Tóm tắt nội dung [Ẩn]
- Viêm Nha Chu Là Gì? Tổng Quan Về Bệnh Lý Nha Chu
- Nguyên Nhân Gây Viêm Nha Chu
- Dấu Hiệu Nhận Biết Viêm Nha Chu
- Nướu sưng đỏ, dễ chảy máu khi đánh răng hoặc dùng chỉ nha khoa
- Hơi thở có mùi hôi dai dẳng do vi khuẩn tích tụ trong túi nha chu
- Nướu bị tụt, chân răng lộ rõ hơn so với bình thường
- Xuất hiện túi mủ giữa răng và nướu, gây đau nhức và khó chịu
- Răng lung lay, mất độ bám chắc vào nướu, ảnh hưởng đến khả năng nhai
- Viêm Nha Chu Có Nguy Hiểm Không? Những Biến Chứng Cần Lưu Ý
- Mất răng vĩnh viễn – Hậu quả nghiêm trọng nhất của viêm nha chu
- Tiêu xương hàm – Ảnh hưởng nghiêm trọng đến thẩm mỹ khuôn mặt
- Tăng nguy cơ bệnh tim mạch – Vi khuẩn từ viêm nha chu có thể xâm nhập vào máu
- Ảnh hưởng đến phụ nữ mang thai – Nguy cơ sinh non và trẻ nhẹ cân
- Gây viêm nhiễm lan rộng – Nguy cơ nhiễm trùng nghiêm trọng
- Viêm nha chu có thể điều trị được không?
- Viêm nha chu kéo dài không chỉ làm mất răng mà còn gây tiêu xương hàm, làm giảm thể tích xương nâng đỡ, dẫn đến biến dạng khuôn mặt
- Cách Chẩn Đoán Viêm Nha Chu Tại Nha Khoa
- Các Phương Pháp Điều Trị Viêm Nha Chu Hiệu Quả
- Cạo vôi răng và làm sạch sâu – Loại bỏ vi khuẩn gây viêm
- Nạo túi nha chu – Làm sạch vi khuẩn bên trong túi nướu
- Sử dụng thuốc kháng sinh – Hỗ trợ kiểm soát viêm nhiễm
- Ghép mô nướu hoặc xương – Điều trị viêm nha chu nặng
- Điều trị bằng laser nha khoa – Công nghệ hiện đại, không đau, nhanh hồi phục
- Viêm nha chu là bệnh lý nguy hiểm nhưng có thể kiểm soát nếu được điều trị đúng cách
- Cách Phòng Ngừa Viêm Nha Chu Hiệu Quả
- Đánh răng đúng cách – Bước quan trọng nhất để bảo vệ nướu
- Dùng chỉ nha khoa và nước súc miệng – Loại bỏ vi khuẩn ở kẽ răng
- Hạn chế hút thuốc lá và sử dụng rượu bia – Bảo vệ nướu khỏi viêm nhiễm
- Ăn uống lành mạnh – Bổ sung thực phẩm giúp nướu khỏe mạnh
- Khám răng định kỳ – Biện pháp quan trọng để ngăn ngừa viêm nha chu
- Thực Phẩm Giúp Tăng Cường Sức Khỏe Nướu Răng
- Thực phẩm giàu vitamin C – Tăng cường sức đề kháng cho nướu
- Rau xanh và thực phẩm giàu chất xơ – Làm sạch răng tự nhiên
- Các sản phẩm từ sữa – Bổ sung canxi giúp răng và xương hàm chắc khỏe
- Trà xanh – Chứa chất chống oxy hóa giúp ngăn ngừa vi khuẩn gây viêm nướu
- Uống đủ nước – Duy trì độ ẩm cho khoang miệng, kích thích tiết nước bọt
- Câu Hỏi Thường Gặp Về Viêm Nha Chu
- Viêm nha chu có tự khỏi không?
- Viêm nha chu có gây mất răng không?
- Cạo vôi răng có giúp chữa viêm nha chu không?
- Có nên nhổ răng bị viêm nha chu nặng không?
- Viêm nha chu có di truyền không?
- Viêm nha chu thường không có triệu chứng rõ ràng ở giai đoạn đầu, vì vậy nhiều người chỉ phát hiện bệnh khi đã quá muộn
- Dịch Vụ Điều Trị Viêm Nha Chu Tại Nha Khoa Ngọc Tuấn – Thái Bình
- Đặt lịch ngay để bảo vệ sức khỏe răng miệng
Viêm Nha Chu Là Gì? Tổng Quan Về Bệnh Lý Nha Chu
Viêm nha chu là một bệnh lý răng miệng nghiêm trọng, ảnh hưởng trực tiếp đến nướu, mô mềm và xương nâng đỡ răng. Đây là giai đoạn nặng hơn của viêm nướu, khi vi khuẩn từ mảng bám và cao răng tích tụ lâu ngày, gây nhiễm trùng và làm suy yếu cấu trúc nâng đỡ răng. Nếu không được điều trị kịp thời, viêm nha chu có thể dẫn đến tụt nướu, lung lay răng và thậm chí mất răng vĩnh viễn.
Bệnh lý này thường diễn tiến âm thầm, ban đầu chỉ là nướu sưng đỏ, dễ chảy máu khi đánh răng, nhưng nếu không kiểm soát, tình trạng viêm sẽ ngày càng lan rộng, hình thành túi nha chu chứa đầy vi khuẩn. Lâu dần, mô xương xung quanh răng bị phá hủy, khiến răng mất điểm tựa và rụng dần.
Viêm nha chu không chỉ ảnh hưởng đến sức khỏe răng miệng mà còn có thể liên quan đến nhiều bệnh lý toàn thân như bệnh tim mạch, tiểu đường và thậm chí làm tăng nguy cơ đột quỵ. Theo các nghiên cứu nha khoa, đây là một trong những nguyên nhân hàng đầu gây mất răng ở người lớn.
Điều đáng lo ngại là viêm nha chu không thể tự khỏi mà cần có can thiệp nha khoa để loại bỏ ổ vi khuẩn, làm sạch túi nha chu và ngăn ngừa tổn thương tiến triển nặng hơn. Chính vì vậy, việc phát hiện sớm, điều trị kịp thời và duy trì thói quen chăm sóc răng miệng đúng cách đóng vai trò quan trọng trong việc kiểm soát bệnh lý này.
Nếu bạn đang gặp tình trạng nướu sưng đỏ, chảy máu chân răng, hơi thở có mùi hôi hoặc răng lung lay, hãy đến Nha Khoa Ngọc Tuấn – Thái Bình để được khám và điều trị viêm nha chu tận gốc, giúp bảo vệ sức khỏe răng miệng lâu dài.

Viêm nha chu là một bệnh lý răng miệng nghiêm trọng, ảnh hưởng trực tiếp đến nướu, mô mềm và xương nâng đỡ răng
Nguyên Nhân Gây Viêm Nha Chu
Viêm nha chu không xảy ra đột ngột mà thường phát triển do sự tích tụ lâu ngày của vi khuẩn trong khoang miệng. Những nguyên nhân chính gây ra bệnh này bao gồm vệ sinh răng miệng kém, thói quen sinh hoạt không tốt và một số bệnh lý toàn thân. Nếu không kiểm soát kịp thời, vi khuẩn có thể tấn công nướu, xương nâng đỡ răng và gây mất răng vĩnh viễn.
Mảng bám và cao răng – Nguyên nhân hàng đầu
Sau mỗi bữa ăn, mảng bám từ thức ăn thừa và vi khuẩn sẽ bám vào bề mặt răng. Nếu không được làm sạch kịp thời, mảng bám này sẽ cứng lại và hình thành cao răng, là môi trường lý tưởng cho vi khuẩn phát triển. Cao răng chứa hàng triệu vi khuẩn có hại, có thể gây viêm nhiễm nướu, tụt nướu và tiêu xương nếu không được loại bỏ định kỳ.
Vệ sinh răng miệng kém – Điều kiện thuận lợi cho vi khuẩn sinh sôi
Việc đánh răng không đúng cách, không dùng chỉ nha khoa hoặc nước súc miệng sẽ tạo điều kiện cho vi khuẩn phát triển mạnh. Vi khuẩn trong kẽ răng và túi nha chu là nguyên nhân chính gây viêm nhiễm kéo dài, làm nướu sưng đỏ, chảy máu và dần dần phá hủy mô nâng đỡ răng.
Hút thuốc lá – Thủ phạm làm tăng nguy cơ viêm nha chu
Nicotine trong thuốc lá làm giảm lưu thông máu đến nướu, khiến nướu suy yếu và dễ bị vi khuẩn tấn công. Ngoài ra, hút thuốc còn làm giảm khả năng tự phục hồi của mô nướu, khiến viêm nha chu dễ trở nên nghiêm trọng hơn. Nhiều nghiên cứu cho thấy người hút thuốc lá có nguy cơ mắc viêm nha chu cao gấp 2-3 lần so với người không hút thuốc.
Bệnh lý toàn thân – Yếu tố nguy cơ khiến bệnh tiến triển nhanh hơn
Những người mắc bệnh tiểu đường, trào ngược dạ dày (GERD), suy giảm miễn dịch hoặc rối loạn nội tiết thường có nguy cơ cao bị viêm nha chu. Tiểu đường làm suy giảm khả năng đề kháng của cơ thể, khiến vi khuẩn dễ tấn công nướu hơn. Trong khi đó, trào ngược dạ dày có thể làm mòn men răng, tạo điều kiện để vi khuẩn xâm nhập vào mô nướu.
Thói quen ăn uống không khoa học – Góp phần làm tăng vi khuẩn gây hại
Chế độ ăn nhiều đường, tinh bột, thực phẩm chế biến sẵn có thể nuôi dưỡng vi khuẩn gây viêm nha chu. Khi đường và tinh bột kết hợp với vi khuẩn trong khoang miệng, chúng sẽ tạo ra axit tấn công nướu và mô răng. Ngoài ra, việc thiếu hụt vitamin C, canxi và omega-3 cũng làm suy yếu nướu, tăng nguy cơ viêm nhiễm.
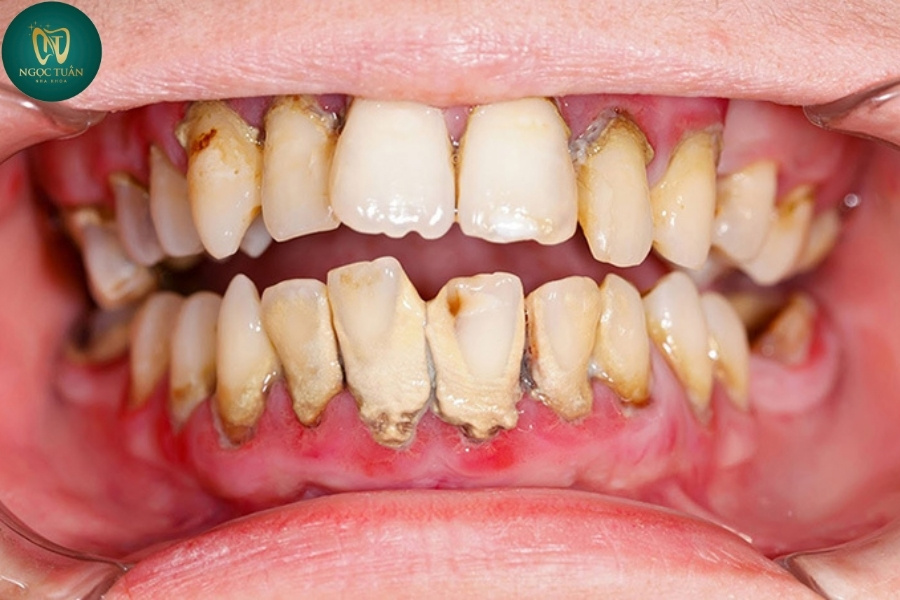
Dấu Hiệu Nhận Biết Viêm Nha Chu
Viêm nha chu thường phát triển âm thầm và không có triệu chứng rõ rệt ở giai đoạn đầu. Tuy nhiên, nếu không được phát hiện và điều trị kịp thời, bệnh có thể tiến triển nhanh chóng, gây ra tổn thương nướu, tiêu xương hàm và thậm chí mất răng vĩnh viễn. Dưới đây là những dấu hiệu phổ biến giúp bạn nhận biết sớm viêm nha chu.
Nướu sưng đỏ, dễ chảy máu khi đánh răng hoặc dùng chỉ nha khoa
Một trong những dấu hiệu đầu tiên của viêm nha chu là nướu bị viêm, sưng đỏ và dễ chảy máu khi có tác động nhẹ như chải răng hoặc dùng chỉ nha khoa. Khi vi khuẩn tích tụ dưới nướu, hệ thống miễn dịch sẽ phản ứng lại, gây viêm và làm mạch máu trong nướu giãn nở, khiến nướu trở nên nhạy cảm hơn. Nếu bạn nhận thấy máu xuất hiện thường xuyên khi chải răng, đây có thể là dấu hiệu viêm nha chu đã bắt đầu phát triển.
Hơi thở có mùi hôi dai dẳng do vi khuẩn tích tụ trong túi nha chu
Hôi miệng kéo dài dù đã vệ sinh răng miệng kỹ lưỡng có thể là một triệu chứng quan trọng của viêm nha chu. Khi túi nha chu hình thành, vi khuẩn tích tụ và phân hủy mô nướu, tạo ra hợp chất sulfur gây mùi hôi khó chịu. Nếu bạn nhận thấy hơi thở có mùi hôi mãn tính, không cải thiện sau khi dùng nước súc miệng hoặc đánh răng, hãy đến nha khoa để kiểm tra.
Nướu bị tụt, chân răng lộ rõ hơn so với bình thường
Khi viêm nha chu tiến triển, nướu bắt đầu bị tụt, khiến chân răng bị lộ ra ngoài. Điều này không chỉ làm răng trông dài hơn bình thường mà còn khiến răng trở nên nhạy cảm với đồ ăn nóng, lạnh. Nếu không điều trị sớm, tình trạng tụt nướu có thể khiến vi khuẩn dễ dàng xâm nhập vào phần chân răng, làm tăng nguy cơ tiêu xương hàm.
Xuất hiện túi mủ giữa răng và nướu, gây đau nhức và khó chịu
Ở giai đoạn viêm nha chu nặng, túi nha chu có thể tích tụ vi khuẩn, mủ và mô hoại tử, gây viêm nhiễm nghiêm trọng. Những túi mủ này có thể khiến nướu sưng to, đau nhức, thậm chí có thể vỡ ra, tạo điều kiện cho vi khuẩn lây lan sang các khu vực khác. Đây là dấu hiệu cảnh báo viêm nha chu đã chuyển sang giai đoạn nguy hiểm, cần điều trị ngay lập tức.
Răng lung lay, mất độ bám chắc vào nướu, ảnh hưởng đến khả năng nhai
Một trong những hậu quả nghiêm trọng nhất của viêm nha chu là răng bị lung lay do tiêu xương hàm. Khi vi khuẩn phá hủy các mô liên kết và xương nâng đỡ răng, răng không còn chỗ bám vững chắc, dẫn đến tình trạng lung lay, đau khi nhai và có nguy cơ mất răng vĩnh viễn. Nếu bạn cảm thấy răng không còn chắc chắn như trước, hãy đến nha khoa ngay để tránh mất răng.
Viêm Nha Chu Có Nguy Hiểm Không? Những Biến Chứng Cần Lưu Ý
Viêm nha chu không chỉ ảnh hưởng đến sức khỏe răng miệng mà còn tiềm ẩn nhiều nguy cơ gây hại cho sức khỏe toàn thân nếu không được điều trị kịp thời. Khi bệnh tiến triển nặng, vi khuẩn có thể xâm nhập sâu vào xương hàm, máu và các cơ quan khác, gây ra nhiều biến chứng nghiêm trọng. Dưới đây là những hậu quả mà viêm nha chu có thể gây ra nếu không được kiểm soát.
Mất răng vĩnh viễn – Hậu quả nghiêm trọng nhất của viêm nha chu
Khi vi khuẩn tấn công mô nướu và xương nâng đỡ răng, cấu trúc nâng đỡ này sẽ bị phá hủy dần, khiến răng mất điểm tựa và lung lay nghiêm trọng. Nếu không điều trị kịp thời, răng có thể tự rụng hoặc phải nhổ bỏ do không còn khả năng giữ lại. Đây là lý do vì sao viêm nha chu là nguyên nhân hàng đầu gây mất răng ở người lớn.
Tiêu xương hàm – Ảnh hưởng nghiêm trọng đến thẩm mỹ khuôn mặt
Viêm nha chu kéo dài không chỉ làm mất răng mà còn gây tiêu xương hàm, làm giảm thể tích xương nâng đỡ, dẫn đến biến dạng khuôn mặt. Khi mất xương hàm, khuôn mặt có thể bị hóp lại, da chảy xệ, nếp nhăn xuất hiện nhiều hơn, khiến người bệnh trông già đi so với tuổi. Nếu không điều trị sớm, việc trồng răng thay thế cũng trở nên khó khăn hơn vì thiếu mô xương nâng đỡ.
Tăng nguy cơ bệnh tim mạch – Vi khuẩn từ viêm nha chu có thể xâm nhập vào máu
Các nghiên cứu cho thấy, vi khuẩn từ túi nha chu có thể xâm nhập vào máu, làm tăng nguy cơ viêm mạch máu, xơ vữa động mạch và đột quỵ. Bệnh nhân viêm nha chu có nguy cơ mắc bệnh tim mạch cao hơn gấp 2-3 lần so với người bình thường. Vi khuẩn gây viêm nha chu cũng có thể làm tăng huyết áp, gây viêm nội mạc tim và ảnh hưởng đến hệ tuần hoàn.
Ảnh hưởng đến phụ nữ mang thai – Nguy cơ sinh non và trẻ nhẹ cân
Viêm nha chu có liên quan mật thiết đến sức khỏe của phụ nữ mang thai. Khi nướu bị viêm nhiễm nặng, cơ thể sẽ sản xuất nhiều chất gây viêm, có thể kích thích cơn co tử cung sớm, làm tăng nguy cơ sinh non hoặc trẻ sơ sinh nhẹ cân. Đây là lý do vì sao phụ nữ mang thai cần đặc biệt chăm sóc sức khỏe răng miệng và điều trị viêm nha chu ngay từ giai đoạn đầu.
Gây viêm nhiễm lan rộng – Nguy cơ nhiễm trùng nghiêm trọng
Túi nha chu chứa hàng triệu vi khuẩn gây hại, nếu không được kiểm soát, vi khuẩn này có thể lây lan sang các mô xung quanh, gây viêm loét nướu, áp xe răng, thậm chí nhiễm trùng huyết nếu vi khuẩn vào máu. Một số trường hợp viêm nha chu nặng còn có thể dẫn đến hoại tử mô, làm tổn thương nghiêm trọng khoang miệng và xương hàm.
Viêm nha chu có thể điều trị được không?
Viêm nha chu không thể tự khỏi nhưng có thể được điều trị hiệu quả nếu phát hiện sớm. Các phương pháp điều trị sẽ giúp kiểm soát vi khuẩn, giảm viêm nhiễm và ngăn ngừa tổn thương tiến triển.

Viêm nha chu kéo dài không chỉ làm mất răng mà còn gây tiêu xương hàm, làm giảm thể tích xương nâng đỡ, dẫn đến biến dạng khuôn mặt
Cách Chẩn Đoán Viêm Nha Chu Tại Nha Khoa
Viêm nha chu thường tiến triển âm thầm, nhiều người không nhận ra mình mắc bệnh cho đến khi nướu bị sưng đỏ, chảy máu, răng lung lay hoặc hơi thở có mùi hôi. Để xác định chính xác mức độ bệnh, nha sĩ sẽ thực hiện một loạt các bước chẩn đoán chuyên sâu. Việc chẩn đoán sớm giúp điều trị hiệu quả hơn, ngăn ngừa biến chứng nghiêm trọng như tiêu xương hàm hay mất răng vĩnh viễn.
Khám lâm sàng – Đánh giá tổng quát tình trạng nướu
Bước đầu tiên trong quy trình chẩn đoán là khám lâm sàng. Nha sĩ sẽ kiểm tra tình trạng sưng đỏ, chảy máu, viêm nhiễm của nướu cũng như mức độ bám chắc của răng vào nướu. Viêm nha chu thường đi kèm với hiện tượng tụt nướu, lộ chân răng và hơi thở có mùi hôi, những dấu hiệu này sẽ giúp nha sĩ nhận định mức độ bệnh lý.
Chụp X-quang – Đánh giá tình trạng tiêu xương hàm
Chụp X-quang răng là một bước quan trọng để kiểm tra mức độ tổn thương của mô xương nâng đỡ răng. Khi viêm nha chu tiến triển, vi khuẩn có thể phá hủy xương ổ răng, làm giảm thể tích xương và khiến răng lung lay. Qua hình ảnh X-quang, nha sĩ có thể xác định được xương hàm bị tiêu bao nhiêu, vi khuẩn đã tấn công sâu đến đâu, từ đó đưa ra phương pháp điều trị phù hợp.
Đo độ sâu túi nha chu – Đánh giá mức độ viêm nhiễm
Túi nha chu là khoảng trống giữa răng và nướu, nơi vi khuẩn tích tụ và gây viêm nhiễm. Nha sĩ sẽ sử dụng thước đo chuyên dụng để kiểm tra độ sâu của túi nha chu. Ở người khỏe mạnh, túi nha chu có độ sâu dưới 3mm. Nếu túi nha chu sâu từ 4-6mm, có thể là dấu hiệu của viêm nha chu giai đoạn trung bình. Nếu túi nha chu trên 7mm, bệnh đã tiến triển nghiêm trọng, vi khuẩn có thể đã xâm nhập sâu vào xương hàm.
Kiểm tra mức độ lung lay của răng – Đánh giá khả năng bám chắc của răng vào nướu
Khi viêm nha chu không được kiểm soát, mô nướu và xương nâng đỡ răng bị phá hủy, khiến răng mất dần độ bám chắc. Nha sĩ sẽ kiểm tra độ lung lay của răng để xác định xem răng có còn khả năng giữ lại hay cần điều trị can thiệp.
Xét nghiệm vi khuẩn – Phân tích nguyên nhân gây bệnh
Trong một số trường hợp, nếu bệnh viêm nha chu tiến triển nhanh hoặc không đáp ứng điều trị thông thường, nha sĩ có thể chỉ định xét nghiệm vi khuẩn để xác định loại vi khuẩn gây viêm nha chu. Điều này giúp bác sĩ lựa chọn phương pháp điều trị chính xác hơn, đặc biệt là khi cần sử dụng thuốc kháng sinh hỗ trợ.
Các Phương Pháp Điều Trị Viêm Nha Chu Hiệu Quả
Viêm nha chu là bệnh lý nguy hiểm nhưng có thể kiểm soát nếu được điều trị đúng cách. Tùy vào mức độ tổn thương của nướu và xương hàm, nha sĩ sẽ áp dụng các phương pháp điều trị từ cơ bản đến chuyên sâu để loại bỏ vi khuẩn, ngăn ngừa bệnh tiến triển và bảo vệ răng miệng lâu dài.
Cạo vôi răng và làm sạch sâu – Loại bỏ vi khuẩn gây viêm
Cao răng là môi trường lý tưởng để vi khuẩn sinh sôi, gây viêm nướu và nha chu. Vì vậy, bước đầu tiên trong điều trị viêm nha chu là cạo vôi răng và làm sạch sâu dưới nướu. Bác sĩ sẽ sử dụng dụng cụ siêu âm để loại bỏ cao răng cứng đầu, giúp nướu khỏe mạnh hơn và giảm viêm nhiễm. Đây là phương pháp đơn giản nhưng cực kỳ quan trọng, nên được thực hiện định kỳ 3-6 tháng/lần để ngăn ngừa viêm nha chu tái phát.
Nạo túi nha chu – Làm sạch vi khuẩn bên trong túi nướu
Khi viêm nha chu tiến triển, túi nha chu trở nên sâu hơn, chứa nhiều vi khuẩn, mủ và mô viêm. Bác sĩ sẽ tiến hành nạo túi nha chu, loại bỏ vi khuẩn, mô viêm và làm sạch tận gốc. Sau khi nạo sạch, túi nha chu sẽ co lại, giúp nướu ôm sát răng, hạn chế vi khuẩn tiếp tục phát triển.
Sử dụng thuốc kháng sinh – Hỗ trợ kiểm soát viêm nhiễm
Trong một số trường hợp, bác sĩ có thể kê kháng sinh dạng uống, gel hoặc nước súc miệng để giúp tiêu diệt vi khuẩn gây viêm nha chu. Các loại thuốc thường dùng bao gồm chlorhexidine, doxycycline hoặc metronidazole. Tuy nhiên, kháng sinh chỉ là hỗ trợ, không thể thay thế hoàn toàn phương pháp làm sạch răng và nạo túi nha chu.
Ghép mô nướu hoặc xương – Điều trị viêm nha chu nặng
Nếu viêm nha chu gây tụt nướu nghiêm trọng hoặc tiêu xương hàm, bác sĩ có thể thực hiện ghép mô nướu hoặc ghép xương để tái tạo lại mô bị mất.
- Ghép nướu giúp che phủ chân răng bị lộ, bảo vệ răng khỏi tác động bên ngoài.
- Ghép xương giúp khôi phục xương hàm bị tiêu, tạo nền tảng vững chắc để răng không bị lung lay.
Điều trị bằng laser nha khoa – Công nghệ hiện đại, không đau, nhanh hồi phục
Laser nha khoa là phương pháp tiên tiến giúp loại bỏ vi khuẩn viêm nha chu một cách chính xác, ít xâm lấn, không đau và giảm chảy máu. So với phương pháp truyền thống, điều trị bằng laser có nhiều ưu điểm:
- Tiêu diệt vi khuẩn nhanh chóng, ngăn chặn viêm nhiễm lan rộng.
- Giảm đau, giảm chảy máu, hạn chế tổn thương mô lành.
- Thời gian hồi phục nhanh, không cần nghỉ dưỡng lâu.

Viêm nha chu là bệnh lý nguy hiểm nhưng có thể kiểm soát nếu được điều trị đúng cách
Cách Phòng Ngừa Viêm Nha Chu Hiệu Quả
Viêm nha chu là bệnh lý nguy hiểm nhưng hoàn toàn có thể phòng tránh nếu bạn chăm sóc răng miệng đúng cách. Ngăn ngừa viêm nha chu không chỉ giúp bảo vệ sức khỏe răng miệng mà còn giảm nguy cơ mất răng, tiêu xương và mắc các bệnh lý toàn thân. Dưới đây là những phương pháp hiệu quả nhất giúp bạn giữ nướu khỏe mạnh và ngăn ngừa viêm nha chu.
Đánh răng đúng cách – Bước quan trọng nhất để bảo vệ nướu
Đánh răng hàng ngày là biện pháp cơ bản nhưng nếu thực hiện sai cách, vi khuẩn vẫn có thể phát triển mạnh. Hãy lưu ý:
- Đánh răng ít nhất 2 lần/ngày sau khi ăn sáng và trước khi đi ngủ.
- Sử dụng bàn chải lông mềm, chải nhẹ nhàng theo chiều dọc để tránh làm tổn thương nướu.
- Dùng kem đánh răng chứa fluoride giúp bảo vệ men răng và ngăn ngừa vi khuẩn.
- Thay bàn chải 3 tháng/lần hoặc ngay khi lông bàn chải bị xơ cứng.
Dùng chỉ nha khoa và nước súc miệng – Loại bỏ vi khuẩn ở kẽ răng
Chỉ đánh răng thôi chưa đủ để loại bỏ vi khuẩn trong khoang miệng. Vi khuẩn và thức ăn thừa có thể tích tụ ở kẽ răng, tạo thành mảng bám cứng đầu. Vì vậy, hãy sử dụng chỉ nha khoa hàng ngày để làm sạch các vùng mà bàn chải không tiếp cận được. Ngoài ra, súc miệng bằng nước muối ấm hoặc nước súc miệng kháng khuẩn giúp tiêu diệt vi khuẩn, giảm nguy cơ viêm nướu và viêm nha chu.
Hạn chế hút thuốc lá và sử dụng rượu bia – Bảo vệ nướu khỏi viêm nhiễm
Hút thuốc lá là một trong những nguyên nhân hàng đầu gây viêm nha chu, tụt nướu và mất răng sớm. Nicotine trong thuốc lá làm giảm lưu thông máu đến nướu, khiến nướu yếu hơn, dễ bị viêm nhiễm. Rượu bia cũng có thể làm khô miệng, tạo điều kiện cho vi khuẩn gây viêm nha chu phát triển mạnh hơn. Nếu muốn có hàm răng và nướu khỏe mạnh, hãy hạn chế hoặc từ bỏ thói quen này càng sớm càng tốt.
Ăn uống lành mạnh – Bổ sung thực phẩm giúp nướu khỏe mạnh
Chế độ ăn uống có ảnh hưởng lớn đến sức khỏe răng miệng. Để bảo vệ nướu, hãy tăng cường những thực phẩm có lợi như:
- Vitamin C (cam, chanh, dâu tây, ổi) giúp tăng sức đề kháng, ngăn ngừa viêm nướu.
- Canxi (sữa, phô mai, hạnh nhân) giúp răng và xương hàm chắc khỏe hơn.
- Rau xanh, cần tây, cà rốt giúp làm sạch mảng bám tự nhiên, giảm nguy cơ viêm nha chu.
- Uống đủ nước để kích thích tiết nước bọt, giúp loại bỏ vi khuẩn trong khoang miệng.
Khám răng định kỳ – Biện pháp quan trọng để ngăn ngừa viêm nha chu
Viêm nha chu thường không có triệu chứng rõ ràng ở giai đoạn đầu, vì vậy nhiều người chỉ phát hiện bệnh khi đã quá muộn. Để ngăn ngừa viêm nha chu, hãy khám răng định kỳ 6 tháng/lần tại nha khoa để được:
- Lấy cao răng và làm sạch răng chuyên sâu, loại bỏ vi khuẩn gây bệnh.
- Kiểm tra sức khỏe nướu, phát hiện sớm viêm nướu hoặc viêm nha chu.
- Tư vấn cách chăm sóc răng miệng phù hợp, giúp bảo vệ răng và nướu hiệu quả hơn.
Thực Phẩm Giúp Tăng Cường Sức Khỏe Nướu Răng
Chế độ ăn uống có ảnh hưởng trực tiếp đến sức khỏe răng miệng, đặc biệt là nướu răng. Nếu không cung cấp đủ dinh dưỡng cần thiết, nướu có thể trở nên yếu, dễ viêm nhiễm và chảy máu. Bổ sung thực phẩm giàu vitamin và khoáng chất không chỉ giúp nướu khỏe mạnh mà còn hỗ trợ ngăn ngừa viêm nha chu, viêm nướu. Dưới đây là những thực phẩm tốt nhất giúp bảo vệ nướu và tăng cường sức khỏe răng miệng.
Thực phẩm giàu vitamin C – Tăng cường sức đề kháng cho nướu
Vitamin C đóng vai trò quan trọng trong việc tăng cường sức đề kháng, giúp nướu chắc khỏe và giảm nguy cơ viêm nhiễm. Nếu thiếu vitamin C, nướu có thể trở nên yếu, dễ bị viêm, sưng đỏ và chảy máu. Các thực phẩm giàu vitamin C mà bạn nên bổ sung hàng ngày gồm:
- Cam, chanh, bưởi, dâu tây, kiwi – Giàu vitamin C, giúp tăng cường khả năng chống viêm.
- Ổi, ớt chuông, cà chua – Hỗ trợ tái tạo mô nướu, giúp vết thương nhanh lành.
- Rau xanh như cải bó xôi, cải xoăn – Không chỉ giàu vitamin C mà còn chứa nhiều chất chống oxy hóa tốt cho nướu.
Rau xanh và thực phẩm giàu chất xơ – Làm sạch răng tự nhiên
Rau xanh và thực phẩm chứa nhiều chất xơ không chỉ tốt cho tiêu hóa mà còn giúp làm sạch mảng bám trên răng một cách tự nhiên. Khi nhai các loại thực phẩm này, chúng sẽ giúp loại bỏ mảng bám, kích thích tuyến nước bọt, từ đó giảm vi khuẩn gây viêm nướu.
- Cần tây, cà rốt, táo, lê – Giúp làm sạch răng tự nhiên, ngăn ngừa vi khuẩn bám vào nướu.
- Bông cải xanh, rau bina – Giàu chất xơ, vitamin C, tốt cho sức khỏe nướu và răng.
Các sản phẩm từ sữa – Bổ sung canxi giúp răng và xương hàm chắc khỏe
Canxi là thành phần cốt lõi giúp răng và xương hàm khỏe mạnh. Thiếu canxi có thể làm răng yếu, dễ lung lay và tăng nguy cơ viêm nướu. Các sản phẩm từ sữa cung cấp canxi và photpho, giúp tái khoáng men răng, bảo vệ răng trước tác động của vi khuẩn.
- Sữa tươi, phô mai, sữa chua – Giúp củng cố men răng, tăng cường xương hàm.
- Hạnh nhân, cá hồi, đậu phụ – Cung cấp canxi thực vật, tốt cho người không dung nạp lactose.
Trà xanh – Chứa chất chống oxy hóa giúp ngăn ngừa vi khuẩn gây viêm nướu
Trà xanh chứa catechin, một chất chống oxy hóa có khả năng giảm vi khuẩn trong khoang miệng, ngăn chặn quá trình viêm nhiễm ở nướu. Uống trà xanh hàng ngày có thể giúp giảm nguy cơ viêm nướu, viêm nha chu và hơi thở có mùi hôi. Tuy nhiên, hãy lưu ý:
- Dùng trà xanh không đường để tránh tác động xấu đến men răng.
- Không uống trà quá nóng, vì có thể gây kích ứng nướu nhạy cảm.
Uống đủ nước – Duy trì độ ẩm cho khoang miệng, kích thích tiết nước bọt
Nước bọt là lá chắn tự nhiên giúp bảo vệ răng và nướu khỏi vi khuẩn có hại. Khi cơ thể bị mất nước, lượng nước bọt tiết ra sẽ giảm, tạo điều kiện cho vi khuẩn phát triển mạnh hơn. Để duy trì nướu khỏe mạnh, bạn nên:
- Uống đủ 2 – 2,5 lít nước/ngày để giữ ẩm khoang miệng.
- Tránh đồ uống có cồn, cà phê, nước ngọt có gas vì có thể gây khô miệng và làm vi khuẩn phát triển nhanh hơn.
Câu Hỏi Thường Gặp Về Viêm Nha Chu
Viêm nha chu là bệnh lý răng miệng nghiêm trọng, nhưng vẫn có rất nhiều người chưa hiểu rõ về mức độ nguy hiểm và cách điều trị đúng cách. Dưới đây là những câu hỏi thường gặp nhất về viêm nha chu, giúp bạn hiểu rõ hơn về bệnh và có hướng chăm sóc răng miệng hiệu quả hơn.
Viêm nha chu có tự khỏi không?
Không. Viêm nha chu không thể tự khỏi mà cần điều trị kịp thời. Nếu không kiểm soát sớm, vi khuẩn sẽ tiếp tục phát triển, gây viêm nhiễm nặng hơn, dẫn đến tụt nướu, tiêu xương và mất răng. Vì vậy, nếu có dấu hiệu nướu chảy máu, hơi thở có mùi hôi hoặc răng lung lay, bạn cần đến nha khoa kiểm tra ngay lập tức.
Viêm nha chu có gây mất răng không?
Có. Viêm nha chu là nguyên nhân hàng đầu gây mất răng ở người trưởng thành. Khi bệnh tiến triển, vi khuẩn phá hủy xương ổ răng, làm răng mất chỗ bám và lung lay dần theo thời gian. Nếu không điều trị kịp thời, răng có thể tự rụng hoặc phải nhổ bỏ để tránh nhiễm trùng lan rộng.
Cạo vôi răng có giúp chữa viêm nha chu không?
Có, nhưng không đủ. Cạo vôi răng giúp loại bỏ mảng bám và cao răng, vốn là nguyên nhân chính gây viêm nha chu. Tuy nhiên, nếu bệnh đã tiến triển nặng, cần kết hợp thêm các phương pháp khác như nạo túi nha chu, điều trị viêm nướu và thậm chí ghép mô nướu hoặc xương để khôi phục phần mô bị tổn thương.
Có nên nhổ răng bị viêm nha chu nặng không?
Tùy từng trường hợp. Nếu răng bị viêm nha chu nhưng vẫn có thể bảo tồn bằng điều trị nha khoa, bác sĩ sẽ cố gắng giữ lại răng tự nhiên. Tuy nhiên, nếu răng đã lung lay quá mức, tiêu xương nặng và không còn khả năng giữ lại, nha sĩ có thể chỉ định nhổ răng để ngăn ngừa viêm nhiễm lan sang răng bên cạnh. Sau khi nhổ răng, bạn có thể cấy ghép implant hoặc làm cầu răng sứ để khôi phục chức năng ăn nhai.
Viêm nha chu có di truyền không?
Không trực tiếp di truyền, nhưng có yếu tố nguy cơ. Viêm nha chu không phải là bệnh di truyền, nhưng nếu gia đình có nhiều người mắc bệnh viêm nha chu, bạn có thể có nguy cơ cao hơn do thói quen chăm sóc răng miệng giống nhau hoặc yếu tố vi khuẩn trong môi trường sống. Vì vậy, nếu có người thân mắc bệnh, bạn cần đặc biệt chú ý đến việc chăm sóc răng miệng và khám răng định kỳ để ngăn ngừa viêm nha chu.

Viêm nha chu thường không có triệu chứng rõ ràng ở giai đoạn đầu, vì vậy nhiều người chỉ phát hiện bệnh khi đã quá muộn
Dịch Vụ Điều Trị Viêm Nha Chu Tại Nha Khoa Ngọc Tuấn – Thái Bình
Viêm nha chu là bệnh lý nguy hiểm không thể tự khỏi mà cần được điều trị kịp thời để ngăn ngừa mất răng và bảo vệ sức khỏe răng miệng. Tại Nha Khoa Ngọc Tuấn – Thái Bình, chúng tôi cung cấp dịch vụ điều trị viêm nha chu chuyên sâu, áp dụng công nghệ hiện đại, không đau, an toàn và hiệu quả lâu dài.
Khám và tư vấn miễn phí – Đánh giá mức độ viêm nha chu chính xác
- Khi đến Nha Khoa Ngọc Tuấn, bạn sẽ được bác sĩ thăm khám miễn phí để xác định mức độ viêm nha chu.
- Chụp X-quang răng nếu cần thiết để kiểm tra tình trạng xương hàm và đánh giá mức độ tiêu xương.
- Đưa ra phác đồ điều trị phù hợp với từng trường hợp để giúp bệnh nhân điều trị hiệu quả nhất.
Điều trị viêm nha chu bằng công nghệ tiên tiến – Không đau, an toàn
- Cạo vôi răng và làm sạch sâu: Loại bỏ mảng bám, cao răng – nguyên nhân chính gây viêm nha chu.
- Nạo túi nha chu: Làm sạch vi khuẩn trong túi nha chu, giúp giảm viêm nhiễm và ngăn bệnh tiến triển.
- Sử dụng laser nha khoa: Công nghệ hiện đại giúp diệt khuẩn nhanh chóng, ít đau, giảm chảy máu.
- Ghép mô nướu/xương nếu cần: Khắc phục tình trạng tụt nướu, tiêu xương do viêm nha chu nặng.
Đội ngũ bác sĩ giàu kinh nghiệm – Điều trị tận tâm, nhẹ nhàng
- Bác sĩ tại Nha Khoa Ngọc Tuấn có nhiều năm kinh nghiệm trong điều trị viêm nha chu, giúp đưa ra giải pháp tối ưu nhất cho từng bệnh nhân.
- Quá trình điều trị được thực hiện nhẹ nhàng, không đau, an toàn để đảm bảo sự thoải mái tối đa cho khách hàng.
- Cam kết tư vấn tận tình, hướng dẫn chăm sóc răng miệng sau điều trị để ngăn ngừa bệnh tái phát.
Đặt lịch ngay để bảo vệ sức khỏe răng miệng
Viêm nha chu không thể tự khỏi, vì vậy đừng trì hoãn việc điều trị. Hãy đến ngay Nha Khoa Ngọc Tuấn – Thái Bình để được khám và điều trị viêm nha chu tận gốc, giúp bạn giữ răng chắc khỏe dài lâu.
Địa chỉ: 662 Lý Bôn, TP. Thái Bình
Hotline: 093 352 83 38
Website: https://nhakhoangoctuan.vn

