt lợi.
Khi gặp tình trạng này, bạn nên:
- Sử dụng bàn chải lông mềm và chải răng nhẹ nhàng.
- Dùng nước súc miệng kháng khuẩn để giảm vi khuẩn trong khoang miệng.
- Đến nha khoa để kiểm tra và điều trị kịp thời nếu nướu chảy máu liên tục.
Xuất Hiện Khoảng Trống Giữa Răng Do Nướu Bị Tụt Xuống
Tụt lợi không chỉ khiến răng trông dài hơn mà còn tạo ra khoảng trống giữa các răng. Khi nướu không còn bám chặt vào răng, phần chân răng bị lộ sẽ tạo ra khe hở giữa các răng, khiến thức ăn dễ mắc kẹt hơn.
Điều này không chỉ gây khó khăn trong việc vệ sinh răng miệng mà còn tạo điều kiện cho vi khuẩn phát triển, làm tăng nguy cơ sâu răng và viêm nha chu.
Nếu nhận thấy khoảng trống giữa răng ngày càng lớn, hãy đến nha khoa để được tư vấn phương pháp điều trị phù hợp, giúp bảo vệ nướu và ngăn chặn tình trạng tụt lợi tiến triển.
Hôi Miệng Dai Dẳng Do Vi Khuẩn Tích Tụ Trong Túi Nướu
Tụt lợi có thể tạo ra những túi nướu nhỏ giữa răng và nướu, nơi vi khuẩn có thể tích tụ và sinh sôi. Khi vi khuẩn phát triển quá mức, chúng sẽ phân hủy các mảng bám và thức ăn thừa, tạo ra mùi hôi miệng khó chịu.
Hôi miệng kéo dài dù đã vệ sinh răng miệng kỹ có thể là dấu hiệu của tụt lợi và viêm nha chu. Khi đó, bạn cần đến nha khoa để làm sạch sâu và điều trị nướu kịp thời.
Cách kiểm soát tạm thời:
- Sử dụng nước súc miệng kháng khuẩn để giảm vi khuẩn trong khoang miệng.
- Dùng chỉ nha khoa hàng ngày để loại bỏ mảng bám giữa các răng.
- Khám nha khoa định kỳ để kiểm tra tình trạng nướu và làm sạch cao răng.
Khi Nào Cần Đến Nha Khoa Để Điều Trị Tụt Lợi?
Tụt lợi không chỉ ảnh hưởng đến thẩm mỹ mà còn có thể gây nhiều vấn đề nghiêm trọng về răng miệng nếu không được điều trị kịp thời. Nếu bạn gặp phải một hoặc nhiều dấu hiệu trên, hãy đến ngay nha khoa để được kiểm tra và điều trị:
- Răng trông dài hơn bất thường, nướu bị tụt rõ rệt.
- Ê buốt răng khi ăn uống kéo dài không dứt.
- Nướu dễ chảy máu khi đánh răng hoặc dùng chỉ nha khoa.
- Xuất hiện khoảng trống giữa các răng do tụt lợi.
- Hơi thở có mùi hôi dù đã vệ sinh răng miệng sạch sẽ.
Tại nha khoa, bác sĩ sẽ kiểm tra mức độ tụt lợi, xác định nguyên nhân và đưa ra phương pháp điều trị phù hợp, giúp bảo vệ sức khỏe răng miệng lâu dài.
Tụt Lợi Có Nguy Hiểm Không? Những Hậu Quả Nếu Không Điều Trị Sớm
Tụt lợi không chỉ là vấn đề thẩm mỹ mà còn ảnh hưởng nghiêm trọng đến sức khỏe răng miệng nếu không được điều trị kịp thời. Nhiều người chủ quan khi thấy nướu bị tụt mà không nhận thức được những hậu quả lâu dài của tình trạng này. Nếu để kéo dài, tụt lợi có thể gây ra nhiều biến chứng nguy hiểm, từ ê buốt răng, sâu chân răng đến nguy cơ mất răng vĩnh viễn.
Gây mất thẩm mỹ, răng trông dài hơn, ảnh hưởng đến nụ cười
Một trong những ảnh hưởng đầu tiên và dễ nhận thấy nhất của tụt lợi là làm thay đổi hình dáng của răng. Khi nướu bị tụt xuống, chân răng lộ ra ngoài, khiến răng trông dài hơn bình thường. Điều này có thể làm mất cân đối giữa răng và nướu, khiến nụ cười trở nên kém hài hòa. Ngoài ra, phần chân răng không được bao phủ bởi men răng nên có màu vàng sậm hơn phần thân răng, làm giảm tính thẩm mỹ. Đối với những người có nụ cười hở lợi, tình trạng tụt lợi càng dễ lộ rõ, ảnh hưởng đến sự tự tin trong giao tiếp.
Dẫn đến ê buốt răng nghiêm trọng, khiến việc ăn uống khó khăn
Khi nướu tụt, chân răng bị lộ ra ngoài và mất đi lớp bảo vệ của nướu, khiến răng trở nên nhạy cảm hơn. Điều này làm tăng cảm giác ê buốt, đặc biệt khi ăn uống các thực phẩm nóng, lạnh, chua hoặc ngọt. Nếu tình trạng ê buốt kéo dài mà không được khắc phục, người bệnh có thể tránh nhai bên răng bị ê buốt, lâu dần tạo ra thói quen nhai lệch, gây ảnh hưởng đến khớp cắn. Việc ăn uống khó khăn cũng làm giảm chất lượng cuộc sống và có thể dẫn đến các vấn đề về dinh dưỡng.
Tăng nguy cơ sâu chân răng do không còn lớp nướu bảo vệ
Chân răng không có lớp men bảo vệ như thân răng, khi nướu bị tụt, phần chân răng lộ ra ngoài rất dễ bị tổn thương bởi vi khuẩn và axit trong thực phẩm. Điều này làm tăng nguy cơ sâu chân răng, một dạng sâu răng khó điều trị hơn so với sâu thân răng.
Cách phòng tránh sâu chân răng do tụt lợi:
- Sử dụng kem đánh răng chứa fluoride để giúp bảo vệ chân răng.
- Hạn chế thực phẩm có tính axit cao như nước ngọt, chanh, giấm.
- Đánh răng đúng cách và sử dụng chỉ nha khoa để làm sạch các kẽ răng.
Dễ mắc bệnh viêm nha chu, làm răng lung lay và mất răng
Tụt lợi thường đi kèm với viêm nướu hoặc viêm nha chu – những bệnh lý răng miệng nguy hiểm. Khi nướu bị tụt, vi khuẩn có thể tích tụ sâu hơn vào các túi nướu, làm tổn thương mô nâng đỡ răng và xương hàm. Nếu không điều trị kịp thời, viêm nha chu có thể khiến răng mất đi sự liên kết với xương hàm, trở nên lung lay và cuối cùng dẫn đến mất răng vĩnh viễn. Đây là hậu quả nghiêm trọng nhất của tụt lợi, ảnh hưởng trực tiếp đến khả năng ăn nhai và thẩm mỹ của hàm răng.
Vi khuẩn từ viêm lợi có thể lây lan, làm tăng nguy cơ bệnh tim mạch, tiểu đường
Ít ai biết rằng, tụt lợi và các bệnh viêm nha chu không chỉ ảnh hưởng đến răng miệng mà còn có thể gây ra nhiều bệnh lý toàn thân. Vi khuẩn từ viêm nướu có thể xâm nhập vào máu và làm tăng nguy cơ mắc bệnh tim mạch, tiểu đường, thậm chí là đột quỵ.
Những nguy cơ sức khỏe toàn thân do tụt lợi:
- Người mắc bệnh viêm nha chu có nguy cơ mắc bệnh tim mạch cao hơn so với người có nướu khỏe mạnh.
- Vi khuẩn từ viêm lợi có thể làm rối loạn lượng đường trong máu, khiến bệnh tiểu đường khó kiểm soát hơn.
- Nhiễm trùng từ nướu có thể ảnh hưởng đến hệ miễn dịch, làm tăng nguy cơ mắc các bệnh viêm nhiễm khác.
Khi nào cần điều trị tụt lợi ngay lập tức?
Nếu bạn gặp bất kỳ dấu hiệu nào sau đây, hãy đến ngay nha khoa để được kiểm tra và điều trị sớm:
- Nướu bị tụt xuống, răng trông dài hơn bình thường.
- Ê buốt răng kéo dài, đặc biệt khi ăn đồ nóng, lạnh hoặc chua.
- Chảy máu nướu thường xuyên khi đánh răng hoặc dùng chỉ nha khoa.
- Xuất hiện túi mủ, nướu sưng đỏ, có dấu hiệu viêm nhiễm.
- Răng lung lay, có dấu hiệu không còn chắc chắn trong ổ răng.
Việc phát hiện và điều trị sớm không chỉ giúp bảo vệ răng miệng mà còn ngăn ngừa nhiều biến chứng nguy hiểm khác. Nếu bạn đang gặp phải tình trạng tụt lợi, hãy đến ngay nha khoa để được tư vấn và điều trị kịp thời

Tụt lợi thường đi kèm với viêm nướu hoặc viêm nha chu – những bệnh lý răng miệng nguy hiểm
Cách Điều Trị Tụt Lợi Hiệu Quả – Giúp Nướu Khỏe Mạnh Trở Lại
Tụt lợi không thể tự khỏi mà cần có sự can thiệp phù hợp để ngăn ngừa tình trạng tiến triển nặng hơn. Tùy vào mức độ tụt lợi, bạn có thể áp dụng các phương pháp điều trị tại nhà hoặc đến nha khoa để được can thiệp chuyên sâu. Điều quan trọng là phải xác định đúng nguyên nhân gây tụt lợi để lựa chọn phương pháp điều trị hiệu quả nhất.
Điều trị tại nhà với các phương pháp tự nhiên
Với những trường hợp tụt lợi nhẹ, bạn có thể áp dụng các phương pháp tự nhiên để giúp nướu khỏe mạnh hơn, giảm viêm và ngăn ngừa tình trạng tiến triển.
Súc miệng bằng nước muối ấm giúp giảm viêm và sát khuẩn nướu
Nước muối có tính kháng khuẩn và giúp làm dịu mô nướu bị viêm. Việc súc miệng bằng nước muối ấm hàng ngày có thể giúp giảm viêm lợi, hạn chế vi khuẩn tích tụ ở chân răng và làm dịu cảm giác ê buốt. Bạn nên pha nước muối loãng (hoặc dùng nước muối sinh lý) và súc miệng 2-3 lần mỗi ngày để đạt hiệu quả tốt nhất.
Dùng tinh dầu tràm trà, dầu dừa để massage nướu, giúp tăng cường tuần hoàn máu
Tinh dầu tràm trà có đặc tính kháng khuẩn mạnh, giúp tiêu diệt vi khuẩn gây viêm nướu. Dầu dừa cũng có khả năng làm sạch khoang miệng, giảm viêm và hỗ trợ tái tạo mô nướu. Bạn có thể dùng một vài giọt tinh dầu tràm trà pha loãng hoặc dầu dừa để massage nhẹ nhàng vùng nướu bị tụt trong khoảng 1-2 phút, sau đó súc miệng lại bằng nước sạch.
Bổ sung vitamin C, canxi giúp nướu khỏe mạnh hơn
Vitamin C là một dưỡng chất quan trọng giúp tăng cường sức đề kháng cho nướu, hỗ trợ quá trình tái tạo mô nướu và giảm viêm. Canxi giúp củng cố xương hàm, ngăn ngừa tiêu xương – một trong những nguyên nhân làm răng lung lay do tụt lợi. Bạn nên bổ sung thực phẩm giàu vitamin C như cam, chanh, bưởi, kiwi và thực phẩm giàu canxi như sữa, hải sản, rau xanh để hỗ trợ sức khỏe răng miệng.
Điều trị chuyên sâu tại nha khoa
Trong trường hợp tụt lợi nghiêm trọng, việc điều trị tại nhà sẽ không thể giúp nướu phục hồi hoàn toàn. Lúc này, bạn cần đến nha khoa để được bác sĩ thăm khám và áp dụng các phương pháp điều trị chuyên sâu.
Cạo vôi răng và làm sạch túi nha chu để loại bỏ vi khuẩn gây viêm nướu
Cao răng là một trong những nguyên nhân chính gây tụt lợi. Khi mảng bám tích tụ lâu ngày, vi khuẩn sẽ phát triển mạnh mẽ, gây viêm nướu và làm nướu dần co rút xuống chân răng. Cạo vôi răng và làm sạch túi nha chu là bước đầu tiên trong quá trình điều trị tụt lợi. Bác sĩ sẽ sử dụng máy siêu âm để loại bỏ mảng bám cứng đầu quanh chân răng và dưới nướu, giúp ngăn chặn vi khuẩn tiếp tục tấn công mô nướu.
Ghép mô nướu: Áp dụng cho trường hợp tụt lợi nặng, giúp che phủ chân răng bị lộ
Ghép mô nướu là phương pháp hiệu quả giúp khôi phục phần nướu bị tụt nghiêm trọng. Trong quá trình này, bác sĩ sẽ lấy một phần mô nướu từ vùng khác trong miệng (thường là vòm họng) để đắp vào khu vực nướu bị tụt. Sau khi lành lại, mô nướu sẽ che phủ phần chân răng bị lộ, giúp bảo vệ răng khỏi ê buốt và vi khuẩn gây hại.
Dùng máng chống nghiến răng để giảm áp lực lên nướu, ngăn chặn tình trạng tụt lợi tiến triển
Nếu tụt lợi do thói quen nghiến răng, bác sĩ sẽ chỉ định sử dụng máng chống nghiến để bảo vệ răng. Nghiến răng khi ngủ tạo áp lực lớn lên răng và nướu, khiến nướu dần bị tụt xuống. Máng chống nghiến sẽ giúp phân bổ lực nhai đều hơn, bảo vệ mô nướu và ngăn ngừa tình trạng tụt lợi tiếp diễn.
Phẫu thuật tái tạo nướu trong trường hợp mô nướu đã bị mất nghiêm trọng
Với những trường hợp tụt lợi nặng, khi mô nướu không thể tự phục hồi, bác sĩ có thể chỉ định phẫu thuật tái tạo nướu. Phương pháp này giúp tái tạo lại mô nướu bị mất, cải thiện chức năng bảo vệ răng và hạn chế tình trạng ê buốt. Phẫu thuật tái tạo nướu thường được thực hiện bằng kỹ thuật vi phẫu, giúp quá trình lành thương nhanh chóng và hạn chế đau đớn cho bệnh nhân.
Cách Phòng Ngừa Tụt Lợi Hiệu Quả
Tụt lợi là tình trạng không thể tự hồi phục, vì vậy việc phòng ngừa ngay từ sớm là cách tốt nhất để bảo vệ sức khỏe nướu răng. Dưới đây là những biện pháp giúp bạn ngăn chặn tình trạng tụt lợi hiệu quả.
Đánh răng đúng cách, sử dụng bàn chải lông mềm và chải răng nhẹ nhàng
Đánh răng sai cách là một trong những nguyên nhân hàng đầu gây tụt lợi. Nhiều người có thói quen chải răng quá mạnh hoặc sử dụng bàn chải có lông cứng, dẫn đến tổn thương mô nướu và làm nướu dần co rút xuống.
Để bảo vệ nướu, bạn nên sử dụng bàn chải lông mềm và chải răng nhẹ nhàng theo chuyển động tròn hoặc theo chiều dọc thay vì chà ngang. Đánh răng ít nhất hai lần mỗi ngày với kem đánh răng chứa fluoride sẽ giúp củng cố men răng và bảo vệ nướu tốt hơn.
Dùng chỉ nha khoa mỗi ngày để loại bỏ vi khuẩn ở kẽ răng
Nhiều người chỉ đánh răng mà quên rằng vi khuẩn và mảng bám cũng tích tụ ở kẽ răng – nơi bàn chải không thể làm sạch hoàn toàn. Việc không dùng chỉ nha khoa có thể khiến vi khuẩn sinh sôi, dẫn đến viêm nướu và tụt lợi theo thời gian.
Hãy tạo thói quen sử dụng chỉ nha khoa ít nhất một lần mỗi ngày để loại bỏ thức ăn thừa và vi khuẩn ở các kẽ răng. Điều này sẽ giúp ngăn ngừa viêm nướu, viêm nha chu – nguyên nhân chính gây tụt lợi.
Hạn chế hút thuốc lá và ăn thực phẩm có tính axit cao
Hút thuốc lá không chỉ gây hại cho phổi mà còn ảnh hưởng nghiêm trọng đến nướu răng. Nicotine trong thuốc lá làm giảm lưu thông máu đến nướu, khiến nướu yếu dần và dễ bị tụt. Ngoài ra, khói thuốc còn làm giảm khả năng tự phục hồi của mô nướu, làm tăng nguy cơ viêm nha chu và tụt lợi.
Bên cạnh đó, thực phẩm có tính axit cao như chanh, giấm, nước ngọt có gas có thể làm mòn men răng và kích thích nướu, khiến nướu dễ bị tổn thương. Bạn nên hạn chế tiêu thụ các loại thực phẩm này hoặc uống nước sau khi ăn để giảm tác động xấu lên răng và nướu.
Khám răng định kỳ 6 tháng/lần để lấy cao răng và phát hiện sớm dấu hiệu tụt lợi
Việc thăm khám nha khoa định kỳ giúp phát hiện sớm các dấu hiệu của tụt lợi và điều trị kịp thời trước khi tình trạng trở nên nghiêm trọng. Các bác sĩ sẽ kiểm tra sức khỏe nướu, đo độ sâu túi nha chu và làm sạch cao răng – nguyên nhân chính gây viêm nướu dẫn đến tụt lợi.
Nếu bạn có nguy cơ cao bị tụt lợi do viêm nha chu hoặc nghiến răng, bác sĩ sẽ đưa ra những phương pháp phòng ngừa phù hợp như hướng dẫn kỹ thuật vệ sinh răng miệng đúng cách hoặc chỉ định sử dụng máng chống nghiến để bảo vệ răng.
Giữ chế độ ăn giàu canxi, vitamin C giúp nướu khỏe mạnh
Dinh dưỡng đóng vai trò quan trọng trong việc duy trì sức khỏe nướu. Bổ sung đủ canxi giúp răng và xương hàm chắc khỏe, trong khi vitamin C giúp tăng cường khả năng miễn dịch của nướu, hỗ trợ quá trình tái tạo mô nướu và chống viêm.
Những thực phẩm nên bổ sung để giúp nướu khỏe mạnh bao gồm:
- Canxi: Sữa, phô mai, sữa chua, hải sản.
- Vitamin C: Cam, bưởi, kiwi, dâu tây, ổi.
- Chất xơ: Rau xanh, cà rốt, táo giúp làm sạch răng tự nhiên và kích thích nướu.
Bên cạnh chế độ ăn uống, uống đủ nước cũng rất quan trọng để giữ cho khoang miệng luôn ẩm và giúp nước bọt trung hòa vi khuẩn có hại.

Tụt lợi là tình trạng không thể tự hồi phục, vì vậy việc phòng ngừa ngay từ sớm là cách tốt nhất để bảo vệ sức khỏe nướu răng
Khi Nào Cần Đến Nha Khoa Để Điều Trị Tụt Lợi?
Tụt lợi không chỉ ảnh hưởng đến thẩm mỹ mà còn có thể dẫn đến nhiều biến chứng nghiêm trọng nếu không được điều trị kịp thời. Việc nhận biết các dấu hiệu bất thường ở nướu sẽ giúp bạn có hướng xử lý sớm, ngăn chặn tình trạng tiến triển nặng hơn.
Nướu bị tụt nhiều, chân răng lộ rõ gây ê buốt
Một trong những dấu hiệu dễ nhận biết nhất của tụt lợi là phần chân răng lộ ra ngoài, khiến răng trông dài hơn bình thường. Khi nướu không còn che phủ chân răng, lớp ngà răng trở nên nhạy cảm, dễ bị kích thích khi tiếp xúc với thức ăn nóng, lạnh hoặc chua.
Nếu không điều trị kịp thời, tình trạng này có thể khiến bạn gặp khó khăn trong việc ăn uống, tăng nguy cơ sâu chân răng và viêm nha chu.
Chảy máu chân răng thường xuyên dù đã vệ sinh răng miệng đúng cách
Viêm nướu là nguyên nhân chính dẫn đến tụt lợi, thường đi kèm với hiện tượng chảy máu chân răng. Nếu bạn nhận thấy nướu bị sưng đỏ, dễ chảy máu khi đánh răng hoặc dùng chỉ nha khoa, đây có thể là dấu hiệu cảnh báo vi khuẩn đã xâm nhập vào mô nướu.
Khi tình trạng viêm kéo dài, nướu sẽ dần bị tổn thương và co rút, tạo điều kiện cho vi khuẩn xâm nhập sâu hơn, gây viêm nha chu và tiêu xương răng.
Răng lung lay hoặc có túi mủ quanh răng
Khi nướu bị tụt nghiêm trọng, răng không còn được giữ vững trong xương hàm, dẫn đến tình trạng lung lay. Nếu bạn cảm thấy răng không còn chắc chắn hoặc bị đau khi nhai, rất có thể tình trạng tụt lợi đã làm tổn thương cấu trúc nâng đỡ răng.
Ngoài ra, nếu có túi mủ xuất hiện quanh răng, đây là dấu hiệu viêm nha chu nặng. Vi khuẩn tích tụ trong túi nha chu có thể lan rộng, gây nhiễm trùng và ảnh hưởng đến các răng xung quanh. Nếu không điều trị sớm, nhiễm trùng có thể lan xuống xương hàm, dẫn đến tiêu xương và mất răng hàng loạt.
Đau nhức dai dẳng hoặc hôi miệng kéo dài
Hôi miệng dai dẳng dù đã vệ sinh răng miệng kỹ có thể là dấu hiệu của tụt lợi và viêm nha chu. Khi nướu bị tụt, vi khuẩn và thức ăn dễ tích tụ ở kẽ răng, tạo ra mùi hôi khó chịu.
Nếu bạn thường xuyên bị đau nhức răng không rõ nguyên nhân, rất có thể phần ngà răng hoặc tủy răng đã bị tổn thương do tụt lợi. Điều trị sớm sẽ giúp ngăn ngừa các biến chứng nguy hiểm như viêm tủy hoặc áp xe răng.
Bạn Cần Làm Gì Khi Phát Hiện Dấu Hiệu Tụt Lợi?
Nếu nhận thấy bất kỳ dấu hiệu nào kể trên, bạn nên đến nha khoa sớm để được kiểm tra và tư vấn phương pháp điều trị phù hợp. Bác sĩ sẽ đánh giá mức độ tụt lợi và đề xuất các giải pháp như:
- Cạo vôi răng để loại bỏ vi khuẩn gây viêm nướu.
- Ghép mô nướu để phục hồi phần nướu bị tụt nghiêm trọng.
- Điều trị viêm nha chu để ngăn chặn tình trạng vi khuẩn tiếp tục phá hủy nướu và xương hàm.
- Dùng máng chống nghiến răng nếu nguyên nhân tụt lợi là do thói quen nghiến răng.
Tụt lợi là tình trạng không thể tự phục hồi, nhưng nếu được phát hiện sớm, hoàn toàn có thể điều trị hiệu quả. Vì vậy, đừng chủ quan nếu bạn nhận thấy bất kỳ dấu hiệu bất thường nào ở nướu răng!
Tụt lợi không chỉ ảnh hưởng đến thẩm mỹ mà còn có thể dẫn đến nhiều biến chứng nghiêm trọng nếu không được điều trị kịp thời
Dịch Vụ Điều Trị Tụt Lợi Tại Nha Khoa Ngọc Tuấn – Thái Bình
Tụt lợi không chỉ ảnh hưởng đến thẩm mỹ mà còn gây ra nhiều vấn đề nghiêm trọng cho sức khỏe răng miệng nếu không được điều trị kịp thời. Tại Nha Khoa Ngọc Tuấn – Thái Bình, chúng tôi cung cấp các phương pháp điều trị tụt lợi hiện đại, an toàn và hiệu quả, giúp khắc phục tình trạng nướu bị thụt, bảo vệ răng chắc khỏe lâu dài.
Khám và tư vấn miễn phí – Xác định chính xác mức độ tụt lợi
Mỗi trường hợp tụt lợi đều có nguyên nhân và mức độ khác nhau, vì vậy, việc thăm khám kỹ lưỡng là rất quan trọng. Tại Nha Khoa Ngọc Tuấn, bạn sẽ được bác sĩ kiểm tra chi tiết tình trạng nướu, xác định nguyên nhân gây tụt lợi và đưa ra phương pháp điều trị phù hợp.
Điều trị viêm nướu, viêm nha chu chuyên sâu bằng công nghệ tiên tiến
Viêm nha chu là một trong những nguyên nhân hàng đầu gây tụt lợi. Chúng tôi áp dụng các phương pháp điều trị nha chu hiện đại như:
- Cạo vôi răng sâu dưới nướu giúp loại bỏ vi khuẩn tích tụ lâu ngày, giảm tình trạng viêm nướu.
- Nạo túi nha chu để loại bỏ vi khuẩn và mô viêm nhiễm, giúp nướu phục hồi nhanh chóng.
- Dùng laser nha khoa hỗ trợ làm sạch mô viêm, kích thích quá trình tái tạo nướu.
Cạo vôi răng không đau – Lấy sạch mảng bám dưới nướu
Cao răng tích tụ là nguyên nhân chính khiến vi khuẩn phát triển, gây viêm nướu và tụt lợi. Dịch vụ cạo vôi răng tại Nha Khoa Ngọc Tuấn sử dụng công nghệ siêu âm hiện đại, giúp loại bỏ mảng bám cứng đầu mà không gây đau hay tổn thương mô nướu.
Ghép mô nướu – Giải pháp phục hồi nướu bị tụt hiệu quả
Với những trường hợp tụt lợi nặng, ghép mô nướu là phương pháp tối ưu giúp tái tạo phần nướu đã bị mất, che phủ chân răng, giảm ê buốt và cải thiện thẩm mỹ. Tại Nha Khoa Ngọc Tuấn, chúng tôi thực hiện kỹ thuật ghép nướu an toàn, đảm bảo mang lại hiệu quả lâu dài.
Đội ngũ bác sĩ giàu kinh nghiệm – Chăm sóc tận tâm, chuyên nghiệp
Nha Khoa Ngọc Tuấn sở hữu đội ngũ bác sĩ chuyên khoa nha chu giàu kinh nghiệm, tận tâm với khách hàng. Chúng tôi cam kết mang đến dịch vụ điều trị tụt lợi an toàn, không đau, giúp bạn lấy lại nụ cười khỏe mạnh và tự tin.
Địa chỉ: 662 Lý Bôn, TP. Thái Bình
Hotline: 093 352 83 38
Website: https://nhakhoangoctuan.vn
Nếu bạn đang gặp tình trạng tụt lợi, đừng chần chừ – hãy đặt lịch ngay hôm nay để được tư vấn và điều trị hiệu quả tại Nha Khoa Ngọc Tuấn!


