Tóm tắt nội dung [Ẩn]
- Răng Mọc Lệch, Mọc Ngầm Là Gì? Tổng Quan Về Tình Trạng Răng Mọc Sai Vị Trí
- Nguyên Nhân Gây Ra Răng Mọc Lệch, Mọc Ngầm
- Ảnh Hưởng Của Răng Mọc Lệch, Mọc Ngầm Đến Sức Khỏe Răng Miệng
- Khi Nào Cần Điều Trị Răng Mọc Lệch, Mọc Ngầm?
- Cách Điều Trị Răng Mọc Lệch, Mọc Ngầm Hiệu Quả
- Cách Phòng Ngừa Răng Mọc Lệch, Mọc Ngầm
- Khám răng định kỳ từ nhỏ để theo dõi sự phát triển của răng vĩnh viễn
- Điều chỉnh thói quen xấu như mút tay, đẩy lưỡi, thở miệng
- Nhổ răng sữa đúng thời điểm để tránh cản trở răng vĩnh viễn mọc
- Nếu có dấu hiệu răng mọc sai vị trí, nên đến nha khoa sớm để được tư vấn phương pháp điều chỉnh phù hợp
- Nếu bạn cảm thấy đau răng liên tục hoặc đau âm ỉ kéo dài, đặc biệt khi ăn nhai hoặc chạm vào răng, có thể đây là dấu hiệu của răng mọc lệch hoặc mọc ngầm
- Dịch Vụ Điều Trị Răng Mọc Lệch, Mọc Ngầm Tại Nha Khoa Ngọc Tuấn – Thái Bình
- Tại Nha Khoa Ngọc Tuấn, khách hàng sẽ được thăm khám và tư vấn hoàn toàn miễn phí để xác định tình trạng răng mọc lệch, mọc ngầm
- Câu Hỏi Thường Gặp Về Răng Mọc Lệch, Mọc Ngầm
Răng Mọc Lệch, Mọc Ngầm Là Gì? Tổng Quan Về Tình Trạng Răng Mọc Sai Vị Trí
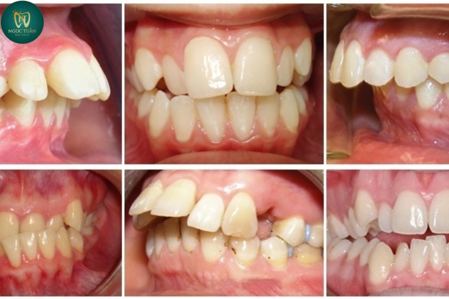
Răng mọc lệch là tình trạng răng không mọc đúng vị trí trên cung hàm, có thể bị nghiêng, xoay hoặc chồng lên nhau. Đây là hiện tượng phổ biến và có thể xảy ra ở bất kỳ răng nào, đặc biệt là răng khôn, răng nanh và răng cửa. Khi răng mọc sai vị trí, không chỉ ảnh hưởng đến thẩm mỹ mà còn gây nhiều vấn đề nghiêm trọng cho sức khỏe răng miệng.
Bên cạnh đó, răng mọc ngầm là tình trạng răng bị kẹt bên dưới nướu hoặc xương hàm, không thể trồi lên bình thường. Răng khôn là loại răng có tỷ lệ mọc ngầm cao nhất, do không có đủ không gian để phát triển hoàn chỉnh. Ngoài răng khôn, răng nanh và răng cửa cũng có thể bị mọc ngầm, đặc biệt là ở trẻ em khi răng vĩnh viễn không thể mọc đúng chỗ do răng sữa chưa rụng hoặc do cấu trúc hàm bất thường.
Nguyên nhân phổ biến gây răng mọc lệch, mọc ngầm thường xuất phát từ yếu tố di truyền, thiếu không gian trên cung hàm hoặc thói quen xấu như mút tay, đẩy lưỡi từ nhỏ. Ngoài ra, mất răng sữa quá sớm hoặc quá muộn cũng là nguyên nhân khiến răng vĩnh viễn không có định hướng mọc đúng.
Tình trạng này không chỉ gây mất thẩm mỹ mà còn ảnh hưởng đến chức năng ăn nhai, làm tăng nguy cơ viêm nhiễm, sâu răng và sai khớp cắn. Nếu không được xử lý kịp thời, răng mọc lệch, mọc ngầm có thể dẫn đến nhiều biến chứng nghiêm trọng, ảnh hưởng lâu dài đến sức khỏe răng miệng. Vì vậy, việc phát hiện sớm và điều chỉnh kịp thời là điều rất quan trọng để bảo vệ sức khỏe răng miệng và duy trì hàm răng đẹp, chắc khỏe.

Răng mọc lệch là tình trạng răng không mọc đúng vị trí trên cung hàm, có thể bị nghiêng, xoay hoặc chồng lên nhau
Nguyên Nhân Gây Ra Răng Mọc Lệch, Mọc Ngầm
Do di truyền và cấu trúc hàm
Yếu tố di truyền đóng vai trò quan trọng trong sự phát triển của răng và hàm. Nếu cha mẹ có tình trạng răng mọc lệch, chen chúc hoặc răng khôn mọc ngầm, con cái có nguy cơ cao gặp tình trạng tương tự. Ngoài ra, cấu trúc hàm nhỏ nhưng kích thước răng lớn cũng có thể dẫn đến tình trạng thiếu chỗ, khiến răng không thể mọc thẳng hàng trên cung hàm mà phải xoay, nghiêng hoặc mọc chồng lên nhau.
Mất răng sữa quá sớm hoặc quá muộn
Quá trình thay răng sữa đóng vai trò quan trọng trong việc định hướng răng vĩnh viễn mọc đúng vị trí. Nếu răng sữa bị nhổ quá sớm do sâu răng hoặc chấn thương, các răng bên cạnh có thể xô lệch vào khoảng trống đó, khiến răng vĩnh viễn không còn đủ không gian để mọc đúng vị trí. Ngược lại, nếu răng sữa không rụng đúng thời điểm, nó có thể cản trở quá trình mọc của răng vĩnh viễn, khiến răng bị mọc lệch hoặc mọc ngầm trong nướu.
Thói quen xấu từ nhỏ
Một số thói quen xấu trong thời thơ ấu có thể ảnh hưởng đến sự phát triển của răng và hàm, dẫn đến tình trạng răng mọc sai lệch. Những thói quen phổ biến bao gồm:
- Mút tay: Khi trẻ mút tay trong thời gian dài, áp lực từ ngón tay có thể làm răng cửa chìa ra ngoài, dẫn đến hô.
- Đẩy lưỡi: Thói quen này có thể làm răng bị hở, không khớp với nhau khi cắn lại.
- Thở miệng: Khi trẻ có thói quen thở bằng miệng thay vì bằng mũi, cơ mặt và xương hàm có thể phát triển không cân đối, gây sai khớp cắn.
- Ngậm ti giả quá lâu: Nếu trẻ sử dụng ti giả quá nhiều, đặc biệt sau 3 tuổi, áp lực từ ti giả có thể làm răng bị đẩy ra ngoài hoặc chen chúc.
- Tư thế ngủ: Nếu trẻ có thói quen ngủ áp mặt vào gối hoặc nằm nghiêng một bên quá lâu, áp lực từ trọng lượng cơ thể có thể ảnh hưởng đến sự phát triển của xương hàm và vị trí mọc của răng.
Răng khôn mọc muộn và không đủ chỗ
Răng khôn (răng số 8) thường mọc trong độ tuổi 17-25, khi xương hàm đã phát triển hoàn chỉnh. Do không đủ chỗ trên cung hàm, răng khôn có thể bị kẹt một phần hoặc hoàn toàn trong nướu, gây ra tình trạng mọc ngầm hoặc mọc lệch, đâm vào răng số 7. Đây là tình trạng phổ biến và có thể gây nhiều biến chứng như đau nhức, viêm nhiễm, thậm chí làm xô lệch cả hàm răng. Nếu không xử lý sớm, răng khôn mọc lệch có thể gây tổn thương răng bên cạnh và ảnh hưởng đến khớp cắn.
Răng mọc lệch, mọc ngầm không chỉ ảnh hưởng đến thẩm mỹ mà còn gây nhiều vấn đề về sức khỏe răng miệng. Việc phát hiện sớm nguyên nhân và có hướng điều chỉnh kịp thời sẽ giúp ngăn ngừa các biến chứng nghiêm trọng, giúp hàm răng phát triển đúng cách và duy trì chức năng ăn nhai tốt.
Ảnh Hưởng Của Răng Mọc Lệch, Mọc Ngầm Đến Sức Khỏe Răng Miệng
Gây đau nhức, viêm nhiễm nướu
Răng mọc lệch, mọc ngầm có thể gây ra tình trạng đau âm ỉ hoặc dữ dội, đặc biệt khi ăn nhai hoặc khi răng khôn đâm vào nướu. Trường hợp răng khôn mọc lệch có thể gây ra viêm lợi trùm – tình trạng phần lợi phủ lên răng bị viêm nhiễm, sưng đỏ, gây đau nhức kéo dài. Nếu không được xử lý kịp thời, vi khuẩn có thể xâm nhập sâu hơn, gây nhiễm trùng nặng và áp xe răng.
Tăng nguy cơ sâu răng và viêm nha chu
Do răng mọc lệch, mọc ngầm thường khó vệ sinh sạch sẽ, thức ăn dễ mắc kẹt và vi khuẩn tích tụ, tạo điều kiện cho sâu răng phát triển. Các răng bên cạnh cũng bị ảnh hưởng vì vi khuẩn có thể lan sang, gây viêm nha chu hoặc làm răng lung lay. Đặc biệt, khi răng khôn mọc nghiêng đâm vào răng số 7, vùng tiếp xúc giữa hai răng trở thành nơi lý tưởng cho vi khuẩn sinh sôi, dẫn đến sâu răng nghiêm trọng.
Gây sai khớp cắn và ảnh hưởng thẩm mỹ
Răng mọc lệch không chỉ ảnh hưởng đến chức năng ăn nhai mà còn làm mất sự cân đối của hàm răng. Nếu răng nanh hoặc răng cửa mọc lệch, gương mặt có thể trở nên mất cân đối, gây mất tự tin khi giao tiếp. Trường hợp răng mọc lệch làm hàm răng chen chúc có thể làm sai lệch khớp cắn, gây khó khăn khi nhai, nói chuyện và thậm chí gây mòn răng theo thời gian.
Tạo áp lực lên các răng bên cạnh
Khi một răng mọc sai vị trí, nó có thể đẩy hoặc chèn ép các răng xung quanh, làm mất cân bằng cấu trúc hàm. Áp lực từ răng mọc lệch có thể làm xô lệch các răng khác, tạo ra khoảng trống giữa các răng hoặc làm răng bị nghiêng dần. Tình trạng này có thể dẫn đến mòn răng do lực nhai không đều, gây đau khớp thái dương hàm và thậm chí dẫn đến rối loạn khớp cắn nếu không điều chỉnh kịp thời.
Răng mọc lệch, mọc ngầm không chỉ gây đau nhức mà còn ảnh hưởng đến sức khỏe răng miệng lâu dài. Việc phát hiện sớm và có biện pháp can thiệp phù hợp sẽ giúp ngăn ngừa những biến chứng nghiêm trọng, bảo vệ răng miệng và duy trì nụ cười đẹp tự nhiên.

Răng mọc lệch, mọc ngầm có thể gây ra tình trạng đau âm ỉ hoặc dữ dội, đặc biệt khi ăn nhai hoặc khi răng khôn đâm vào nướu.
Khi Nào Cần Điều Trị Răng Mọc Lệch, Mọc Ngầm?
Đau nhức kéo dài, ảnh hưởng đến ăn nhai
Nếu bạn cảm thấy đau răng liên tục hoặc đau âm ỉ kéo dài, đặc biệt khi ăn nhai hoặc chạm vào răng, có thể đây là dấu hiệu của răng mọc lệch hoặc mọc ngầm. Những cơn đau này thường xảy ra do răng chen chúc, chèn ép vào dây thần kinh hoặc gây viêm nướu. Nếu không được xử lý kịp thời, tình trạng này có thể dẫn đến viêm nhiễm nặng hơn và ảnh hưởng đến sức khỏe răng miệng lâu dài.
Răng khôn mọc lệch gây viêm lợi trùm hoặc tác động đến răng bên cạnh
Răng khôn là trường hợp phổ biến nhất của răng mọc lệch và mọc ngầm. Khi răng khôn không đủ chỗ để mọc, nó có thể bị kẹt trong nướu hoặc mọc nghiêng đâm vào răng số 7, gây áp lực lên răng bên cạnh. Điều này có thể dẫn đến viêm lợi trùm – tình trạng nướu sưng đỏ, đau nhức và thậm chí có thể gây nhiễm trùng nghiêm trọng. Nếu răng khôn gây viêm nhiễm hoặc tác động đến răng xung quanh, bác sĩ thường khuyến nghị nhổ bỏ để tránh biến chứng.
Răng mọc chen chúc, ảnh hưởng đến thẩm mỹ hoặc làm sai khớp cắn
Răng mọc lệch, đặc biệt là răng cửa hoặc răng nanh, có thể làm mất thẩm mỹ của hàm răng và khiến bạn mất tự tin khi giao tiếp. Ngoài ra, nếu răng mọc sai vị trí làm thay đổi khớp cắn, bạn có thể gặp khó khăn trong việc nhai thức ăn hoặc phát âm. Sai khớp cắn cũng có thể gây ra đau hàm, mỏi cơ và tăng nguy cơ mòn răng theo thời gian. Trong trường hợp này, bác sĩ có thể đề xuất phương pháp niềng răng để điều chỉnh vị trí răng và cân bằng khớp cắn.
Bác sĩ nha khoa khuyến cáo cần chỉnh nha hoặc nhổ răng để ngăn biến chứng
Không phải tất cả các trường hợp răng mọc lệch, mọc ngầm đều cần nhổ bỏ. Trong một số trường hợp, nếu bác sĩ nha khoa nhận thấy răng mọc sai vị trí có thể ảnh hưởng đến răng khác hoặc sức khỏe tổng thể của bạn, họ có thể đề xuất niềng răng hoặc các phương pháp điều chỉnh khác. Đối với răng khôn mọc ngầm không gây đau nhưng có nguy cơ tác động đến cấu trúc hàm, bác sĩ có thể chỉ định chụp X-quang và đưa ra phương án điều trị phù hợp.
Việc điều trị răng mọc lệch, mọc ngầm phụ thuộc vào mức độ ảnh hưởng của răng đến sức khỏe răng miệng. Nếu bạn gặp bất kỳ triệu chứng nào kể trên, hãy thăm khám nha khoa sớm để nhận được tư vấn và phương pháp điều trị phù hợp, giúp bảo vệ nụ cười và sức khỏe răng miệng của bạn.
Cách Điều Trị Răng Mọc Lệch, Mọc Ngầm Hiệu Quả
Niềng răng chỉnh nha
Niềng răng là phương pháp phổ biến để điều chỉnh các trường hợp răng mọc lệch nhưng không bị ngầm dưới nướu. Bằng cách sử dụng hệ thống mắc cài hoặc khay trong suốt Invisalign, răng sẽ dần dần được dịch chuyển về đúng vị trí trên cung hàm. Phương pháp này giúp cải thiện thẩm mỹ nụ cười và khớp cắn, đồng thời giảm nguy cơ sâu răng, viêm nướu do răng chen chúc gây ra. Thời gian niềng răng thường kéo dài từ 12 – 24 tháng tùy thuộc vào mức độ lệch lạc của răng. Bác sĩ sẽ theo dõi và điều chỉnh lực kéo răng định kỳ để đảm bảo hiệu quả tối ưu.
Nhổ răng khôn mọc lệch, mọc ngầm
Trong nhiều trường hợp, răng khôn mọc lệch, mọc ngầm gây ra đau nhức, viêm lợi trùm hoặc ảnh hưởng đến các răng bên cạnh. Khi đó, nhổ răng khôn là phương án tối ưu để loại bỏ nguy cơ biến chứng. Việc nhổ răng khôn hiện nay được thực hiện bằng công nghệ tiên tiến như nhổ răng siêu âm Piezotome, giúp giảm đau, hạn chế sưng tấy và rút ngắn thời gian lành thương. Sau khi nhổ răng, bác sĩ sẽ hướng dẫn chăm sóc răng miệng để giúp vết thương nhanh chóng hồi phục và tránh nhiễm trùng.
Phẫu thuật răng mọc ngầm
Nếu răng mọc ngầm hoàn toàn dưới nướu và không thể tự trồi lên, bác sĩ có thể thực hiện phẫu thuật để can thiệp. Quy trình này thường áp dụng cho các trường hợp răng nanh mọc ngầm hoặc răng khôn mọc kẹt sâu trong xương hàm. Bác sĩ sẽ tiến hành mở mô nướu để tiếp cận răng, sau đó có thể cắt bỏ răng hoặc tạo điều kiện để răng di chuyển về đúng vị trí thông qua chỉnh nha. Mục tiêu của phẫu thuật là bảo tồn răng tối đa và ngăn ngừa các biến chứng như nhiễm trùng hay tiêu xương hàm.
Việc lựa chọn phương pháp điều trị răng mọc lệch, mọc ngầm phụ thuộc vào tình trạng cụ thể của từng người. Do đó, nếu bạn gặp vấn đề về răng mọc sai vị trí, hãy đến nha khoa để được kiểm tra kỹ lưỡng và nhận tư vấn điều trị phù hợp nhằm bảo vệ sức khỏe răng miệng lâu dài.
Cách Phòng Ngừa Răng Mọc Lệch, Mọc Ngầm
Khám răng định kỳ từ nhỏ để theo dõi sự phát triển của răng vĩnh viễn
Việc đưa trẻ đi khám răng định kỳ từ sớm giúp bác sĩ theo dõi sự phát triển của răng vĩnh viễn và cung hàm. Nếu phát hiện dấu hiệu răng mọc lệch hoặc không đủ chỗ, bác sĩ có thể can thiệp kịp thời bằng các biện pháp chỉnh nha sớm như khí cụ mở rộng hàm hoặc điều chỉnh hướng mọc của răng. Điều này giúp ngăn ngừa tình trạng răng chen chúc hoặc mọc ngầm sau này.
Điều chỉnh thói quen xấu như mút tay, đẩy lưỡi, thở miệng
Các thói quen xấu như mút tay, đẩy lưỡi hoặc thở miệng khi ngủ có thể ảnh hưởng đến sự phát triển của xương hàm và vị trí răng. Mút tay kéo dài có thể làm răng cửa chìa ra ngoài (hô), đẩy lưỡi có thể làm hở khớp cắn, còn thở miệng có thể khiến hàm trên phát triển kém. Phụ huynh nên theo dõi và hướng dẫn trẻ bỏ dần những thói quen này để tránh ảnh hưởng đến sự phát triển của hàm răng.
Nhổ răng sữa đúng thời điểm để tránh cản trở răng vĩnh viễn mọc
Răng sữa có vai trò giữ chỗ cho răng vĩnh viễn mọc đúng vị trí. Nếu răng sữa rụng quá sớm do sâu răng hoặc nhổ không đúng thời điểm, răng bên cạnh có thể xô lệch vào khoảng trống, gây cản trở răng vĩnh viễn mọc lên đúng vị trí. Ngược lại, nếu răng sữa không rụng đúng thời gian, răng vĩnh viễn có thể bị mọc lệch hoặc mọc chồng lên răng sữa. Vì vậy, việc theo dõi và nhổ răng sữa đúng thời điểm theo chỉ định của bác sĩ nha khoa là rất quan trọng.
Nếu có dấu hiệu răng mọc sai vị trí, nên đến nha khoa sớm để được tư vấn phương pháp điều chỉnh phù hợp
Nếu phát hiện răng mọc không đúng vị trí, bị kẹt dưới nướu hoặc gây đau nhức, cần đến nha khoa sớm để được kiểm tra và tư vấn phương pháp điều chỉnh phù hợp. Đối với trẻ em, có thể sử dụng khí cụ chỉnh nha sớm để điều hướng răng mọc đúng. Đối với người lớn, nếu răng mọc lệch ảnh hưởng đến thẩm mỹ và chức năng nhai, bác sĩ có thể chỉ định niềng răng hoặc nhổ răng để điều trị.
Việc phòng ngừa răng mọc lệch, mọc ngầm cần sự kết hợp giữa chăm sóc răng miệng đúng cách, khám nha khoa định kỳ và can thiệp sớm khi có dấu hiệu bất thường. Bằng cách thực hiện các biện pháp phòng ngừa này, bạn có thể duy trì hàm răng khỏe mạnh, thẳng đẹp và tránh các vấn đề răng miệng trong tương lai.

Nếu bạn cảm thấy đau răng liên tục hoặc đau âm ỉ kéo dài, đặc biệt khi ăn nhai hoặc chạm vào răng, có thể đây là dấu hiệu của răng mọc lệch hoặc mọc ngầm
Dịch Vụ Điều Trị Răng Mọc Lệch, Mọc Ngầm Tại Nha Khoa Ngọc Tuấn – Thái Bình
Khám và tư vấn miễn phí với bác sĩ chuyên khoa
Tại Nha Khoa Ngọc Tuấn, khách hàng sẽ được thăm khám và tư vấn hoàn toàn miễn phí để xác định tình trạng răng mọc lệch, mọc ngầm. Đội ngũ bác sĩ giàu kinh nghiệm sẽ đánh giá chi tiết mức độ lệch lạc của răng và đưa ra giải pháp điều trị phù hợp nhất.
Chụp X-quang để đánh giá tình trạng răng mọc lệch, mọc ngầm
Để có kết quả chẩn đoán chính xác, nha khoa sử dụng công nghệ chụp X-quang hiện đại giúp đánh giá vị trí và hướng mọc của răng. Đặc biệt, đối với răng mọc ngầm dưới nướu hoặc răng khôn mọc lệch, hình ảnh X-quang sẽ hỗ trợ bác sĩ lên kế hoạch điều trị an toàn và hiệu quả nhất.
Dịch vụ niềng răng hiện đại, đảm bảo hiệu quả cao
Đối với các trường hợp răng mọc lệch nhưng không bị ngầm dưới nướu, Nha Khoa Ngọc Tuấn cung cấp dịch vụ niềng răng với nhiều phương pháp hiện đại như:
- Niềng răng mắc cài kim loại: Hiệu quả cao, chi phí hợp lý.
- Niềng răng mắc cài sứ: Tính thẩm mỹ cao, ít lộ mắc cài.
-
Niềng răng trong suốt Invisalign: Tháo lắp linh hoạt, phù hợp với người bận rộn.
Quá trình niềng răng tại nha khoa được thực hiện theo phác đồ chi tiết, đảm bảo răng di chuyển an toàn, mang lại hàm răng đều đẹp, khớp cắn chuẩn.
Nhổ răng khôn an toàn, không đau với công nghệ tiên tiến
Đối với răng khôn mọc lệch, mọc ngầm gây đau nhức hoặc ảnh hưởng đến răng bên cạnh, Nha Khoa Ngọc Tuấn thực hiện nhổ răng không đau bằng công nghệ hiện đại. Quy trình nhổ răng đảm bảo vô trùng tuyệt đối, bác sĩ thực hiện nhẹ nhàng, giúp khách hàng hồi phục nhanh chóng.
Cam kết điều trị răng mọc lệch, mọc ngầm an toàn, mang lại kết quả tối ưu cho khách hàng
Với đội ngũ bác sĩ chuyên môn cao và hệ thống trang thiết bị tiên tiến, Nha Khoa Ngọc Tuấn cam kết mang đến giải pháp điều trị hiệu quả, an toàn và lâu dài. Dù bạn gặp vấn đề răng mọc lệch nhẹ hay phức tạp, nha khoa luôn có phương án phù hợp giúp bạn sở hữu hàm răng khỏe mạnh và thẩm mỹ.
Địa chỉ: 662 Lý Bôn, TP. Thái Bình
Hotline: 093 352 83 38
Website: https://nhakhoangoctuan.vn
Tại Nha Khoa Ngọc Tuấn, khách hàng sẽ được thăm khám và tư vấn hoàn toàn miễn phí để xác định tình trạng răng mọc lệch, mọc ngầm
Câu Hỏi Thường Gặp Về Răng Mọc Lệch, Mọc Ngầm
Răng mọc lệch có cần điều trị không?
Răng mọc lệch có thể gây ảnh hưởng đến chức năng ăn nhai, thẩm mỹ và sức khỏe răng miệng. Nếu răng mọc lệch làm sai khớp cắn, gây đau nhức hoặc ảnh hưởng đến răng bên cạnh, bạn nên điều trị sớm để tránh các biến chứng nghiêm trọng.
Răng khôn mọc lệch có nhất thiết phải nhổ không?
Không phải tất cả các trường hợp răng khôn mọc lệch đều cần nhổ. Tuy nhiên, nếu răng khôn gây viêm lợi trùm, đau nhức, đâm vào răng bên cạnh hoặc làm tăng nguy cơ viêm nha chu, bác sĩ sẽ chỉ định nhổ răng để tránh ảnh hưởng đến sức khỏe răng miệng.
Niềng răng có chỉnh được răng mọc lệch không?
Có, niềng răng là phương pháp hiệu quả giúp điều chỉnh răng mọc lệch về đúng vị trí. Tùy vào mức độ lệch, bác sĩ sẽ tư vấn phương pháp niềng răng phù hợp, như niềng răng mắc cài hoặc niềng trong suốt Invisalign.
Nhổ răng mọc ngầm có đau không?
Bác sĩ sẽ gây tê cục bộ trước khi nhổ răng, giúp giảm đau tối đa trong quá trình thực hiện. Sau khi nhổ răng, bạn có thể cảm thấy hơi ê buốt nhưng tình trạng này sẽ cải thiện nhanh chóng nếu tuân thủ hướng dẫn chăm sóc sau nhổ răng.
Bao lâu thì nên kiểm tra răng mọc lệch?
Bạn nên đi khám nha khoa định kỳ 6 tháng/lần để theo dõi tình trạng răng mọc lệch hoặc mọc ngầm. Nếu có dấu hiệu đau nhức, viêm lợi hoặc ảnh hưởng đến răng khác, hãy đến nha khoa ngay để được kiểm tra và điều trị kịp thời.
Răng mọc lệch, mọc ngầm không chỉ ảnh hưởng đến thẩm mỹ mà còn gây ra nhiều vấn đề nghiêm trọng về sức khỏe răng miệng như sai khớp cắn, viêm nướu, sâu răng và đau nhức kéo dài. Nếu không được điều trị kịp thời, tình trạng này có thể làm ảnh hưởng đến chức năng ăn nhai và dẫn đến các biến chứng nguy hiểm.
Việc thăm khám sớm và lựa chọn phương pháp điều chỉnh phù hợp như niềng răng, nhổ răng khôn hoặc phẫu thuật răng mọc ngầm sẽ giúp bảo vệ răng miệng và mang lại nụ cười tự tin. Nếu bạn đang gặp phải tình trạng răng mọc lệch, mọc ngầm, đừng chần chừ mà hãy đến ngay Nha Khoa Ngọc Tuấn – Thái Bình để được tư vấn và điều trị bởi đội ngũ bác sĩ chuyên khoa giàu kinh nghiệm. Chúng tôi cam kết mang đến giải pháp an toàn, hiệu quả, giúp bạn có hàm răng khỏe mạnh và đều đẹp!


